Im Rahmen unserer Website-Modernisierung arbeiten wir kontinuierlich daran, Ihnen noch bessere und aktuellere Informationen zu bieten. Diese Seite wird in Kürze mit frischen Inhalten und einem zeitgemäßen Design überarbeitet.

Prostatakarzinom

Definition

Das Prostatakarzinom ist die häufigste maligne Tumorerkrankung des Mannes, es manifestiert sich vor allem zwischen dem 45. und 70. Lebensjahr, nicht selten wird es als Zufallsbefund bei anderen Operationen der Vorsteherdrüse entdeckt. Die Metastasierung erfolgt lymphogen (z.B. obturatorische und iliakale Lymphknoten) sowie hämatogen (z.B. Knochen, Leber und Lunge).

ICD10-Code: C61

Anzeige
Symptomatik

Lokale Symptome

  • Miktionsbeschwerden (verlängerte Miktion mit schwachem Harnstrahl, Inkontinenz, Pollakisurie, Nykturie, Dysurie, Algurie)
  • Erektionsstörungen
  • perineales Druckgefühl
  • Hämaturie
  • Hämatospermie

Allgemeine Symptome

  • ungewollte Gewichtsabnahme
  • Leistungsknick
  • Anämie
  • paraneoplastische Syndrome, z. B. Thromboseneigung

Metastasenbedingte Symptome

  • Knochenschmerzen oder pathologische Frakturen bei Skelettmetastasen (häufig)
  • Lymphödem bei ausgeprägten iliakalen Lymphknotenmetastasen
  • neurologische Symptome bei cerebraler Metastasierung oder bei spinaler Kompression durch Wirbelkörpermetastasen
  • Husten und Dyspnoe bei pulmonaler und / oder pleuraler Metastasierung
  • Ikterus und Leberinsuffizienz bei fortgeschrittener Lebermetastasierung
Anzeige
Untersuchung

Körperliche Untersuchung mit digital-rektaler Palpation der Prostata, ggf. ergänzt durch eine transrektale Sonographie (Ausdehnung und Lage des Tumors),

Histologische Sicherung der Diagnose mittels Stanzbiopsie (transrektal bzw. perineal), die feingewebliche Analyse ermöglicht zusätzlich ein Grading des Tumors (Gleason-Score)

Staging: Oberbauch-Sonographie (Lebermetastasen), MRT oder CT (Lymphknoten etc.), Knochenszintigraphie (Knochenmetastasen), ggf. PET-CT

Mehr zum Thema

Die Bildgebung beim Prostatakarzinom wird immer sensitiver – und detektiert zunehmend häufiger erste Metastasen, die früher unerkannt geblieben…

mehr

Laut einer prospektiven Studie aus England kann eine kurze, kontrastmittelfreie MRT die Früherkennung klinisch relevanter Prostatakarzinome…

mehr

Prostatakrebs

Bei 20 % der Patienten mit Prostatakarzinom gibt es mindestens einen Verwandten ersten Grades, der ebenfalls an diesem Tumor erkrankt ist oder war.…

mehr

Karzinome

Ein akuter Harnverhalt kann auf eine bislang unentdeckte Krebserkrankung hinweisen. Daran sollte man denken, wenn (ältere) Patienten über…

mehr

Prostatakarzinom

Zu viele Überdiagnosen und unnötige Behandlungen – das sind zwei relevante Kritikpunkte am Prostatakrebs-Screening mittels PSA-Wert und…

mehr

Prostatakarzinom

Luminal oder basal? Diese Unterscheidung lässt es zu, eine Aussage über die Prognose des frühen Prostatakarzinoms zu treffen. Laut den Ergebnissen…

mehr

MRT-Verfahren

Bei Prostatakrebs können MRT-gestützte Methoden die Nachweisrate klinisch relevanter Karzinome steigern und die Anzahl notwendiger Biopsien…

mehr

Prostatatumoren

Möglicherweise lassen sich Biopsien einsparen bei Männern mit ≤ cT2-Prostatatumoren, die sich für eine aktive Überwachung entscheiden. Ein neues…

