Arthritis-Diagnostik Arthritiden in sechs Schritten gezielt einkreisen

DGIM 2021 Autor: Dr. Sonja Kempinski

Von den ersten Beschwerden bis zur Diagnose einer RA dauert es im Schnitt zwei Jahre. Auch diese Patientin läuft schon länger mit entzündeten Gelenken herum. Von den ersten Beschwerden bis zur Diagnose einer RA dauert es im Schnitt zwei Jahre. Auch diese Patientin läuft schon länger mit entzündeten Gelenken herum. © Science Photo Library/Zephyr

Was war noch mal das Gaenslen-Zeichen? Wann lohnt sich eine Yersinien-Serologie? Und ist es wichtig, dass der Großvater Gicht hatte? Ein Auffrischkurs, wie man der Arthritis-Ursache auf die Spur kommt.

Rheumatische Erkrankungen zu erkennen, ist oft gar nicht so trivial. Vor allem bei rheumatoider Arthritis (RA) und Psoriasisarthritis (PsA) dauert es von den ersten Beschwerden bis zur Diagnose immer noch viel zu lange, berichtete Professor Dr. Christoph Baerwald, Leiter des Bereichs Rheumatologie am Uniklinkum Leipzig. Im Schnitt braucht es zwei bzw. dreieinhalb Jahre, bis die Diagnose steht. Dadurch geht wertvolle Zeit verloren, denn bei entzündlichen Gelenkerkrankungen wie RA und PsA verspricht eine frühe Behandlung die besten Ergebnisse. Schmerzende Gelenke sollten deshalb immer genau unter die Lupe genommen werden.

Reden ist Gold

Wichtige Hinweise auf die Ursachen von Gelenkschmerzen liefert oft schon ein eingehendes Gespräch. Da viele rheumatische Erkrankungen eine genetische Komponente haben, ist es wichtig, nach Psoriasis, Gicht oder Morbus Bechterew bei Eltern und Verwandten zu fragen. In der Patientengeschichte muss nach vorangegangenen Infekten, vor allem Enteritiden und Urethritiden, gefahndet werden. Aufschlussreich ist auch der Hinweis auf Haut- und Nagel­veränderungen (Psoriasis?) und durchlittene Iritis oder Uveitis (häufig bei rheumatischen Erkrankungen).

Schauen, tasten, kneifen

Dann gilt es, die schmerzenden Gelenke zu untersuchen. Rötung und Überwärmung sprechen für ein akutes Geschehen. Lässt sich eine harte Schwellung ertasten, stecken meist knöcherne Veränderungen dahinter. Gelenkergüsse fluktuieren, Schmerzen beim Druck auf die Finger- oder Zehengrundgelenke sprechen für eine rheumatoide Ar­thritis (Gaenslen-Zeichen) und der Kneiftest an den Innenseiten der Finger (Pinch-Test) offenbart fibrosiertes Sehnengewebe oder Rheuma­granulome.

Ein weiterer Anhaltspunkt ist die Zahl der betroffenen Gelenke: Bei Monarthritiden handelt es sich oft um Gicht oder um eine bakterielle Arthritis, manchmal auch um eine aktivierte Arthrose. Bei Befall von zwei bis fünf Gelenken (Oligo­arthritis) kommen weitere Optionen ins Spiel, z.B. das Löfgren-Syndrom oder rheumatisches Fieber, aber auch Psoriasisarthritis und rheumatoide Arthritis. Letztere gehört zu den Poly­arthritiden und manifestiert sich häufig sogar an mehr als fünf Gelenken, insbesondere an kleinen.

Schwellungen punktieren

Jede akute Gelenkschwellung, die nicht auf eine bekannte Grund­erkrankung oder ein Trauma zurückzuführen ist, muss unverzüglich durch eine Gelenkpunktion und anschließende Untersuchung des Punktats abgeklärt werden, fordert Prof. Baerwald. Leukozytenzahl und Bakterienkultur dienen der Diagnose einer potenziellen bakteriellen Arthritis, die mikroskopische Untersuchung auf Uratkristalle entlarvt eine Gicht. Gelenkschwellungen unklarer Genese sind auch immer ein Grund, sich den Patienten von Kopf bis Fuß anzuschauen, um extraartikuläre Manifestationen wie Haut- und Nagel­veränderungen oder gar eine Iritis zu erkennen.

Blut analysieren

Auch die Serologie ist von Bedeutung. Hier aber bitte keine Schrotschussdiagnostik, sondern gezielt ans Werk gehen, rät Prof. Baerwald. Basis sind CRP und BSG als unspezifische Entzündungsmarker. Bei Verdacht auf eine reaktive Arthritis ist die Suche nach Chlamydia trachomatis oder Yersinien sinnvoll. Sie lohnt allerdings nur bei hoher Vortestwahrscheinlichkeit, d.h. nach vorangegangener Urethritis oder Enteritis, erklärt Prof. Baerwald. Ansonsten ist ein positives Testergebnis wenig wert.

