Intraorbitale Raumforderungen In der Höhle ist für vieles Platz

Autor: Dr. Anja Braunwarth

Auch Metastasen von zum Beispiel Mammakarzinomen führen zu Raumforderungen in der Orbita, welche es zu entfernen gilt. Auch Metastasen von zum Beispiel Mammakarzinomen führen zu Raumforderungen in der Orbita, welche es zu entfernen gilt. © Schmidt L et al. Wehrmedizinische Monatsschrift 2021; 65: 199-205 © Beta Verlag & Marketinggesellschaft mbH, Bonn

Die Orbita ist ein kunstvolles Geflecht aus verschiedenen Strukturen. Die Therapie von Raumforderungen in diesem Bereich bedarf daher der Zusammenarbeit mehrerer Fachrichtungen.

Die Orbita wird von acht knöchernen Strukturen begrenzt und enthält Bulbus, Augenmuskeln, Faszien, Tränendrüsen, Nerven – z.B. den N. opticus – und Gefäße. Raumforderungen in der Augenhöhle sind mit einer Rate von 1/1.600.000 Einwohnern (Quelle: Tumorregister Saarland) selten, aber operationstechnisch sehr herausfordernd. Meist verlangen sie das Geschick mehrerer Fachdisziplinen.

Je nach Lokalisation, Größe und Entität der Tumoren unterscheiden sich die Symptome, schreiben Stabsarzt Lennart Schmidt von der Klinik XII – Neurochirurgie am BundeswehrZentralkrankenhaus Koblenz und Kollegen. Zum Spektrum gehören Exophthalmus +/-Trockenheit des Auges, Visusminderung, Doppelbilder, Schmerzen, Tränenfluss und schlimmstenfalls Erblindung.

Schmerzen sprechen eher für ein malignes Geschehen

Die Neoplasien können vom intraorbitalen Gewebe selbst ausgehen oder sekundär entstehen, z.B. durch Infiltration oder Metastasierung. So findet man u.a. Optikusgliome, Lymphome oder Rhabdomyosarkome

Die Tumoren der Orbita

Die Orbita lässt sich anatomisch in vier Bereiche aufteilen:
  • Intrakonalraum: Dieser konisch zulaufende Raum liegt dorsal des Bulbus innerhalb der geraden Augenmuskeln, hier verlaufen der N. opticus, die A. ophthalmica, die Vv. ophthalmicae sup. et int. sowie die Nn. ciliares breves, alle eingebettet in intraorbitales Fett
  • extrakonaler Raum: Er reicht von den Augenmuskeln bis an das Periost der Orbita
  • subperiostaler Raum: liegt unterhalb des Periosts
  • präseptaler Raum: Bereich vor dem Septum orbitale
Häufigste Tumoren sind Optikusgliome (8–10 %), kavernöse Hämangiome (10 %) und Lymphome (10 %), seltener sieht man kapilläre Hämangiome und Rhabdomyosarkome (3 %). Subperiostal setzen sich oft Metastasen fest (10 %), in absteigender Häufigkeit von Mamma-, Prostata-, Bronchialkarzinomen und Melanomen.

Ein Beispiel für benigne Raumforderungen in der Orbita sind Meningeome der Keilbeinflügelregion. Sie wachsen langsam und nicht infiltrativ. Erst mit fortgeschrittenem Volumen machen sie sich durch Visusminderung oder Exophthalmus bemerkbar. Auch vaskuläre Prozesse wie Kavernome lösen oft nur schleichend Beschwerden wie eine Protrusio bulbi aus. Schmerzen verursachen sie selten. Zu weiteren gutartigen Neoplasien der Orbita zählen Zys­ten, z.B. epidermale oder dermoide. Entwicklungsbedingte Zysten weisen meist eine scharfe Abgrenzung auf, dennoch haben sie häufig Anschluss an tiefer liegende Strukturen oder infiltrieren den Knochen. Bei der operativen Entfernung sollte man sie nicht eröffnen, um keine Entzündung zu riskieren. Nach unvollständiger Resektion drohen Rezidive. Metastasen in der Augenhöhle, z.B. von einem Mamma- oder Prostatakarzinom, wachsen dagegen oft schneller und führen zu Schmerzen. Ihre Enukleation empfiehlt sich nur, wenn sie eher klein und gut zugänglich sind, wobei man immer die Gesamtprognose mit in Betracht ziehen muss. Exemplarisch stellen die Autoren fünf Fallbeispiele vor.