mehr

Prostatakarzinom

Beim Prostatakarzinom ist die frühestmögliche Erkennung unabdingbar. Neben den Klassikern wie Tastuntersuchung oder PSA-Wert-Bestimmung, kann hierbei…

mehr
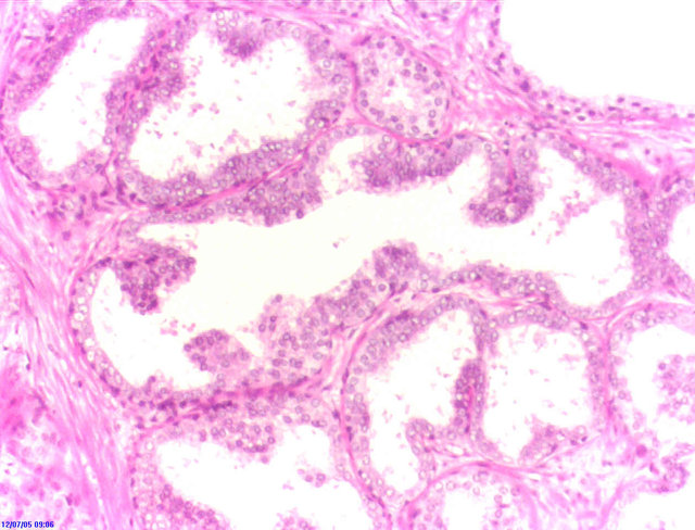
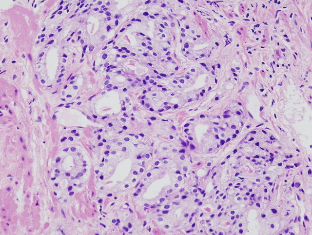
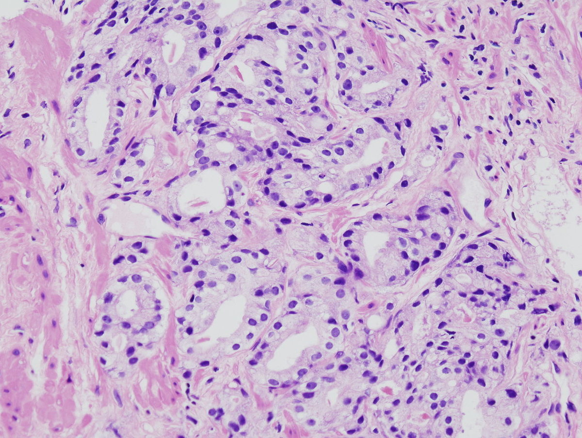
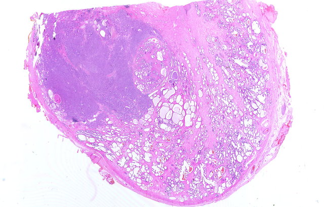
Bildgebung
©wikipedia.org/KGH, CC BY-SA 3.0
Osteoplastische Knochenmetastase im Hüftgelenk in der F-18-Cholin PET-CT; Knochenmetastasen des Prostata-Karzinoms sind meist osteoplastisch, d. h. knochenaufbauend © wikipedia.org/Hg6996, CC BY-SA 3.0
© wikipedia.org/Alex brollo, CC BY-SA 4.0
© wikipedia.org/Alex brollo, CC BY-SA 3.0
Labor

Erhöhte PSA-Werte bzw. ein auffälliger Anstieg des prostataspezifischen Antigens können in der Primärdiagnostik auf einen malignen Tumor hinweisen. Ein PSA-Anstieg unter bzw. nach der Therapie spricht für ein Rezidiv. Vermehrte AP- und Kalziumspiegel können Zeichen für Knochenmetastasen sein.  

