Welche Auslöser hinter einer akuten Atemnot im Kindesalter stecken können

Autor: Dr. med. Angelika Bischoff

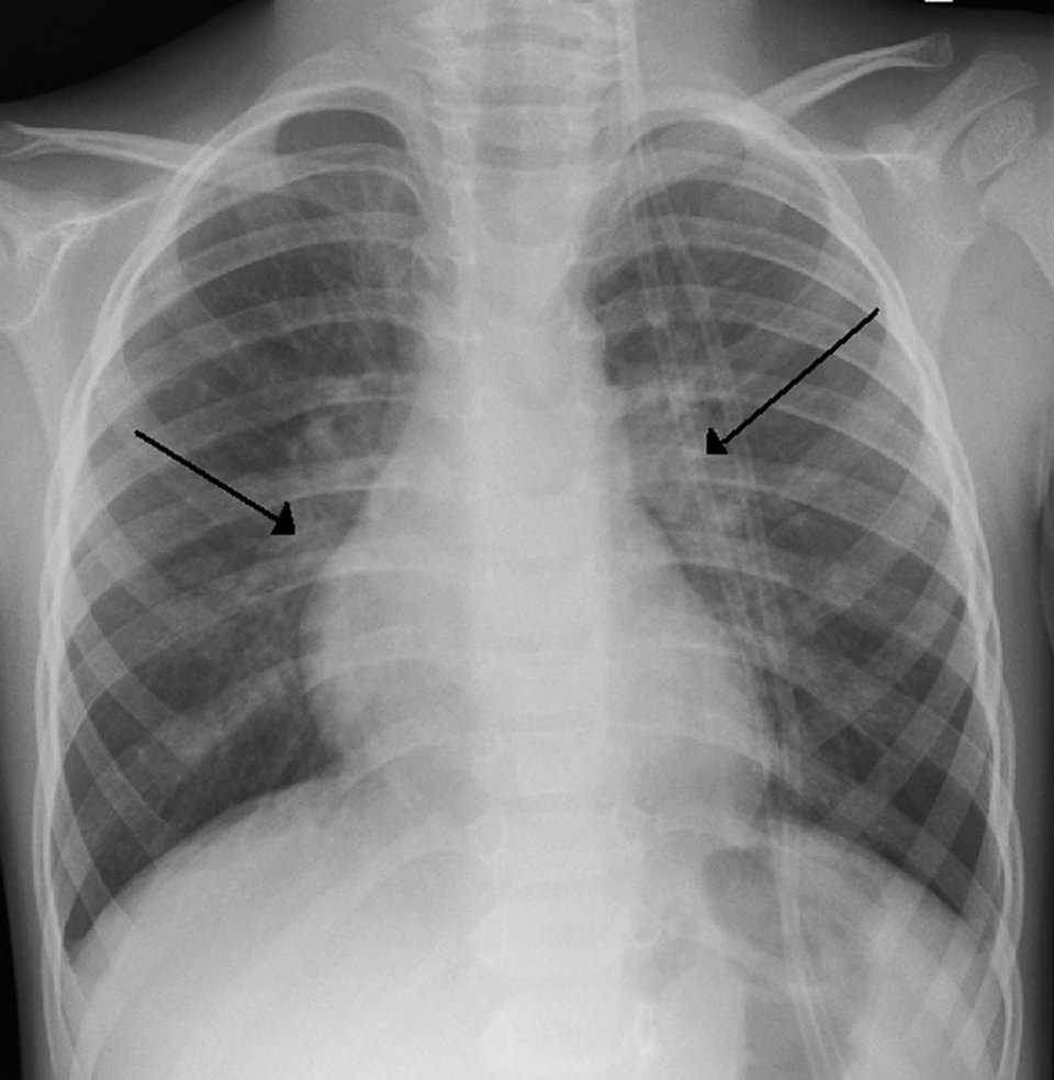
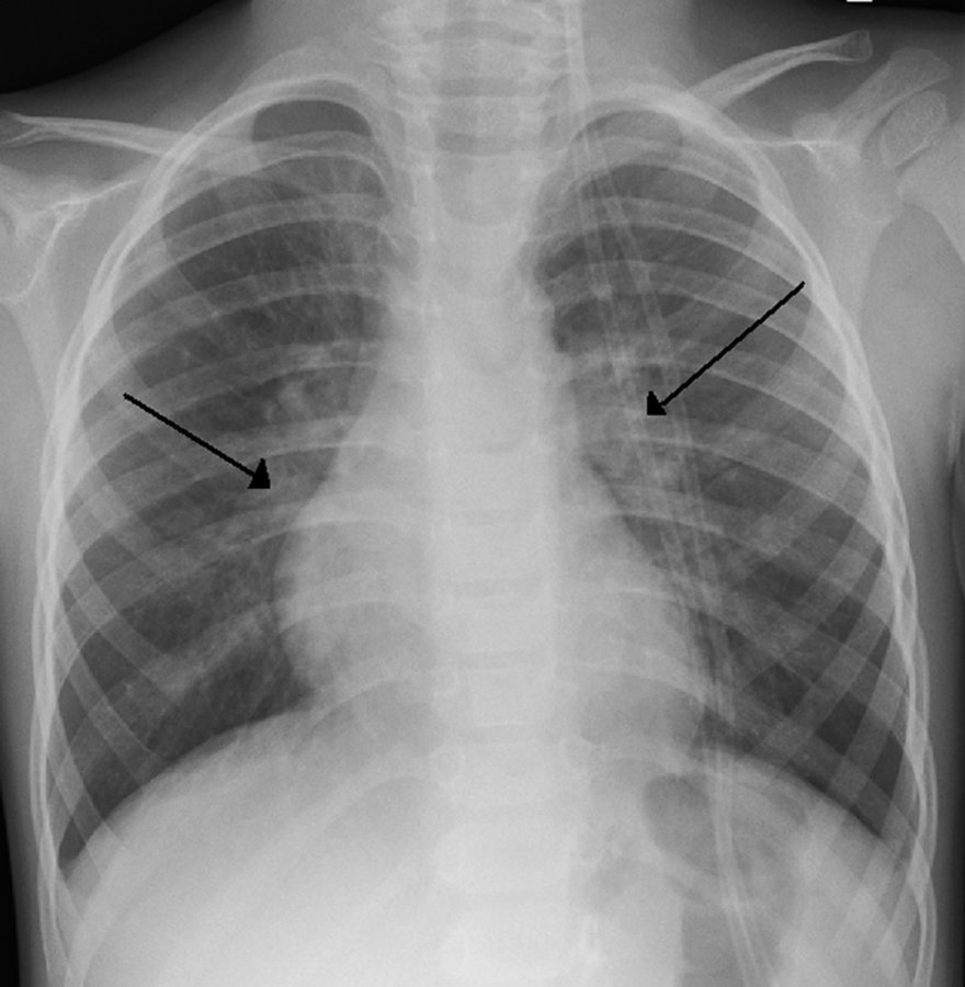
Eine RSV-Infektion lässt sich an der typischen perihilären Zeichnungs­vermehrung (Pfeile) erkennen (links). Hyperplastische Tonsillen mit Fibrinbelägen: Sieht der Rachen so aus, liegt eine EBV-Infektion nahe (rechts). Eine RSV-Infektion lässt sich an der typischen perihilären Zeichnungs­vermehrung (Pfeile) erkennen (links). Hyperplastische Tonsillen mit Fibrinbelägen: Sieht der Rachen so aus, liegt eine EBV-Infektion nahe (rechts). © wikimedia/James Heilman, MD

