Im Rahmen unserer Website-Modernisierung arbeiten wir kontinuierlich daran, Ihnen noch bessere und aktuellere Informationen zu bieten. Diese Seite wird in Kürze mit frischen Inhalten und einem zeitgemäßen Design überarbeitet.

Arthrose

Definition

Bei Arthrosen handelt es sich um langsam progrediente, primär nicht entzündliche degenerative Erkrankungen des Gelenkknorpels und anderer Gelenkbestandteile. Zwischendurch können entzündliche Episoden mir akuten Schmerzen auftreten, was dann als „aktivierte Arthrose“ bezeichnet wird. Im Spätstadium können dann auch Dauerschmerzen und Funktionsminderungen auftreten.

Arthrosen sind die häufigste Gelenkerkrankung – die Inzidenz nimmt mit dem Alter zu. Im 6. Lebensjahrzehnt zeigen circa 20 % der Menschen im Röntgenbild eine Knie- oder Hüftgelenksarthrose – nur 20 bis 30 % haben dabei aber subjektive Beschwerden. Bei den anderen handelt es sich um eine „stille“ oder latente Arthrose, die nicht behandlungsbedüftig ist. Bis zum 80. Lebensjahr steigt die Prävalenz einer radiologischen Gonarthrose z.B. bei Männern auf 33 %, bei Frauen auf 53 % an. Nur 10 bis 15 % der Menschen mit radiologisch gesicherten Gonarthrose geben dabei aber klinische Beschwerden an.

Am häufigsten sind die Knie- und Hüftgelenke betroffen, gefolgt von den Gelenken der Hand. Grundsätzlich können Arthrosen aber in jedem Gelenk auftreten.

Häufige Begleit- und Grunderkrankungen sind Diabetes mellitus, Hyperlipoproteinämie, Übergewicht, Hyperurikämie, Herzinsuffizienz.

Man unterscheidet:

Primäre (idiopathische) Arthrosen

  • keine erkennbare Ursache, Auftreten im Alter
  • genetische Prädisposition – Heberden-Arthrose der distalen Interphalangealgelenke (DIP) mit Knotenbildung als typisches Beispiel (w : m = 4 :1)

Sekundäre Arthrose

  •  als Folge von Unfällen, Fehlstellungen, Adipositas, zu starker einseitiger Belastung (evtl. auch als Berufskrankheit), rheumatischen Erkrankungen etc.
Anzeige
Symptomatik

Typische Frühsymptome (Frühtrias) sind:

  • Anlaufschmerz
  • Ermüdungsschmerz
  • Belastungsschmerz

Im Spätstadium (Spättrias):

  • Dauerschmerz
  • Nachtschmerz
  • Muskelschmerz
  • außerdem Bewegungseinschränkungen, Wetterfühligkeit, Krepitationen
Mehr zum Thema

Viele machen schlechtes Wetter für ihre Rücken- und Arthroseschmerzen verantwortlich – doch jetzt lässt eine neue Studie sie im Regen stehen.

mehr
Anzeige
Untersuchung

Typische Untersuchungsbefunde:

  • Bewegungseinschränkung im betroffenen Gelenk
  • Krepitation
  • knöcherne Verdickung der Gelenkstrukturen
  • Instabilität
  • Muskelatrophie
  • Fehlstellungen
  • Muskelkontrakturen
  • bei aktivierter Arthrose lokale Hyperthermie, Druckschmerzhaftigkeit, Gelenkerguss
Mehr zum Thema

Arthrose im Sprunggelenk

Bei einer Sprunggelenksarthrose handelt es sich in der Regel nicht um eine Alterserscheinung. Vielmehr stecken oft Verletzungen dahinter. Mit den…

mehr
Labor

Da der radiologische Befund bei Arthrose oft nicht mit der Klinik korreliert, muss grundsätzlich immer beides zusammen betrachtet werden.

Anamnese

  • Fragen nach Trauma, abnormen Belastungen (Beruf, Sport)

Laboruntersuchung:

  • bei Arthrose keine spezifischen Veränderungen

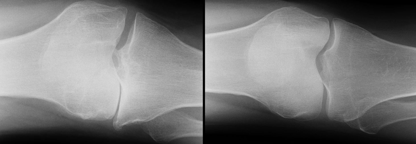
Bildgebende Verfahren

Röntgen:

  • primäres Verfahren zum Nachweis einer Arthrose
  • Arthroseanzeichen sind Gelankspaltverschmälerung, subchondrale Sklerosierung, Geröllzysten, Osteophyten
  • in schweren Fällen Deformierung des Gelenkes, sekundäre Chondrokalzinose
  • Funktionsaufnahmen z.B. des Knies zum Nachweis der Bandinstabilität 