Mehr zum Thema

Keimbahnmutationen in verschiedenen DNA-Reparaturgenen prädisponieren Männer für die Entwicklung eines Prostatakarzinoms. Aktuelle Studienergebnisse…

mehr

Neben höherem Alter und niedrigem Einkommen kann vor allem die Einnahme von Finasterid oder Dutasterid die Diagnose eines Prostata­karzinoms…

mehr

Die Konzentration des prostataspezifischen Antigens (PSA) im Rahmen des Prostatakrebsscreenings zu messen, führt zu Überdiagnosen und schadet daher…

mehr

Patienten mit Hochrisiko-Prostatakarzinom können nach radikaler OP eine Salvage-Bestrahlung erhalten und werden häufig zusätzlich mit Anti-Androgenen…

mehr

Ein neues Bildgebungsverfahren spürt beim Prostatakrebs auch kleinste Metastasen auf. Das ermöglicht es, die Therapie frühzeitig anzupassen. Nutzen…

mehr

In Deutschland übernehmen die gesetzlichen Krankenkassen nur in begründeten Ausnahmefällen die Kosten für einen PSA-Test. Wer sich abseits dessen…

mehr

Prostatakarzinom

Der Nutzen von PSA-Tests zur Prostatakrebsfrüherkennung ist nach wie vor unklar. Ein Grund dafür: sie führen zur Überdiagnostik von klinisch nicht…

mehr
Anzeige
Differenzialdiagnostik

Als Differenenzialdiagnosen kommen z.B. präkanzeröse Läsionen, eine benigne Prostatahyperplasie und die chronische Prostatitis in Betracht. 

Pharmakotherapie und nichtinvasive Therapie

Patienten mit lokal fortgeschrittenem Prostatakarzinom (Infiltration in Nachbargewebe bzw. Lymphknotenmetastasen) brauchen zusätzlich zur radikalen Prostatektomie bzw. Betrahlung eine hormonablative Therapie - mit kurativer Zielsetzung. Wenn bereits Fernmetastasen vorliegen, ist nur noch eine palliative Behandlung möglich, Patienten mit hormonsensitivem Tumor erhalten eine Androgendeprivation, wenn möglich kombiniert mit einer Chemotherapie und ergänzt durch eine gezielte symptomlindernde Behandlung (z.B Knochenschmerzen).

Mehr zum Thema

Therapieentscheidung bei Prostatakrebs

Das Prostatakarzinom ist nicht einmal bei ein und demselben Patienten ein einheitliches Gebilde. Dieser Tumorheterogenität sollte man mehr…

mehr

Prostatakrebs

Mit der richtigen Erstlinientherapie lassen sich für Patienten mit metastasiertem Prostatakrebs Jahre gewinnen. Worauf sollte man bei der…

mehr

Lymphknotenpositiv – und nun?

Auch wenn Techniken wie die PSMA PET/CT heute eine genauere Einstufung von Prostatatumoren ermöglichen als noch vor einigen Jahren: Die Frage nach…

mehr

Prostatakrebs

Die Active Surveillance kann auch für ausgewählte Männer mit Prostatakarzinom und intermediärem Risiko ein geeignetes Vorgehen sein. Wichtig dabei ist…

mehr

Hochrisiko-Prostatakarzinom

Eine neoadjuvante Behandlung ist beim lokalen Prostatakarzinom kein Standard. Diese Option wird derzeit aber für Patienten mit hohem Risiko neu…

mehr

Hormonsensitives Prostatakarzinom

Bringt die Addition eines Androgenrezeptor-Inhibitors zu Hormonentzug und einem Taxan Männern mit hormonsensitivem Prostatakrebs einen Vorteil?…

mehr

Prostatakarzinom

Für Männer mit lokalisiertem Prostatakarzinom und intermediärem oder hohem Risiko ist der Nutzen einer Androgendeprivation ergänzend zur Radiatio mit…

mehr
Invasive und Interventionelle Therapie

Beim lokal begrenzten Prostatakarzinom hat der Patient die Wahl zwischen der radikalen Prostatektomie und einer ebenfalls mit kurativer Zielsetzung durchgeführten Strahlentherapie (perkutan oder als Brachytherapie mit Seeds). Als Alternative zu diesen beiden Formen der Therapie ist eine "aktive Überwachung" möglich, wenn der Patient bereit ist, sich einer engmaschigen Kontrolle (PSA, erneute Biopsie etc.) zu unterziehen, damit eine etwaige Progression rechtzeitig erkannt wird.  