Die Ursachen einer Atemnot bei Kindern reichen von der Nase bis in die Lungenperipherie. Im Säuglings­alter genügt mitunter bereits eine Rhinitis. Um die Dyspnoe und deren Auslöser zu erkennen, ist vor allem eine gute Beobachtungsgabe gefragt.

Notfälle bei Kindern betreffen oft die Atemwege. Deren relative Enge und häufige respiratorische Infekte prädisponieren dafür. Zu den Anzeichen einer Dyspnoe zählen Nasenflügeln, Kurzatmigkeit, Stridor, Giemen, Knisterrasseln und thorakale Einziehungen. Lippenzyanose, Bewusstseinstrübung und Bradykardie gehören zu den Spätzeichen und weisen auf eine Hypoxämie hin, erklärte Dr. med. Carlos Severien-Labayru, Klinik für Kinder- und Jugendmedizin Böblingen.

Größere Kinder sind zwar in der Lage, mitzuteilen, dass sie zu wenig Luft bekommen. Trotzdem lässt sich die Schwere manchmal schlecht einschätzen. Denn die Patienten stützen gerne im Sitzen den Oberkörper ab, um die Atemhilfsmuskulatur zu aktivieren. Eine zentrale Rolle zur Objektivierung spielt deshalb die Pulsoxymetrie: „Jede Praxis, die Kinder behandelt, muss ein solches Gerät haben“, so Dr. Severien-Labayru. Die Therapie richtet sich nach dem vorliegenden Auslöser.

Infektiöse Mononukleose

Entzündete Tonsillen können z.B. bei der infektiösen Mononukleose so geschwollen sein, dass sie die Atemwege blockieren. Diese Kinder leiden vor allem nachts unter Atemnot. Ein Kortisonbolus reicht meistens, um die Schwellung soweit zu beheben, dass die kleinen Patienten nachts besser Luft bekommen.