Sonographie

  • z.B. bei Schwellungen im Kniegelenk → Ausschluss Bursitis, Baker-Zyste
  • am Hüftgelenk Nachweis intraartikulärer Erguss, Beurteilung periartikulärer Weichteile

 MRT

  • Bei Diskrepanz zwischen klinischem und radiologischem Befund
  • bei ausbleibender Besserung unter Standardtherapie
  • Nachweis von Osteonekrosen
  • Beurteilung von Weichteilgeweben und Knorpel (z.B. Labrum des Hüftgelenks)
  • am Knie bei z.B. Meniskuszeichen, Kreuzbandinstabilität
  • vor Arthroskopien

Gelenkszintigraphie

  • evtl. zur Differenzialdiagnose z.B. bei Verdacht auf rheumatoide Arthritis

CT

  • Evtl. zum Ausschluss nicht im Röntgenbild erkennbarer knöcherner Veränderungen (z.B. Frakturen am Hüftgelenk)
Anzeige
Differenzialdiagnostik

Beschwerden im Knie:

  • Koxarthrose
  • Neurologische Krankheitsbilder
  • Insertionstendinosen
  • Arterielle Verschlusskrankheit
  • Arterielles Aneurysma
  • Rheumatoide Arthritis
  • Infektionskrankheiten
  • Bakerzyste
  • Chronisches regionales Schmerzsyndrom
  • Gicht
  • Knochen-und Gelenktumor
  • Degenerativer Meniskusschaden
  • Durchblutungsstörungen des Knochens

Beschwerden im Hüftgelenk

  • Infektionen (bakteriell, viral)
  • Chondromatose
  • Schenkelhals- und Acetabulum-Frakturen
  • Hüftdysplasie
  • Labrumeinrisse
  • Hüftkopfnekrosen
  • entzündlich-rheumatische Gelenkerkrankungen
  • femoroazetabuläres Impingemen
  • vertebragene Ursachen
  • pseudo-radikuläre Syndrome
  • Osteomyelitiden
  • Bursitiden
  • Piriformis-Syndrom
  • Hamstring-Syndrom
  • Affektionen des Iliosakralgelenkes
  • Leisten-, Obturatorius-, Schenkelhernien
  • neurogene Inguinalsyndrome
  • extraartikuläre proximale Femurfrakturen -
  • Primärtumoren
  • Metastasen
  • pelvine, inguinale, retroperitoneale Angiopathien
  • gelenknahe Insertionstendinopathien
  • Syndrom der schnappenden Hüfte
  • intraabdominelle Erkrankungen
Mehr zum Thema

Ein umstrittenes Thema: Wann braucht man bei Patienten mit Arthrose bildgebende Diagnostik? Die europäische Fachgesellschaft für Rheumatologie EULAR*…

mehr

Tendinopathien der Hüfte sind nicht immer leicht zu diagnostizieren, weil sie selten isoliert vorkommen und die Untersuchung teilweise schwierig ist.…

mehr

Eine Verdachts­diagnose sollte der Beobachtung unterliegen und überprüft werden – erst recht bei rascher Symptomverschlechterung. Das hätte einem…

mehr

Im Ellbogen ballt sich eine komplexe Anatomie auf kleinem Raum. Schmerzen im Gelenk können daher eine diagnostische Herausforderung darstellen. Doch…

mehr

Ist es eine hereditäre Hämochromatose? Gehen Sie Ihrem Verdacht konsequent nach. Denn die frühzeitige adäquate Therapie der Eisenspeicherkrankheit…

mehr

Je länger sich ein Patient wegen eines Gelenkverschleißes schont, desto kritischer wird es für sein Herz. Bringen Sie Ihre Arthrose-Patienten also…

mehr
Pharmakotherapie und nichtinvasive Therapie

Allgemeine Maßnahmen:

  • Aufklärung und Patientenschulung
  • Gewichtsabnahme bei Übergewicht
  • vernünftiger Wechsel von Belastung und Entlastung (gelenkschonende Sportarten)
  • Warmhalten der Gelenke
  • geeignetes Schuhwerk (festes Schuhwerk mit Pufferabsätzen, evtl. Fußbettung, Schuheinlagen, Abrollhilfen)