Mehr zum Thema

Für Männer, die ein Prostatakarzinom mit niedrigem oder mittlerem Risiko aufweisen, eignet sich die radikale Prostatektomie. In ausgewählten Fällen…

mehr

Beim frühen Prostatakarzinom reichen die Therapieoptionen von der aktiven Überwachung bis zur radikalen Resektion. In zwei Studien wurde untersucht,…

mehr

Patienten mit lokal begrenztem Prostatakarzinom profitieren langfristig von einer radikalen Entfernung der Vorsteherdrüse. Die Operation scheint…

mehr

Auf einen biochemischen Progress folgt beim Prostatakarzinom nicht immer ein klinisches Rezidiv. Wer besonders gefährdet ist, demonstrieren Daten…

mehr

Adjuvant gleich nach der OP oder erst, wenn ein steigendes PSA auf ein Rezidiv hindeutet? Zum optimalen Zeitpunkt einer Strahlentherapie nach…

mehr

Sollten Männer mit Prostata­karzinom nach einer Prostatektomie sofort bestrahlt werden oder besser eine Salvage-Option erhalten? Drei aktuelle…

mehr

Das MRT dient bei Prostatakarzinomen oft der Diagnostik und Therapiesteuerung. Doch seine Präzision in der Größenbestimmung lässt zu wünschen übrig.

mehr
Prävention

Das PSA-Screening ist umstritten, weil es zahlreiche Karzinome aufspürt, die keiner Behandlung bedürfen und ein günstiger Einfluss auf die Gesamtmortalität bisher nicht nachgewiesen wurde. Die Deutsche Gesellschaft für Urologie (DGU) empfiehlt in ihrer Leitlinie, Männer ab einem Alter von 45 Jahren und einer Lebenserwartung von zehn Jahren über den Test zu informieren. Die DEGAM rät in ihrem Sondervotum, nur Männer auf den PSA-Test anzusprechen, die von sich aus den Wunsch äußern. 

Mehr zum Thema

Das Schlafhormon Melatonin scheint das Risiko eines aggressiven Prostatakarzinoms zu senken. Dies fanden jetzt Forscher in einer Fallkontrollstudie…

mehr

Kaffee reduziert das Risiko für ein Prostatakarzinom um mehr als 50 %. Zu diesem Ergebnis kommt eine aktuelle Kohortenstudie – vorausgesetzt, der…

mehr

Eine Warfarintherapie schützt vor Krebs. Dafür spricht zumindest die Auswertung norwegischer Registerdaten. Die hohen Patientenzahlen machen…

mehr

Vom Esstisch aufstehen und kurz darauf ins Bett fallen – keine gute Idee, wenn es nach einer spanischen Studie geht. Menschen, die so ihren Abend…

mehr

Als das „Beste, was wir haben“ bewertet ein Stuttgarter Urologe die PSA-Messung zur Früherkennung von Prostatakrebs. Trotzdem bietet er die Analyse…

mehr

Screenen oder nicht – eine Antwort auf die Frage wurde immer noch nicht gefunden. Das soll die Deutsche Prostatakrebs-Screening-Studie PROBASE…

mehr

Überdiagnose

Was tun, damit die Früherkennung eines Prostatakarzinoms nicht in einem Desaster endet? Drei Gedankenexperimente demonstrierten, wo besondere…

mehr
Prognose
Mehr zum Thema

Das Ausmaß des PSA-Abfalls nach neoadjuvanter Androgendeprivation (ADT) ist ein Indikator für ein günstiges onkologisches Langzeitergebnis bei…

mehr

Ein internationales Forscherteam hat einen neuen Score für Patienten mit lokalisiertem Prostatakarzinom entwickelt. Dieser soll helfen, die Prognose…

mehr

Prostatakarzinom

Veggie ist Trumpf, und zwar auch im Hinblick auf Progression oder Rezidiv eines Prostatakarzinoms: Laut einer aktuellen Studie haben Patienten, die…

mehr
Leitlinien

Deutsche Gesellschaft für Urologie (DGU):
Prostatakarzinom: Früherkennung, Diagnose und Therapie der verschiedenen Stadien

