Lungenembolie trotz Antikoagulation Manchmal sollte man doch genauer aufs Labor schauen

DGIM 2022 Autor: Dr. Angelika Bischoff

Bei einem jungen Patienten mit Pulmonalembolien sollte man zumindest Eiweiß im Urin bestimmen – und den Befund auch anschauen. Bei einem jungen Patienten mit Pulmonalembolien sollte man zumindest Eiweiß im Urin bestimmen – und den Befund auch anschauen. © Angelov – stock.adobe.com

Ein Lungenembolierezidiv bei massivem Übergewicht mit einem INR jenseits des Zielbereichs: Da kann nur die mangelnde Adhärenz des Patienten schuld sein. Falsch gedacht, die Ursache lag ganz woanders.

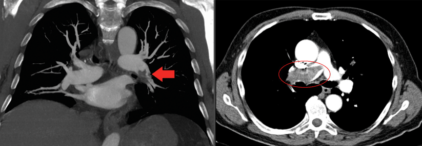
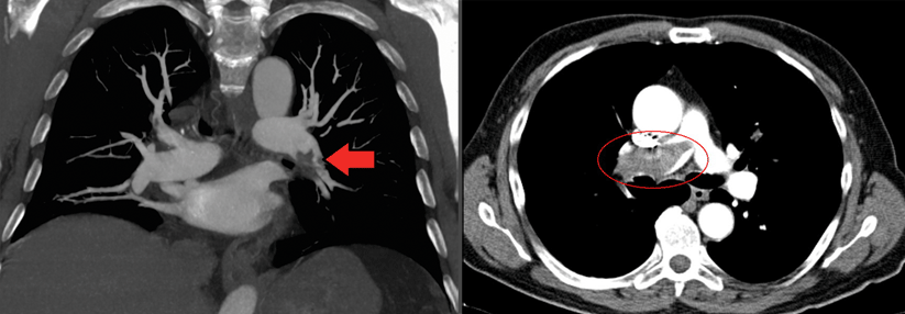
Ein 30-jähriger Patient mit massiver Adipositas wurde wegen starker Dyspnoe ins Krankenhaus eingewiesen. Die Spiral-CT zeigte eine Pulmonalembolie im linken Unterlappen und eine Pneumonie. Vor fünf Monaten hatte er schon einmal eine bilaterale Lungenembolie gehabt, berichtete Prof. Dr. Alexander Rosenkranz von der Nephrologie an der Universitätsklinik Graz, stellvertretend für Prof. Dr. Sabine Schmaldienst, Klinik Favoriten Wien. Damals war eine orale Antikoagulation mit einem Vitamin-K-Antagonisten für sechs Monate angesetzt worden. In der Familienanamnese fiel auf, dass der Vater des Patienten an einer Lungenembolie verstorben war.

Warum bekam der Mann trotz noch laufender oraler…

Liebe Leserin, lieber Leser, aus rechtlichen Gründen ist der Beitrag, den Sie aufrufen möchten, nur für medizinische Fachkreise zugänglich. Wenn Sie diesen Fachkreisen angehören (Ärzte, Apotheker, Medizinstudenten, medizinisches Fachpersonal, Mitarbeiter der pharmazeutischen oder medizintechnischen Industrie, Fachjournalisten), loggen Sie sich bitte ein oder registrieren sich auf unserer Seite. Der Zugang ist kostenlos.

Bei Fragen zur Anmeldung senden Sie bitte eine Mail an online@medical-tribune.de.