Erhöhte Sterblichkeit

Schlechte Luft im Normbereich

Auch eine Luftverschmutzung unterhalb der festgelegten Grenzwerte für Feinstaub, Ruß und NO2 birgt offenbar erhebliche Gesundheitsrisiken.

Pneumologie

Liquid Biopsy

Den NSCLC-Treibern auf der Spur

Mittels wiederholter Flüssigbiopsien lässt sich das Ansprechen nicht-kleinzelliger Lungenkarzinome auf Tepotinib überprüfen. Womöglich können auch…

Medizin und Markt Onkologie und Hämatologie , Pneumologie

COPD und ILD

Patienten profitieren vom palliativmedizinischen Angebot

Patienten mit fortgeschrittener COPD oder interstitiellen Lungenerkrankungen sind palliativmedizinisch immer noch schlecht versorgt. Dabei sollte man…

Pneumologie , Palliativmedizin und Schmerzmedizin

E-Zigaretten

Aerosol enthält Tausende unbekannte Substanzen

Der Rauch von e-Zigaretten ist gesünder als der von herkömmlichen Glimmstängeln? Klingt bisher nach einem leeren Versprechen, denen Tausende…

Pneumologie

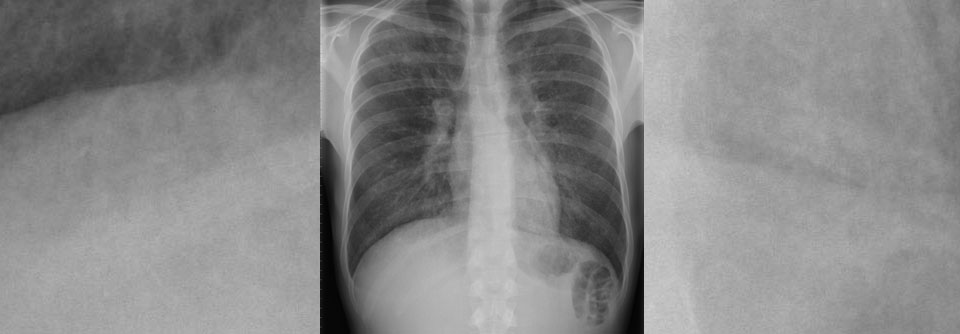
Pneumonieverdacht

Schallen oder röntgen?

Die diagnostische Aussagekraft der CT ist kaum zu überbieten, wenn eine Lungenentzündung vermutet wird. Das Verfahren bietet sich im Alltag jedoch…

Pneumologie

Schlafapnoe

Schlaganfall ins Schlaflabor

Jeder Schlaganfallpatient sollte auf atembezogene Schlafstörungen gescreent werden, fordert ein Experte. Denn die obstruktive Schlafapnoe birgt ein…

Pneumologie , Neurologie

Pneumocystis

Pilz im COVID-Gewand

Bei Patienten mit schwerem respiratorischem Infekt und pulmonalen Milchglastrübungen im CT-Bild fällt der Verdacht derzeit schnell auf COVID-19. Man…

Pneumologie , Infektiologie