Psoriasis-Arthritis: Flechte in der Hüfte

Autor: Dr. Anja Braunwarth

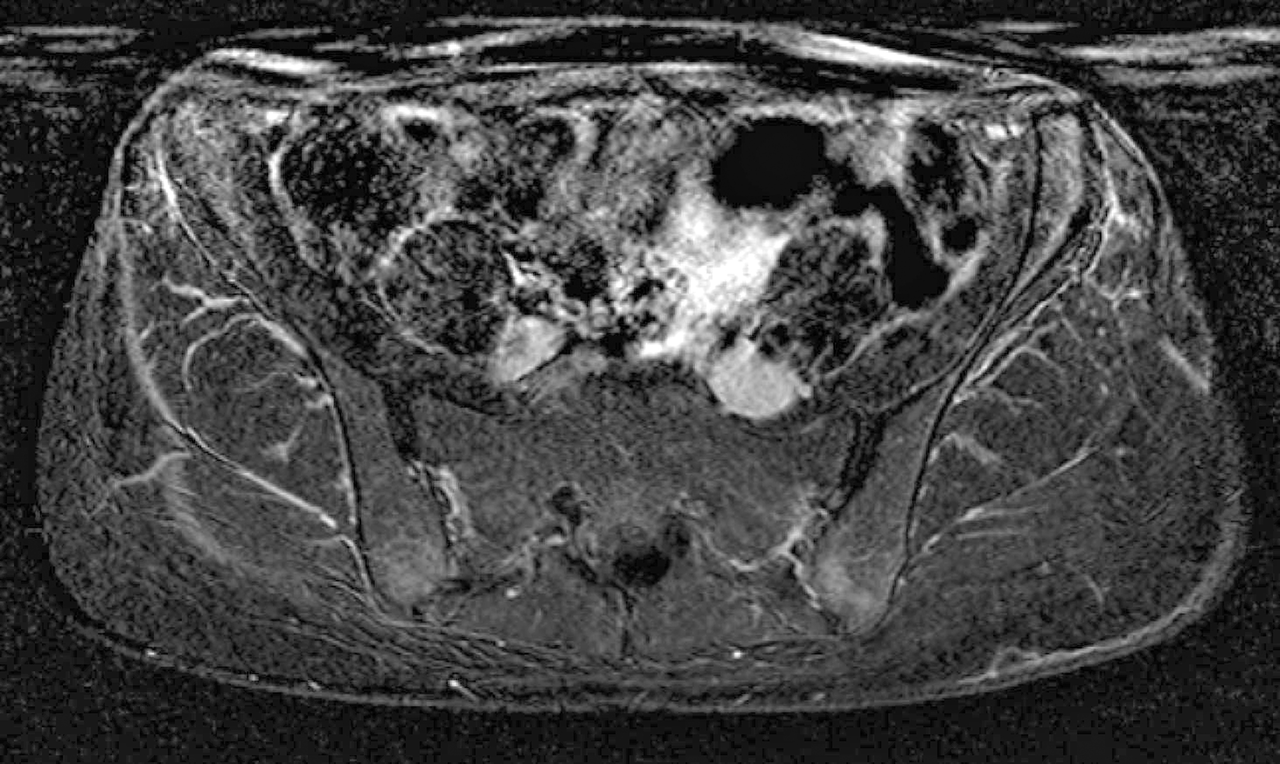
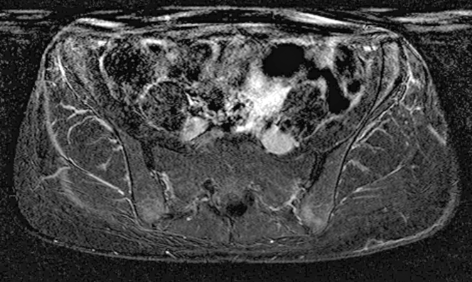
Das MRT des Beckens zeigt die Entzündung an den Sehnenansätzen des Os ilium auf beiden Seiten sowie ein Knochenödem im rechten Hüftkopf.  Das MRT des Beckens zeigt die Entzündung an den Sehnenansätzen des Os ilium auf beiden Seiten sowie ein Knochenödem im rechten Hüftkopf. © Härle P. Ärzteblatt Rheinland-Pfalz 2018; 71: 21 © Landesärztekammer Rheinland-Pfalz, Mainz

Eine 46-Jährige bietet klinisch das typische Bild einer Coxitis, doch das Labor deutet weder auf einen Infekt noch finden sich Rheumamarker.

Seit Wochen hat die Patientin zunehmend Schmerzen in beiden Hüftregionen: Morgens sind sie am schlimmsten, bessern sich aber durch Bewegung. Die weitere Untersuchung im „Zentrum für Rheumatologische Akutdiagnostik“ ergibt einen deutlichen Schmerz bei Innenrotation. Das Labor zeigt weder Entzündungszeichen noch positive Rheumamarker. Dennoch lässt diese Anamnese Professor Dr. Peter Härle­ von der Klinik für Rheumatologie am Katholischen Klinikum Mainz an eine Arthritis aus dem rheumatischen Formenkreis denken.

Durch gezieltes Fragen kommt man einer möglichen Psoriasis bei Vater und Großmutter (väterlicherseits) auf die Spur. Bei gründlicher Inspektion der Haut finden sich schließlich diskrete schuppende Ekzeme in beiden Gehörgängen und am Bauchnabel.

Die Arthrosono bestätigt die Coxitis rechts und links. Nach intraartikulärer Injektion von Triamcinolon plus Lokalanästhetikum ist die Frau sofort schmerzfrei. Leitliniengerecht startet man eine Basistherapie mit Methotrexat. Drei bis vier Wochen später wird die Patientin aber erneut mit Schmerzen vorstellig, dieses Mal diffus im Becken. Im MRT fallen enthesitische Veränderungen am Os ilium beidseits sowie ein Ödem im rechten Hüftkopf auf.

Eine Beteiligung der Sehnenansätze bei der Psoriasis-Arthritis ist typisch und häufig, schreibt der Kollege. Die Methotrexat-Therapie erziele in diesen Fällen aber selten die gewünschte Wirkung. Therapeutisch kommen daher zunächst NSAR/Coxibe infrage, bei ausbleibendem Erfolg dann TNF-a-Blocker. So geschah es auch bei der 46-Jährigen. Unter dem Biologikum ist die Patientin vollständig beschwerdefrei.

Quelle Text und Abb.: Härle P. Ärzteblatt Rheinland-Pfalz 2018; 71: 21 © Landesärztekammer Rheinland-Pfalz, Mainz

MRT des Beckens MRT des Beckens © Härle P. Ärzteblatt Rheinland-Pfalz 2018; 71: 21 © Landesärztekammer Rheinland-Pfalz, Mainz