Im Rahmen unserer Website-Modernisierung arbeiten wir kontinuierlich daran, Ihnen noch bessere und aktuellere Informationen zu bieten. Diese Seite wird in Kürze mit frischen Inhalten und einem zeitgemäßen Design überarbeitet.

Pneumonie

Definition

Unter einer Pneumonie versteht man eine akute oder chronische Entzündung der Lunge, die den Alveolarraum und/oder das Interstitium erfasst. Sie wird meist Infektionen (Viren, Bakterien, Pilze, Parasiten) oder seltener auch durch physikalische (Strahlen, bronchiale Fremdkörper) oder chemische (z.B. Reizgase, Aspiration von Magensaft) Noxen verursacht. Auch Zirkulationsstörungen können Ursache einer Pneumonie sein (z.B. Infarktpneumonie, Stauungspneumonie).

Pneumonie sind in den Industrienationen die häufigsten zum Tode führenden Infektionserkrankungen und stehen weltweit in der Todesursachenstatistik auf Platz vier.

Aufgrund unterschiedlicher zu erwartender Keimspektren werden die Pneumonien infektiöser Genese wie folgt eingeteilt:

Ambulant erworbene Pneumonien (community-aquired pneumonia - CAP)

  • häufigster Erreger Streptococcus pneumoniae (40-50%)
  • jeweils 5-10% Haemophilus influenzae, Mycoplasma pneumoniae, Enterobacteriacae, respiratorische Viren (RS-Viren, Influenza- und Adenoviren)
  • seltene Erreger (< 5%): Legionella spp. Staphylococcus aureus, Chlamydia pneumoniae
  • in ca. 20- 25% bleibt der Erreger ungeklärt

Sonderformen (z.T. mit anderem Keimspektrum):

  • Pneumonien bei Bewohnern von Senioreneinrichtungen (NHAP für nursing home–acquired pneumonia)
  • Aspirations und Retentionspneumonien
  • Pneumonien in Zusammenhang mit Fernreisen
  • Pneumonien in Zusammenhang mit Epidemien (z.B. Influenza) oder Ausbrüchen (z.B. Legionellen)

Im Krankenhaus erworbene (nosokomniale) Pneumonien (hospital-aquired pneumonia – HAP)

  • Pneumonien, die frühestens 48 Stunden nach Krankenhausaufnahme oder aber 3 Monate nach Krankenhausaufenthalt auftreten
  • Ausgangspunkt ist meist die oropharyngeale Flora (Mikroaspiration)
  • ab 4.-5. Krankenhaustag oft Besiedlung des Oropharynx mit gramnegativen Darmbakterien

Risikofaktoren für multiresistente Erreger:

  • Antimikrobielle Vortherapie
  • Hospitalisierung > 4 Tage
  • Invasive Beatmung > 4 Tage
  • Aufenthalt auf der Intensivstation
  • Malnutrition
  • Strukturelle Lungenerkrankung
  • Bekannte Kolonisation durch multiresistente Erreger
  • Aufnahme aus Langzeitpflegeeinrichtungen
  • chronische Dialyse
  • Tracheostomaträger
  • offene Hautwunden

ICD10-Code: J10.0, J11.0, J12-J18

Mehr zum Thema

Der MERS*-Ausbruch in Südkorea mit 180 Infizierten und 36 Todesfällen hat Ärzte und Patienten aufgeschreckt. Drohen derartige Exazerbationen auch…

mehr

In Rachen, Hals oder Nase entfalten Heilöle positive Wirkungen. Das ändert sich jedoch schnell, wenn die Inhaltsstoffe bis in die Lunge vordringen. Im…

mehr
Anzeige
Symptomatik

Atemwegssymptome 

  • Husten mit/ohne Auswurf
  • Dyspnoe
  • atemabhängige thorakale Schmerzen 

Allgemeinsymptome

  • Fieber oder Hypothermie
  • allgemeines Krankheitsgefühl („malaise“)
  • Myalgien, Arthralgien, Cephalgien, Palpitationen, Kreislaufbeschwerden, Diarrhoen

Neurologische Symptome

  • Desorientiertheit (confusion), insbesondere bei älteren Patienten 

Während die typische Pneumokokken-Pneumonie oft plötzlich mit Schüttelfrost und hohem Fieber einsetzt, beginnen sogenannte „atypische“ Pneumonien (z.B. durch Chlamydien, Mykoplasmen, Legionellen) oft langsam mit nur leichtem Fieber und trockenem Reizhusten ohne Auswurf.

