Fatigue und zunehmende muskuloskelettale Beschwerden kündigen Psoriasis-Arthritis an

Autor: Dr. Anja Braunwarth

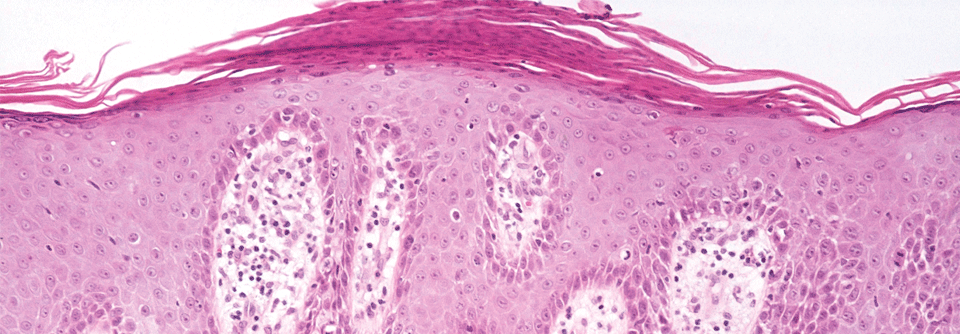
Essenziell ist die frühe Diagnose. Schon wenige Monate Verzögerung verschlechtern den Verlauf erheblich. Essenziell ist die frühe Diagnose. Schon wenige Monate Verzögerung verschlechtern den Verlauf erheblich. © wikimedia/James Heilman, MD

Angesichts der Fülle moderner Therapeu­tika kann sich mittlerweile niemand mehr damit herausreden, dass gegen die Psoriasis-Arthritis kein Kraut gewachsen sei. Das Ziel lautet heute daher wie bei der rheumatoiden Arthritis: Remission.

Wie wichtig die frühe Diagnose und Behandlung der Psoriasis-Arthritis ist, hat sich erst in den letzten paar Jahren herausgestellt. Schon eine Verzögerung von sechs Monaten verschlechtert den Krankheitsverlauf auf lange Sicht erheblich. In der Praxis scheint diese Erkenntnis aber noch nicht angekommen zu sein, bemängeln die Rheumatologen Professor Dr. Filip­ van­ den­ Bosch, Universitätsklinik Gent, und Dr. Laura­ Coates,­ Universität Oxford.

Eine Analyse von 1016 Betroffenen ergab, dass sie nicht nur sehr viel später mit ihren Beschwerden zum Hausarzt gingen als Patienten mit rheumatoider Arthritis, sondern es dann auch signifikant länger dauerte, bis man sie zum Rheumatologen überwies…

Liebe Leserin, lieber Leser, aus rechtlichen Gründen ist der Beitrag, den Sie aufrufen möchten, nur für medizinische Fachkreise zugänglich. Wenn Sie diesen Fachkreisen angehören (Ärzte, Apotheker, Medizinstudenten, medizinisches Fachpersonal, Mitarbeiter der pharmazeutischen oder medizintechnischen Industrie, Fachjournalisten), loggen Sie sich bitte ein oder registrieren sich auf unserer Seite. Der Zugang ist kostenlos.

Bei Fragen zur Anmeldung senden Sie bitte eine Mail an online@medical-tribune.de.