Appendix womöglich ein Reservoir für parkinsonassoziiertes Protein

Autor: Dr. Susanne Gallus

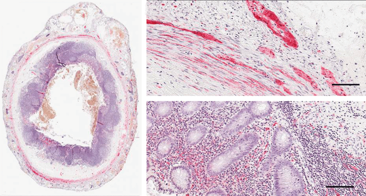
Die histologische Färbung der Appendix eines gesunden Patienten zeigt ein hohes Proteinase-K-resistentes alpha-Synuclein-Vorkommen (rot) der Mucosa. Eine Balkenlänge entspricht 100 μm. Die histologische Färbung der Appendix eines gesunden Patienten zeigt ein hohes Proteinase-K-resistentes alpha-Synuclein-Vorkommen (rot) der Mucosa. Eine Balkenlänge entspricht 100 μm. © Killinger BA et al. Sci Transl Med 2018; 10: pii: eaar5280

Eine Appendektomie senkt offenbar das Risiko für Morbus Parkinson. Die potenzielle Erklärung: Der Wurmfortsatz enthält große Mengen des erkrankungstypischen alpha-Synucleins.

Das schwedische Patientenregister umfasst die medizinischen Diagnosen und OP-Kennzeichnungen für die gesamte Bevölkerung seit 1964. Mit diesem enormen Datensatz gelang es Forschern, eine – auch lange zurückliegende – Appendektomie mit einem verringerten Auftreten des Parkinson-Syndroms in Verbindung zu bringen.

Pestizide könnten auch eine Rolle spielen

Zunächst verglichen Dr. Bryan A. Killinger vom Van Andel Research Institute, Grand Rapids, Michigan, und seine Kollegen über 550 000 Appendektomierte mit der doppelten Anzahl Wurmfortsatz-Besitzer. Das Ergebnis war ein durch den Eingriff um 19,3 % reduziertes Parkinson-Risiko. Eine zweite Analyse mit 849 Parkinson-Kranken aus der Datenbank der Parkinson’s Progression Markers Initiative zeigte, dass sich durch eine Appendektomie, die zum Teil mehr als 30 Jahre zurücklag, der Krankheitsausbruch um durchschnittlich 3,6 Jahre verzögerte.

Ausgeprägt war der Effekt nur in der ländlichen Bevölkerung. Auch für Patienten mit nachweislich rein genetischer Parkinson-Ursache ließ er sich nicht bestätigen. Die Wissenschaftler sehen sich in ihrem Verdacht bestätigt, dass der kleine Organzipfel etwas mit dem Ausbrechen der degenerativen Nervenkrankheit zu tun hat, womöglich getriggert durch äußere Faktoren (z.B. Pestizide auf dem Land).

Dasselbe Protein findet man in Lewy-Körperchen

Ihre Erklärung stützen die Autoren auf die hohen Konzentrationen an intraneuronalem alpha-Synuclein, die sie im untersuchten Appendixgewebe von Gesunden nachweisen konnten. Darunter findet sich auch die pathologisch verkürzte Proteinform, die sich in den Gehirnen von Parkinsonpatienten in den sog. Lewy-Körperchen findet. Potenziell könnte die Appendix also ein Reservoir für das pathogene Protein darstellen, spekulieren die Autoren.

Quelle Text und Abb.: Killinger BA et al. Sci Transl Med 2018; 10: pii: eaar5280

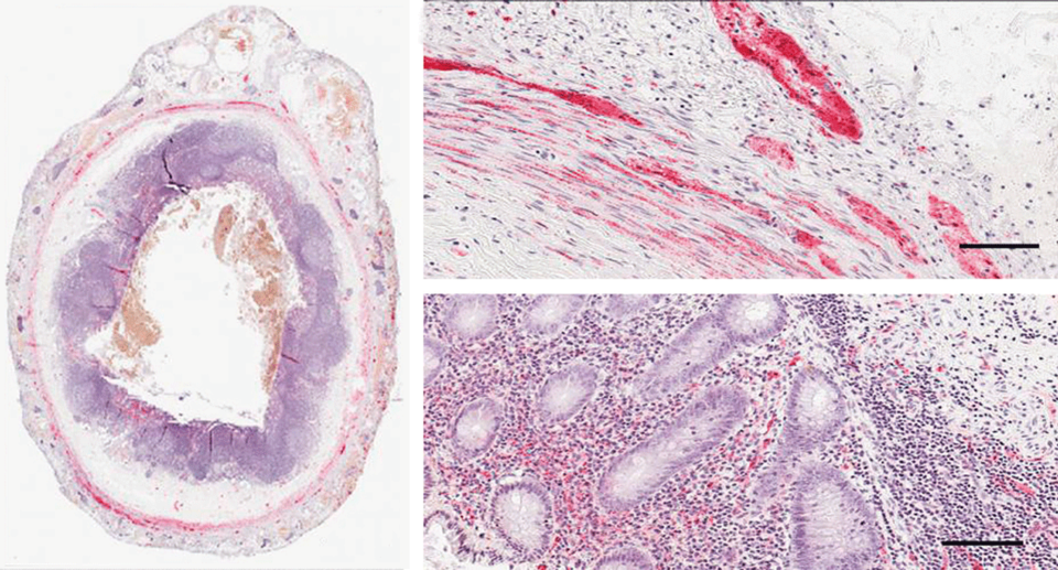
Die histologische Färbung der Appendix eines gesunden Patienten zeigt ein hohes Proteinase-K-resistentes alpha-Synuclein-Vorkommen (rot) im Querschnitt (links), in der Muscularis externa (oben) und der Mucosa (unten). Das Protein findet sich akkumuliert auch in den bei M. Parkinson auftretenden Lewy-Körperchen. Eine Balkenlänge entspricht 100 µm. Die histologische Färbung der Appendix eines gesunden Patienten zeigt ein hohes Proteinase-K-resistentes alpha-Synuclein-Vorkommen (rot) im Querschnitt (links), in der Muscularis externa (oben) und der Mucosa (unten). Das Protein findet sich akkumuliert auch in den bei M. Parkinson auftretenden Lewy-Körperchen. Eine Balkenlänge entspricht 100 µm. © Killinger BA et al. Sci Transl Med 2018; 10: pii: eaar5280