Die beschriebenen Symptome sind nicht spezifisch für die Abgrenzung einer Pneumonie von anderen unteren Atemwegsinfektionen. Alte Menschen zeigen bei Pneumonie oft nur eine atypische monosymptomatische Klinik.

Komplikationen:

  • septische Streuung der Erreger
  • Pleuritis und Pleuraergüsse
  • Lungenabszess
  • Herz-Kreislaufversagen
  • Verschlechterung einer Herzinsuffizienz
  • Respiratorische Insuffizienz
  • Thromboembolische Komplikationen (wegen Bettruhe)
  • reaktive Beteiligung von Leber und Niere
Mehr zum Thema

Eine Infektion mit Mykoplasmen im Kindes- und Jugendalter manifestiert sich durchaus auch extrapulmonal – mit fulminanten Verläufen. Daher sollte man…

mehr
Anzeige
Untersuchung
  • Dyspnoe mit erhöhter Atemfrequenz (Inspektion)
  • Tachykardie (Puls)
  • ggf. arterielle Hypotonie
  • ggf. abgeschwächter Klopfschall über dem Thorax bei Infiltrationen und/oder einem parapneumonischen Pleuraerguss (Perkussion)
  • inspiratorische Rasselgeräusche bzw. Bronchialatmen (Auskultation)

Der CRB-65-Score dient zur Abschätzung der Notwendigkeit einer intensivierten Antibiotikatherapie und Hospitalisierung.

  1. Atemfrequenz ≥ 30/min
  2. diastolischer Blutdruck ≤ 60 mm Hg oder systolischer Blutdruck < 90 mmHg
  3. Bewusstseinstrübung
  4. Alter ≥ 65 Jahre

Bei einem Score von 0 liegt das Letalitätsrisiko von ambulanten und stationären Patienten bei 0%, bei einem Score von 1-2 steigt es auf 6% und bei 3-4 auf 23%.

Mehr zum Thema

Vier einfache Tests bei der klinischen Untersuchung erleichtern es dem Hausarzt, eine Lungenentzündung zu identifizieren.

mehr

Gerade einmal 3 % der Patienten mit möglicher­weise ambulant erworbener Pneumonie werden nach dem Hausarztbesuch geröntgt – zu wenig! Um wirklich…

mehr

In der ambulanten Notfalldiagnostik dürfte die Thoraxsonographie bald zum Standardprozedere gehören. Doch auch in der Hausarztpraxis leistet das…

mehr

Die ambulant erworbene Pneumonie ist meist kein Fall für die Bildgebung. Bestehen jedoch Zweifel an der Diagnose, sollte man auf die…

mehr

Eine Smartphone-App, die – ganz ohne Arztkontakt – eine Lungenentzündung von einem eher harmlosen Husten unterscheidet. So etwas kommt in der…

mehr

Pneumonie

Besteht bei einem Patienten mit angeborener bzw. erworbener Immunschwäche der Verdacht, er könnte sich eine Pneumonie zugezogen haben, sollte man ihn…

mehr

Pneumonieverdacht

Die diagnostische Aussagekraft der CT ist kaum zu überbieten, wenn eine Lungenentzündung vermutet wird. Das Verfahren bietet sich im Alltag jedoch…