Fall 1

Eine 64-Jährige klagte über Schmerzen im linken Auge mit zunehmendem Exophthalmus, Kopfschmerzen und Schwindel. Die Bildgebung zeigte ein laterales Keilbeinflügelmeningeom mit Arrosion von Os sphenoidale und zygomaticum im Orbitabereich. In Zusammenarbeit mit der Mund-, Kiefer- und Gesichtschirurgie (MKG) konnte der Tumor in toto reseziert werden, die anschließende Rekonstruktion der Augenhöhle mittels Titan-Mesh führte das Team der MKG durch.

Fall 2

Bei einer 24-Jährigen war eine zys­tische Veränderung der rechten lateralen Orbitawand bekannt, man vermutete eine Dermoidzyste. Wiederholt entleerte sich daraus über einen Hautporus Eiter. Größe und Sekretion nahmen im Verlauf zu und es kam zur Fistelbildung nach außen. MRT und CT zeigten, dass der intraossäre Anteil zugenommen hatte, der Knochen wurde zunehmend arrodiert. Die Ärzte entschlossen sich daher zur operativen Entfernung, die vollständig gelang. Der Verdacht auf eine Dermoidzyste bestätigte sich histologisch.

Fall 3

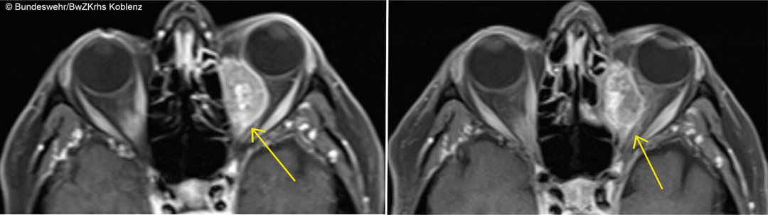
Binnen zwei Wochen entwickelte eine 71-Jährige einen Exophthalmus links mit Lateralverlagerung des Augapfels und Epiphora, begleitet von retrobulbären Schmerzen und einem Druckgefühl. 2018 war bei der Frau ein duktales Mammakarzinom diagnostiziert und mittels Teilablatio sowie adjuvanter Radiochemotherapie behandelt worden. In der Schnittbildgebung stellte sich nun eine 33 x 17 x 19 mm große Raumforderung medial der linken Orbita dar, die stark Kontrastmittel aufnahm (s. Abb. 1). Weitere sus­pekte Befunde sah man im Achsenskelett sowie in axillären, mediastinalen und retroperitonealen Lymphknoten.

Die Ärzte entschlossen sich zunächst zu einer Biopsie, die man in der HNO-Klinik endonasal endoskopisch durchführte. Histologisch ließ sich der Verdacht auf Metastasen des Mammakarzinoms verifizieren. Die Patientin erhielt eine onkologische Weiterbehandlung, darunter verkleinerte sich die Orbitaabsiedlung innerhalb von zwei Monaten auf ein Drittel der ursprünglichen Größe.

Fall 4

Eine 50-jährige Frau musste wegen einer akuten Neuropathia vestibularis in den MRT. Als Zufallsbefund entdeckten die Radiologen eine glatt begrenzte, ca. 17 x 10 mm große Formation unterhalb des linken Keilbeines, die an die Fissura orbitalis superior und den Sinus cavernosus grenzte (s. Abb. 2). Morphologisch sah es nach einem kavernösen Hämangiom mit Ursprung im Sinus cavernosus aus. Man entschied sich konservativ vorzugehen und die asymptomatische Patientin regelmäßig klinisch und radiologisch zu kontrollieren. Bisher blieb der Befund konstant. Eine OP ist erst bei einer deutlichen Progredienz vorgesehen.

Fall 5

2009 wurde bei einem 71-Jährigen erstmalig ein links retrobulbär gelegenes kavernöses Hämangiom entdeckt. Auch in diesem Fall entschied man sich nicht direkt zu operieren. Seit 2018 wuchs es allerdings stetig und hatte nun zu Exophthalmus und Trockenheit des Auges geführt (s. Abb. 3).

Der Mann gab jetzt auch gelegentliche Doppelbilder und Motilitätsstörungen des Bulbus an. Daher fiel die Entscheidung zur Resektion, die unter Zusammenarbeit von Neuro- und Mund-Kiefer-Gesichts­chirurgen vollständig gelang. Die Rekonstruktion der Orbita war dann wieder Sache des MKG-Teams. Die Protrusio bildete sich inzwischen vollständig zurück, der Mann ist beschwerdefrei.

Quelle Text und Abb.: Schmidt L et al. Wehrmedizinische Monatsschrift 2021; 65: 199-205 © Beta Verlag & Marketinggesellschaft mbH, Bonn