EULAR Congress 2024

12. – 15. Juni 2024

Vom 12. bis 15. Juni fand der EULAR Kongress 2024 in Wien statt. Hier erscheinen unsere Highlights und aktuelle Berichte rund um den Kongress.

Unsere Berichte vom Kongress

Es riecht nach Rheuma

Elektronische Nase zeigt, was sie kann

Bei einigen Erkrankungen klappt die Diagnose per Nase schon ganz gut: Beispielsweise können trainierte Hunde anhand volatiler organischer Verbindungen…

mehr
Rheumatologie EULAR 2024

Rheuma dämpft das Sexleben

Frauen sind stärker betroffen als Männer

Die rheumatoide Arthritis (RA) hat einen negativen Einfluss auf das Sexualleben der Betroffenen.

mehr
Rheumatologie EULAR 2024

Osteoporose

Was ist die beste Knochen-Kost?

Neben Medikamenten und Bewegung ist bei Osteoporose auch die richtige Ernährung von Bedeutung. Zwar gibt es keine spezifische Diät dafür. Trotzdem…

mehr
Rheumatologie EULAR 2024

Nach osteoporosebedingter Fraktur schützt Spezialprogramm Knochen und Leben

Spezialprogramm schützt Knochen und Leben

Menschen, die eine ostoporosebedingte Fraktur erlitten haben, profitieren von speziellen Versorgungsprogrammen. Doch die sind noch lange nicht weit…

mehr
Orthopädie , Geriatrie EULAR 2024

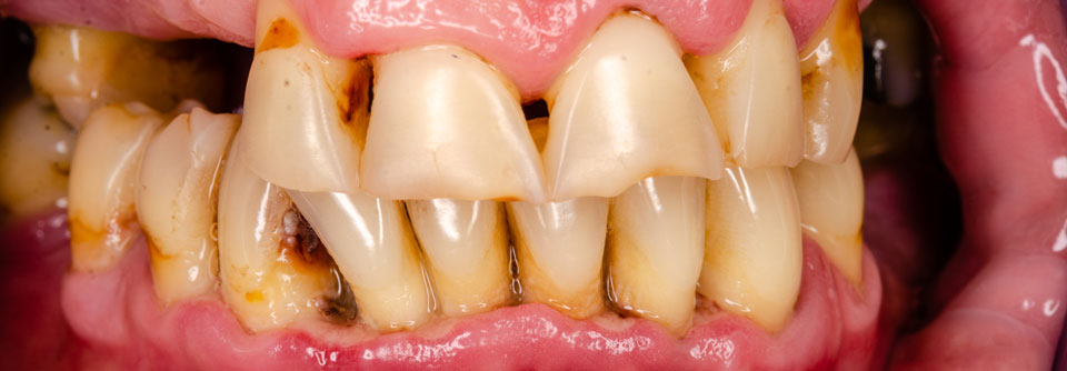
RA und Parodontitis

Gefährliches Zahnfleisch

Eine Parodontitis begünstigt nicht nur Schlaganfall und KHK: Es mehren sich die Hinweise, dass die Zahnfleischerkrankung auch an der Pathogenese der…

mehr
Rheumatologie EULAR 2024

RZA, PsA, renitente RA und SSc

Von BiTEs und Mini-Inhibitoren

Ein neues Aufgabenfeld für JAK-Inhibitoren, ein besonders kleiner, aber effektiver IL-17A-Inhibitor gegen die Psoriasisarthritis und zwei starke…

mehr
Rheumatologie EULAR 2024

Rheumatoide Arthritis

Elektronische Nase zeigt, was sie kann

Bei einigen Erkrankungen klappt die Diagnose per Nase schon ganz gut: Beispielsweise können trainierte Hunde anhand volatiler organischer Verbindungen…

mehr
Rheumatologie EULAR 2024