Pseudokrupp und bakterielle Laryngotracheobronchitis

„Die Diagnose Pseudokrupp kann man oft schon am Telefon stellen, wenn man den bellenden Husten hört“, sagte der Kollege. Fenster öffnen und Einatmen kühler feuchter Luft (Tipp: Kaltwasserhahn der Dusche aufdrehen) schaffen schon Erleichterung. Dazu kommt die Gabe von 100 mg Prednison rektal und bei Bedarf Adrenalin (Dosierung pro 2 ml = 10 Hübe) über den Maskenvernebler.

Eine bakterielle Laryngotracheobronchitis erinnert klinisch an den Pseudokrupp, bessert sich jedoch nicht nach Adrenalin-Gabe. In diesem Fall wirkt nur ein Antibiotikum, das S. aureus abdeckt.

Akute Epiglottitis

Die akute Epiglottitis mit hohem Fieber, röchelnder Atmung, Schluckbeschwerden und Dyspnoe ist zwar selten geworden, kommt aber bei nicht gegen Hämophilus B geimpften Kindern immer noch vor. „Wenn Sie das vermuten, fordern Sie sofort einen Krankenwagen an und begleiten das Kind in die Klinik“, appellierte Dr. Severien-Labayru. Halten Sie zudem die Maskenbeatmung bereit und achten Sie darauf, dass der Patient im Sitzen transportiert wird. Ganz wichtig: Verzichten Sie auf jegliche Interventionen! Also keine Racheninspektion mit dem Spatel durchführen, denn der geschwollene Kehldeckel würde bei Berührung sofort anfangen zu bluten.

Fremdkörperaspiration

Eine Fremdkörperaspiration kann sich primär mit Atemnot äußern, ohne dass die Ursache sofort klar ist. Mitunter zieht sich die Dyspnoe sogar über Wochen. Denn nicht immer haben die Eltern beobachtet, dass sich das Kind irgendetwas in den Mund gesteckt hat.

Besonders kritisch sind organische Fremdkörper wie Erbsen, Erdnüsse, Kaffeebohnen oder Maiskörner, da sie in den Atemwegen aufquellen. Steckt ein nicht röntgendichter Fremdkörper in der Trachea, zeigt die Bildgebung eine seitengleiche Belüftung beider Lungen. Bei entsprechendem Verdacht eignet sich vielmehr eine starre Bronchoskopie.

Obstruktive Bronchitis, RSV-Infektion und Pneumonie

Bei der obstruktiven Bronchitis ist es wichtig, Patienten mit einem hohen Risiko für Verschlechterung zu erfassen. Das sind Kinder

  • mit einer Sauerstoffsättigung von < 90 % in Ruhe,
  • mit Atelektasen, Überblähung oder Infiltraten im Röntgen,
  • mit positivem RSV-Antigen oder
  • ehemalige Frühgeborene mit bronchopulmonaler Dysplasie.

Ein besonderes Problem bei Neugeborenen stellen RSV-Infektionen dar. Die Kinder können plötzlich durch Apnoe zyanotisch werden (Zyanoseattacken). Geklärt wird die Diagnose mittels Nasopharyngealsekret und Antigen-Schnelltest.

Pneumonien entwickeln sich teils extrem schnell. Meist begleitet von hohem Fieber und Atemnot. Eine rasche Antibiose kann Leben retten.

Asthmaanfall

Was die obstruktive Bronchitis für den Säugling ist, ist der Asthmaanfall für ältere Kinder. Abhilfe schaffen 100 mg Prednison rektal bzw. 1–2 mg/kg KG oral oder i.v. und eine Salbutamol-Inhalationslösung über einen Düsenvernebler. Falls das Kind so schwere Atemnot hat, dass es nicht mehr inhaliert, können unter Monitorkontrolle 5 mg/kg KG Theophyllin langsam über 20 Minuten i.v. verabreicht werden.

Je jünger ein Kind mit Atemnot ist, desto eher sollte man es einweisen, wenn sich die Ursache nicht rasch beheben oder klären lässt, erinnerte Dr. Severien-Labayru. Bei einer Sauerstoffsättigung < 90 % heißt es ohnehin: Ab in die Klinik!

Eine RSV-Infektion lässt sich an der typischen perihilären Zeichnungs­vermehrung (Pfeile) erkennen. Eine RSV-Infektion lässt sich an der typischen perihilären Zeichnungs­vermehrung (Pfeile) erkennen. © wikimedia/James Heilman, MD
Hyperplastische Tonsillen mit Fibrinbelägen: Sieht der Rachen so aus, liegt eine EBV-Infektion nahe. Hyperplastische Tonsillen mit Fibrinbelägen: Sieht der Rachen so aus, liegt eine EBV-Infektion nahe. © wikimedia/James Heilman, MD