Lungenembolie: Erfahrung einer Klinik bestimmt die Chancen der Patienten

Autor: Michael Brendler

Sieht eine Klinik weniger als 15 Lungenembolien im Jahr, sterben die Patienten häufiger als in Häusern mit mehr als 40 Betroffenen. Sieht eine Klinik weniger als 15 Lungenembolien im Jahr, sterben die Patienten häufiger als in Häusern mit mehr als 40 Betroffenen. © wikipedia/James Heilman, MD; wikipedia/Bernd Brägelmann Braegel

Obwohl sich das Outcome einer Lungenembolie im vergangenen Jahrzehnt deutlich verbessert hat, bleibt sie die häufigste vermeidbare Todesursache in Krankenhäusern. Womöglich auch deshalb, weil sich die Fortschritte in der Therapie nicht überall herumgesprochen haben.

Lungenembolien können sehr unterschiedlich in Erscheinung treten. Zudem sind bei dem Leiden verschiedenste Komplikationen möglich, die alle schnell erkannt und behandelt werden müssen. Deshalb mahnen Professor Dr. David Jiménez vom Respiratory Department des Ramón y Cajal Hospitals in Madrid und Kollegen: Gerade in diesem Bereich sind sehr gute klinische Fähigkeiten notwendig.

Aber sind die auch überall gleichermaßen vorhanden? Schließlich hat sich schon bei anderen Krankheitsbildern gezeigt, dass die therapeutische Erfolgsrate oft mit der Übung der Ärzte und der Zahl der von ihnen behandelten Fälle steht und fällt. Um diese These zu prüfen, gingen die Forscher in einem internationalen Register dem Schicksal von 39 257 Patienten mit akuter Lungenembolie aus 353 Kliniken nach.

Mit eindeutigem Ergebnis: Betroffene, die in Krankenhäuser kamen, die im Jahr mehr als 40 dieser Verschlüsse behandeln, hatten eine um 44 % höhere 30-Tage-Überlebenswahrscheinlichkeit als ihre Leidensgenossen in Häusern mit weniger als 15 jährlichen Fällen. Und das, obwohl die Patienten in Kliniken mit hohem Aufkommen älter waren, mehr Komorbiditäten und einen höheren Schweregrad der Embolie aufwiesen. Die Ergebnisse blieben generell nach Adjustierung auf Alter, Geschlecht, Schweregrad, Begleiterkrankungen und Laborbefunde konsistent.

Unerfahrenere Teams hielten sich seltener an Leitlinien und ließen ihren Schützlingen häufiger zu viel oder zu wenig Behandlungsmaßnahmen zukommen. Neue Fortbildungskonzepte würden vermutlich helfen, das Wissen und die klinische Expertise der Ärzte in den kleineren Häusern zu verbessern. Die vermehrte Aufklärung könnte dazu beitragen, kritische Anzeichen schneller zu erkennen, Therapien mehr dem aktuellen Stand des Wissens anzugleichen oder auch interdisziplinär, zum Beispiel in sogenannten Pulmonary Embolism Response Teams, stärker zusammenzuarbeiten.

Quelle: Jiménez D et al. BMJ 2019; 366: l4416; DOI:  https://doi.org/10.1136/bmj.l4416

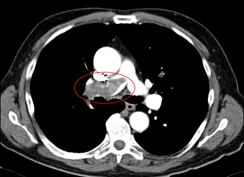
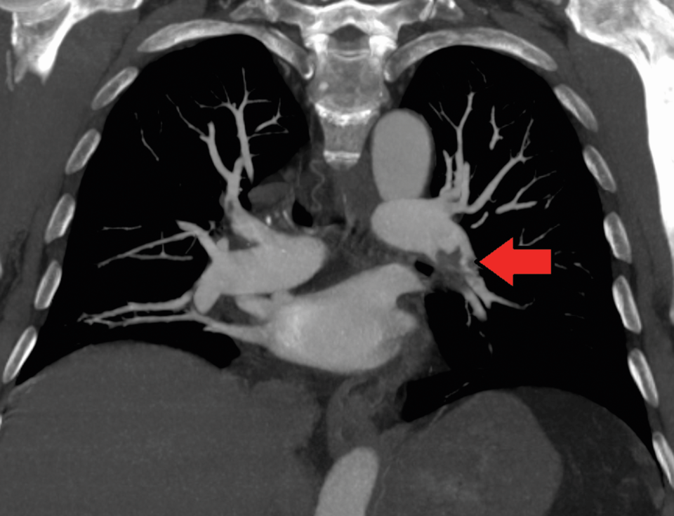
Lungenembolie in der linken Lunge. Lungenembolie in der linken Lunge. © wikipedia/James Heilman, MD (CC BY-SA 4.0)
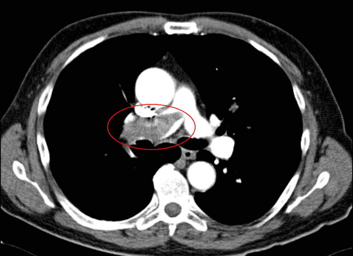
Lungenembolie mit Nachweis eines großen Thrombus innerhalb der rechten Pulmonalarterie. Lungenembolie mit Nachweis eines großen Thrombus innerhalb der rechten Pulmonalarterie. © wikipedia/Bernd Brägelmann Braegel (CC BY-SA 3.0)