Unverzichtbar sind spezifische Labortestungen im Rahmen der RA-Diagnostik. Typischerweise finden sich in diesem Fall positive Anti­körper gegen citrullinierte Peptide (CCP) sowie IgM-Rheumafaktoren (RF). Bei der Hälfte der Patienten lässt sich zumindest einer der beiden Marker schon Jahre vor Ausbruch der Symptome nachweisen, rund 80 % der RA-Patienten werden im Verlauf der Erkrankung RF-positiv. Sind beide Marker hoch positiv, ist bei passender Klinik die RA sehr wahrscheinlich.

Bildgebende Diagnostik

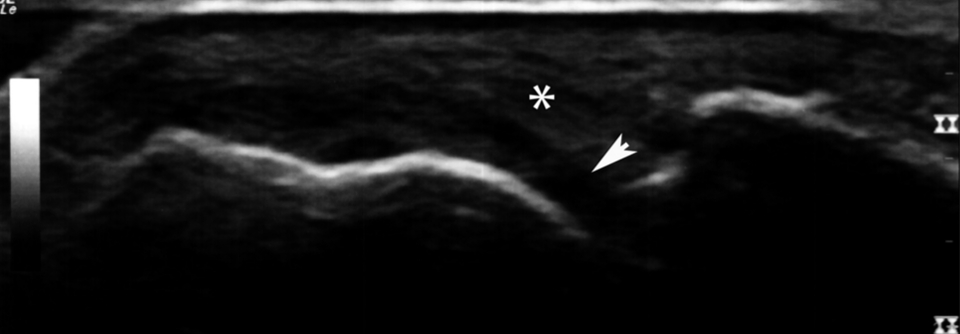
Ein weiterer diagnostischer Baustein ist die Bildgebung. Bei klinischem Verdacht auf eine rheumatoide Arthritis steht beispielsweise eine Röntgenaufnahme von beiden Händen und Füßen an, um für den weiteren Krankheitsverlauf einen Ausgangsbefund zu haben. Besonders wichtig ist zudem die sonografische Darstellung. Erfahrene Schaller können dabei typische Zeichen wie Gelenk­ergüsse, synoviale Proliferationen, Tenovaginitiden oder Erosionen nachweisen.

Im Zweifel ist ergänzend eine MRT angezeigt, um hochauf­gelöste Bilder von Knochen, Sehnen, Muskeln und Gelenken zu erhalten. Auf diesen lässt sich die für eine PsA typische Daktylitis gut erkennen. Vor allem frühe Knochenerosionen sind besser sichtbar als im Röntgenbild.

Hilfreiche Klassifikations­scores

Bei der Diagnose der PsA helfen die CASPAR**-Kriterien. Neben entzündlichen Veränderungen im Bereich von Gelenken, Wirbelsäule oder Sehnen bzw. Sehnenansätzen müssen Patienten mindestens drei der folgenden Faktoren aufweisen:

  • Psoriasis der Haut
  • Haut-Psoriasis bei mindestens einem Verwandten ersten oder zweiten Grades
  • Psoriatische Nagelveränderungen
  • Rheumafaktor im Blut negativ
  • Daktylitis mit Schwellung des gesamten Fingers („Wurstfinger“)
  • Daktylitis in der Vergangenheit (von einem Rheumatologen diagnostiziert)
  • Nachweis von typischen gelenknahen osteoproliferativen Veränderungen an Händen oder Füßen
Bei ≥ 6 Punkten heißt es rheumatoide Arthritis
SymptomePunkte
1 mittelgroßes bis großes Gelenk0
> 1 mittelgroßes Gelenk, nicht symmetrisch1
> 1 mittelgroßes Gelenk, symmetrisch1
1–3 kleine Gelenke2
4–10 kleine Gelenke3
> 10 einschließlich kleine Gelenke5
weder RF noch CCP positiv0
RF und/oder CCP positiv, niedriger Titer2
RF und/oder CCP positiv, hoher Titer3
< 6 Wochen Beschwerden0
≥ 6 Wochen Beschwerden1
weder CRP noch BSG abnormal0
erhöhtes CRP oder abnormale BSG1

Für die RA gibt es einen Klassifikationsscore (s. Tabelle), der nach Ausschluss anderer Ursachen die Diagnose sichert. Gelenkbefall, Serologie und Beschwerdedauer werden dabei bepunktet. Bei mehr als sechs Punkten liegt definitiv eine RA vor.

Quelle: 127. Kongress der DGIM*

* Deutsche Gesellschaft für Innere Medizin; Online-Veranstaltung
** Classification criteria for the diagnosis of psoriatic arthritis