Nagel im Blinddarm: Was nicht von alleine hinten rauskommt, muss man holen

Autor: Dr. Dorothea Ranft

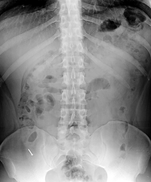
Nachdem es nicht gelungen war, den 3 cm langen Nagel endoskopisch zu bergen, entschieden sich die Ärzte für eine Appendektomie. Nachdem es nicht gelungen war, den 3 cm langen Nagel endoskopisch zu bergen, entschieden sich die Ärzte für eine Appendektomie. © Cevallos JM et al. Jour Surg Case Rep 2019; rjy335

Ein 27-Jähriger will sich eigentlich nur dem jährlichen Check-up unterziehen. Dabei entdecken die Ärzte einen Nagel in seinem Blinddarm.

Zur Routineuntersuchung des bis dahin gesunden Patienten gehörte auch eine Röntgenaufnahme des Abdomens. Diese zeigte einen 3 cm langen, metallischen Fremdkörper im rechten unteren Quadranten. Zur weiteren Abklärung wurde der junge Mann stationär aufgenommen, schreibt das Team um Jaime M. Cevallos vom Hospital San Francisco in Quito.

Der Mann erinnerte sich nicht, etwas verschluckt zu haben

Symptome hatte der Patient bei der Eingangsuntersuchung keine und er erinnerte sich auch nicht, jemals einen Nagel verschluckt zu haben. Auch die abdominelle Palpation verlief unauffällig. Operationsnarben? Fehlanzeige! Eine kontrastmittelverstärkte CT ließ keinen Zweifel daran, dass ein Drahtstift im Blinddarm steckte. Von Entzündung war nichts zu sehen, die nageltragende Appendix hatte einen Durchmesser von 5 mm und war von harmlosem Fett umgeben.

Die Kollegen aus Ecuador versuchten zunächst, den Fremdkörper koloskopisch zu entfernen. Mit der Glasfaseroptik drangen sie auch bis zur Appendix vermiformis vor, aber der Nagel war darin nicht aufzufinden. Also wurde die Präsenz des spitzen Metallkörpers mit einem intraoperativen Röntgenbild gesichert und der Wurmfortsatz samt unerwünschtem Inhalt chirurgisch entfernt. Der weitere Verlauf war komplikationslos.

Dass etwas im Appendix hängen bleibt, ist selten

Fremdkörper werden zwar meist von Kindern verschluckt, dies kann aber auch Erwachsenen passieren. Die meisten Objekte durchqueren den Magen-Darm-Trakt ohne Probleme und werden mit dem Stuhl wieder ausgeschieden. Je nach Größe und Form des Objekts kann es aber auch zu einer Perforation oder ­Obstruktion kommen, eine Landung im Blinddarm ist allerdings selten. Einmal dort angekommen verhindert die fehlende Peristaltik den Weg ins Kolon. Mit einer Appendizitis oder Perforation muss man vor allem bei dünnen, scharfen und metallischen Objekten rechnen. Spätkomplikationen reichen vom Abszess bis zur Peritonitis.

Quelle: Cevallos JM et al. Jour Surg Case Rep 2019; rjy335

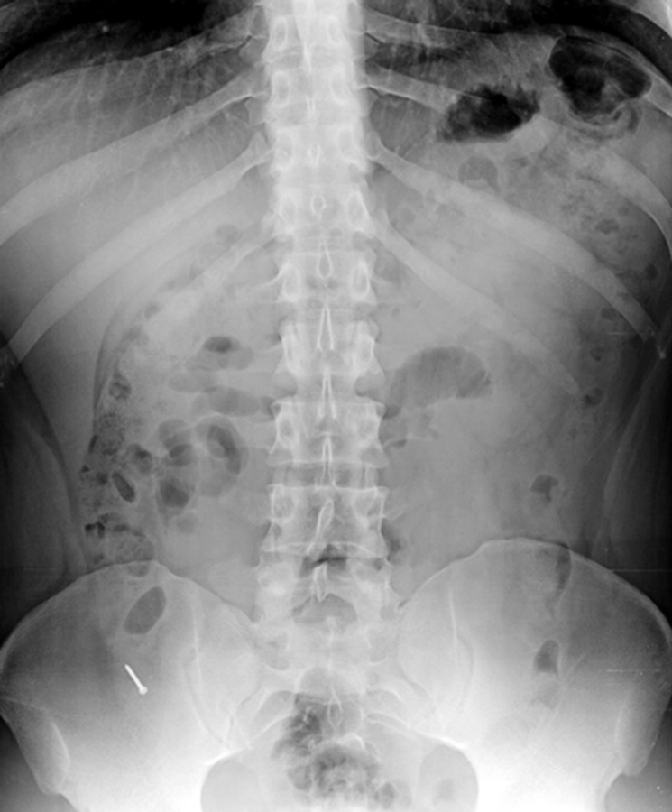
Bei einer Röntgenuntersuchung im Rahmen einer Routinediagnostik entdeckten die Kollegen aus Ecuador einen metallischen Fremdkörper im unteren rechten Abdomen. Bei einer Röntgenuntersuchung im Rahmen einer Routinediagnostik entdeckten die Kollegen aus Ecuador einen metallischen Fremdkörper im unteren rechten Abdomen. © Cevallos JM et al. Jour Surg Case Rep 2019; rjy335