Physikalische Therapie

  • krankengymnastische Bewegungstherapie
  • isometrisches Muskeltraining (Muskelaufbau und -kräftigung), evtl. Gang-, Haltungs- und Koordinationsschulung
  • Wassergymnastik /Schwimmen im warmen Wasser
  • bei Arthrosen ohne entzündliche Aktivität Wärmeanwendungen (z.B. Salben, Pflaster, Rotlicht, Fango)
  • bei aktivierter Arthrose Kälteanwendungen, Elektrotherapie (TENS)

Symptomatische medikamentöse Therapie zur Schmerzreduktion und Entzündungshemmung:

Koxarthrose

  • Paracetamol (bei milden, moderaten Schmerzen)
  • Metamizol
  • NSAR/Coxibe (möglichst nicht als Dauertherapie, Kontraindikationen beachten, so niedrig dosiert wie möglich, ggf. Ulkusprophylaxe mit PPI)
  • bei sehr starken Schmerzen evtl. Opioidanalgetika
  • evtl. Glucosamin, Oxaceprol, Hyaluron-Säure und Chondroitin-Sulfat als Dauertherapie (langsamer Wirkeintritt, Evidenz unterschiedlich)
  • evtl. intraartikuläre Kortikosteroid-Injektionen
  • evtl. Phytotherapeutika, Homöopathie (Evidenz unzureichend)

Gonarthrose

  • Versuch mit topischen NSAR (vor allem bei Alter ≥ 75 Jahre)
  • bei nicht ausreichender Wirkung NSAR oral (intermittierend, befristet während Schmerz- und Entzünungsperiode - Kontraindikationen beachten, so niedrig dosiert wie möglich, ggf. Ulkusprophylaxe mit PPI)
  • bei nicht ausreichender Wirkung, Kontraindikationen, erhöhtem Nebenwirkungsrisiko evtl. Glucosamin (kontinuierlich, wirksam spätestens nach drei Monaten), intraartikuläre Hyaluronsäure und/oder intraartikuläre Kortikosteroide (kurzzeitige Therapie im Entzündungsschub)
  •  letzter medikamentöser Versuch mit Opioiden (z.B. als Überbrückung bis zur Knie-OP oder bei nicht-operablen Patienten)

Weitere Maßnahmen:

  • evtl. Akupunktur
  • ggf. Hilfsmittelversorgung (z.B. Gehhilfen, Rollator)
  • evtl. Entlastungorthesen (z.B. Kniegelenk), Schuhzurichtungen
Mehr zum Thema

Tut man dem Gonarthrose-Patienten vielleicht doch einen Gefallen, wenn man das Knie direkt „fit-spritzt“, statt wie von Leitlinien empfohlen,…

mehr

Wenn gängige Analgetika bei Arthroseschmerzen nicht mehr helfen, ist guter Rat für die Kranken oft teuer. Vielleicht hilft ein neues Medikament mit…

mehr

Bereits eine einzige Sitzung mit vier bis sechs Blutegeln kann ausreichen, um Patienten mit Kniearthrose von einem Großteil ihrer Schmerzen zu…

mehr

Es ist noch gar nicht so lange her, da hatte eine kleine Pilotstudie die Hoffnungen auf einen krankheitsmodifizierenden Effekt von Zoledronat bei…

mehr

Extrakte aus der Gewürzpflanze Kurkuma lindern bei Patienten mit Gonarthrose den Knieschmerz. Der analgetische Effekt ist ähnlich gut wie der von…

mehr

Die Arthrose natürlich behandeln: klingt zu schön, um wahr zu sein. Tatsächlich ist aber an den markigen Versprechen der Hersteller von…

mehr

Arthrose-Therapie

Patienten mit Arthroseschmerz brauchen eine schnelle und gleichzeitig verträgliche Linderung. Die Marschroute lautet: Topisch starten, orale NSAR nur…

mehr

Arthroseschmerz

Die Behandlung der Arthrose fußt auf Gewichtsreduktion, Training, NSAR und Opioiden. Doch wie werden aktuell Optionen wie intraartikuläre Injektionen…

mehr
Invasive und Interventionelle Therapie

Operative Therapie

Nach Ausschöpfung der konservativen Maßnahmen ggf. Gelenkersatz (Knie- oder Hüftgelenksendoprothese)

Mehr zum Thema

Ob Defekt nach Brustkrebsoperation, Arthrose im Daumen oder schlaffe Wange: Eigenfett stellt ein hervorragendes Füllmittel dar.