mehr
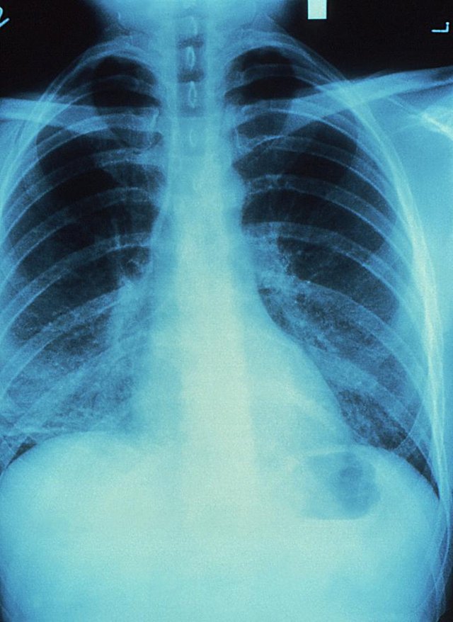
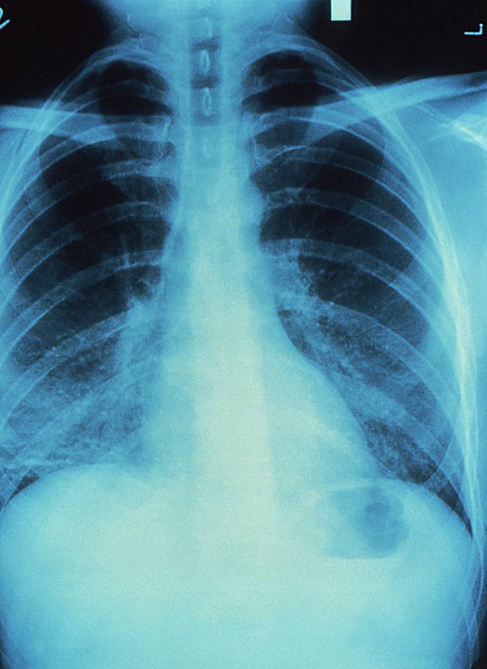
Bildgebung
© CDC/ Jonathan W.M. Gold. M.D.
© CDC/ Dr. Thomas Hooten
Labor
  • Blutbild (oft Leukozytose mit Linksverschiebung, z.T. auch Leukopenie)
  • Entzündungsparameter (BSG und CRP erhöht)
  • Procalcitonin (bei Verdacht auf pneumogene Sepsis, Erhöhung spricht für bakterielle Infektion)
  • Blutgasanalyse
  • Pulsoximetrie

Die Laborveränderungen sind nicht spezifisch für eine Pneumonie.

Erregersuche:

Eine Erregersuche wird nur bei hospitalisierten Patienten empfohlen. Die Probengewinnung (Sputum, Bronchiallavage, evtl. Pleuraerguss) sollte vor Beginn der Antibiotikatherapie erfolgen. Bei allen hospitalisierten Patienten sollte außerdem eine Blutkultur abgenommen werden.

Pilzdiagnostik:

  •  nur bei HAP mit definiertem Immundefizit
  • Aspergillusdiagnostik evtl auch bei bei HAP ohne Immundefizit (z.B. bei strukturellen Lungenerkrankungen, rheumatischen Erkrankungen, Leberzirrhose, Hinweisen im Hirn-CT)

Bildgebung:

Standarduntersuchung bei Verdacht auf Pneumonie ist die Röntgenthoraxaufnahme:

  • Nachweis eines neu aufgetretenen Infiltrats
  • Erfassen von Befundausdehnung
  • Erfassen von Begleiterkrankungen (z.B. Herzinsuffizienz) und Komplikationen (Pleuraerguss, Lungenabszess)
  • Hilfestellung bei differenzialdiagnostischen Überlegungen

Thorakaler Ultraschall:

  • Nur wenn Röntgenaufnahmen nicht zeitnah zur Verfügung steht, kann Thoraxröntgen nicht ersetzen
Mehr zum Thema