Mehr zum Thema

Prostatakrebs

Männer „ergebnisoffen“ über Vor- und Nachteile einer Früherkennung des Prostatakarzinoms aufklären lautet eine der neuen Empfehlungen der…

mehr
Patienteninformationen
Mehr zum Thema

Besteht Verdacht auf ein Prostatakarzinom, muss das verdächtige Tumorgewebe genauer untersucht werden. Standard ist eine Gewebeentnahme mit einer…

mehr
Forschung
Mehr zum Thema

Für Patienten mit metastasiertem und hormonnaivem Prostatakarzinom ist die Kombination aus Androgendeprivationstherapie plus Docetaxel oder…

mehr

Die PARP-Inhibition ist möglicherweise auch eine Option beim metastasierten kastrationsresistenten Prostatakarzinom. Hierzu liegen erste positive…

mehr

Das prostataspezifische Membranantigen PSMA ist auf Karzinomzellen in der Regel deutlich stärker exprimiert als auf gesunden Prostatazellen. Da es im…

mehr

Das metastasierte hormonsensitive Prostatakarzinom wird mit einer Kombination aus konventioneller Androgendeprivationstherapie mit Docetaxel, einer…

mehr

Prostatatumor mit PTEN-Verlust

Um die Resistenzentwicklung von Prostatakarzinomen zu stoppen, wurde in einer Phase-3-Studie Abirateron zusammen mit Ipatasertib getestet. Zutage kam,…

mehr

Fortgeschrittenes Prostatakarzinom

Nicht alle Prostatatumoren exprimieren PSMA, was die Etablierung neuer Zielstrukturen nötig macht. Mehrere Targets, darunter KLK2 und STEAP1, werden…

mehr

Prostatakrebs

Wie sieht die optimale Therapiestrategie bei Männern mit nicht-metastasiertem Hochrisiko-Prostatakarzinom aus? Damit beschäftigten sich zwei Experten…

mehr

Assistierte Befruchtung

Infertile Männer, denen mit künstlicher Befruchtung geholfen werden konnte, sollten weiter unter Beobachtung bleiben. Denn sie schweben in großer…

mehr

Prostatakarzinom und Typ-2-Diabetes

So viel ist klar: Personen mit Typ-2-Diabetes haben ein erhöhtes Risiko für kardiovaskuläre Erkrankungen (CVD). Werden sie dann, zum Beispiel im Zuge…

mehr
Abrechnung

Verschenken Sie kein Honorar: Das „Gebühren-Handbuch digital“ ist die ideale Weiterentwicklung der Printausgabe des bekannten „Medical Tribune Gebühren-Handbuchs“ - statt 2000 Buchseiten der schnelle digitale Zugriff.

Was Ihnen die Abrechnung leichter macht:

  • die immer aktuelle Fassung von EBM und GOÄ (Einheitlicher Bewertungsmaßstab und Gebührenordnung für Ärzte)
  • Tipps und Experten-Kommentare zur Honorarabrechnung (EBM/GOÄ), graphisch aufbereitet und leicht verständlich
  • Kommentare von Kollegen lesen und selbst kommentieren
  • persönliche Notizen und Lesezeichen setzen

Zum Gebühren-Handbuch digital »

Fortbildungen

Keine Fortbildung für diesen Fachbereich gefunden

Alle Fortbildungen




Diese Informationen dienen ausschließlich der Aus- und Weiterbildung von Angehörigen und Studenten der medizinischen Fachkreise (z.B. Ärzte) und enthalten nur allgemeine Hinweise. Sie dürfen nicht zur Selbstdiagnose oder -behandlung verwendet werden und sind kein Ersatz für eine ärztliche Beratung oder Behandlung. Die jeweiligen Autoren haben die Inhalte nach bestem Wissen gepflegt. Dennoch sollten Sie die Informationen stets kritisch prüfen und mit zusätzlichen Quellen vergleichen. Die Autoren und die Betreiber von medical-tribune.de übernehmen keine Haftung für Schäden, die durch nicht-kontrollierte Anwendung von Empfehlungen und Inhalten entstehen. Beiträge, die Angaben zum Einsatz und zur Dosierung von Medikamenten machen, sind die persönliche Einschätzung der Autoren. Sie ersetzen nicht die Empfehlungen des Herstellers oder des behandelnden Arztes oder Apothekers.