mehr

Immer mehr Prothesen bei immer kürzeren Krankenhausaufenthalten: Da sollte in der Versorgung wirklich jedes Rädchen optimal ineinandergreifen.…

mehr

ASS schützt nach einem arthroplastischen Eingriff an Hüfte oder Knie genauso gut vor thromboembolischen Ereignissen wie direkte orale…

mehr

Die Implantation einer Totalendoprothese ins Knie gehört zu den 20 häufigsten Operationen in Deutschland. Jedoch werden viele Arthrosepatienten nicht…

mehr

Bei schmerz­haften Kniearthrosen kommt früher oder später das Thema Gelenkersatz auf. Darüber zu reden bedeutet aber nicht, dass ein Patient wirklich…

mehr

Bei der Behandlung der Sattelgelenkarthrose stehen der Erhalt der Kraft und der Beweglichkeit der Hand sowie die Schmerzlinderung im Vordergrund.…

mehr

Arthrose und Arthritis

Arthrose und Arthritis können den Fingergelenken so zusetzen, dass eine Arthrodese oder ein Kunstgelenk erforderlich wird. Die Therapieentscheidung…

mehr
Prävention

Prävention:

  • Vermeidung von unphysiologischen, gelenkbelastenden Aktivitäten in Alltag, Beruf und Sport
  • Bewegungstraining, gelenkschonender Sport
  • Vermeidung von Übergewicht (BMI < 25 kg/m2)
Leitlinien

1. Herold - Innere Medizin 2017

Leitlinie der Deutsche Gesellschaft für Orthopädie und Orthopädische Chirurgie (DGOOC) S2k-Leitlinie Gonarthrose (Stand 1/2018)

Leitlinie der Deutschen Gesellschaft für Orthopädie und Orthopädische Chirurgie (DGOOC) und des Berufsverbandes der Ärzte für Orthopädie (BVO)

S3-Leitlinie Koxarthrose (Stand 2011)

Mehr zum Thema

Ein umstrittenes Thema: Wann braucht man bei Patienten mit Arthrose bildgebende Diagnostik? Die europäische Fachgesellschaft für Rheumatologie EULAR*…

mehr

In Kürze wird es eine aktualisierte Leitlinie der DGOOC* zur konservativen Therapie der Gonarthrose geben. Besonders kniffelig: Die Schmerzbekämpfung…

mehr

Viele Patienten mit Gonarthrose möchten ihre Beschwerden am liebsten mit „natürlichen“ Mitteln lindern. Eine aktuelle Leitlinie befürwortet derartige…

mehr

Wenn die konservative Therapie der Gon­arthrose die Schmerzen nicht hinreichend lindert, hoffen viele Patienten auf eine OP – ein neues Knie soll her…

mehr
Forschung
Mehr zum Thema

Arthrose

Den Abbau des Knorpels bekommt man bei der Therapie der Arthrose nicht so recht in den Griff. Da ist es Zeit, sich auf Aufbau und Reparatur zu…

mehr
Abrechnung

Verschenken Sie kein Honorar: Das „Gebühren-Handbuch digital“ ist die ideale Weiterentwicklung der Printausgabe des bekannten „Medical Tribune Gebühren-Handbuchs“ - statt 2000 Buchseiten der schnelle digitale Zugriff.

Was Ihnen die Abrechnung leichter macht:

  • die immer aktuelle Fassung von EBM und GOÄ (Einheitlicher Bewertungsmaßstab und Gebührenordnung für Ärzte)
  • Tipps und Experten-Kommentare zur Honorarabrechnung (EBM/GOÄ), graphisch aufbereitet und leicht verständlich
  • Kommentare von Kollegen lesen und selbst kommentieren
  • persönliche Notizen und Lesezeichen setzen

Zum Gebühren-Handbuch digital »

Fortbildungen

Keine Fortbildung für diesen Fachbereich gefunden

Alle Fortbildungen




Diese Informationen dienen ausschließlich der Aus- und Weiterbildung von Angehörigen und Studenten der medizinischen Fachkreise (z.B. Ärzte) und enthalten nur allgemeine Hinweise. Sie dürfen nicht zur Selbstdiagnose oder -behandlung verwendet werden und sind kein Ersatz für eine ärztliche Beratung oder Behandlung. Die jeweiligen Autoren haben die Inhalte nach bestem Wissen gepflegt. Dennoch sollten Sie die Informationen stets kritisch prüfen und mit zusätzlichen Quellen vergleichen. Die Autoren und die Betreiber von medical-tribune.de übernehmen keine Haftung für Schäden, die durch nicht-kontrollierte Anwendung von Empfehlungen und Inhalten entstehen. Beiträge, die Angaben zum Einsatz und zur Dosierung von Medikamenten machen, sind die persönliche Einschätzung der Autoren. Sie ersetzen nicht die Empfehlungen des Herstellers oder des behandelnden Arztes oder Apothekers.