Sommerzeit ist Legionellosezeit – und die Inzidenz steigt jedes Jahr an. Offenbar stark unterschätzt werden die Erreger als Auslöser von…

mehr
Anzeige
Differenzialdiagnostik

Differenzialdiagnosen bei pneumonischen Infiltraten:

  • Lungentuberkulose
  • Lungenmykosen
  • Lungenkarzinom
  • Fremdkörperaspiration
  • Infarktpneumonie nach Lungenembolie
  • Sarkoidose
  • exogen-allergische Alveolitis
  • chronische eosinophile Pneumonie
  • allergische bronchopulmonale Aspergillose
  • Bronchiolitis obliterans
Mehr zum Thema

Patienten mit Mykoplasmen-Pneumonie entwickeln nicht selten erosive Haut- und Schleimhautläsionen, die relativ charakteristisch für die Infektion…

mehr

Nur bei 30–40 % der hospitalisierten Patienten gelingt es, die Erreger einer Pneumonie überhaupt nachzuweisen. Und manchmal findet sich sogar ein…

mehr

Früher galt die Pneumocystis-jirovecii-Pneumonie als Marker-Erkrankung für die fortgeschrittene HIV-Infektion. In den letzten Jahren trifft sie aber…

mehr

Atypische Neuroleptika können das Leben von älteren Patienten mit Pneumonie verkürzen.

mehr

Bei älteren Patienten mit rezidivierenden Pneumonien sollten Sie unbedingt nach Schluckstörungen fahnden. Dabei helfen schon einfache…

mehr

Virale Atemwegsinfekte und Pneumonien beeinträchtigen das Herz-Kreislauf-System auf unterschiedliche Weise. Bei der Influenza sind kardiovaskuläre…

mehr

Als der Röntgenthorax eines 33-Jährigen Hohlraumbildungen in den oberen Lungenlappen zeigt, scheint die Diagnose eindeutig: Tuberkulose. Doch die…

mehr
Pharmakotherapie und nichtinvasive Therapie

Jüngere Patienten (< 65 Jahren) mit CAP und klinisch gutem Allgemeinzustand, fehlenden Begleiterkrankungen und ohne Komplikationen können ambulant behandelt werden. Alle anderen Patienten sollte zumindest initial stationär aufgenommen werden.

Ambulant erworbene Pneumonie:

Die Therapie besteht in einer sofortigen initialen kalkulierten Antibiotikatherapie. Bei der Auswahl des Antibiotikums richtet man sich nach einer dreiklassigen Risikostratefizierung:

Leichte Pneumonie:  CRB-65 = 0, normale oder kompensierte Oxygenierung (O2-Sättigung minimal 90%), keine dekompensierte Komorbidität

Mittelschwere Pneumonie: weder leicht noch schwer

Schwere Pneumonie: akute respiratorische Insuffizienz und/oder schwere Sepsis bzw. septischer Schock und/oder dekompensierte Komorbidität, Letalität bis zu 30%

Leichte Pneumonie ohne Komorbiditäten:

  •  Mittel der Wahl Amoxicillin
  •  bei Penicillinallergie oder -unverträglichkeit Fluorochinolon (Moxifloxacin oder Levofloxacin)
  • Makrolide (Clarithromycin und Azithromycin) und Doxycyclin als mögliche Alternativen (aber ca. 10% Resistenzen gegenüber Pneumokokken)
  • Ciprofloxacin als Monotherapeutikum ist kontraindiziert (schlechte Pneumokokkenwirksamkeit)

Leichtgradige Pneumonien, mit definierter Komorbidität (z.B. chronische Herzinsuffizienz, ZNS-Erkrankungen mit Schluckstörungen, COPD, Bettlägerigkeit und PEG-Sonde)

  • Aminopenicillin mit Betalactamaseinhibitor (BLI), z.B. Amoxicillin/Clavulansäure
  • bei Penicillinallergie oder -unverträglichkeit (oder Verdacht auf Legionellen) Fluorochinolon (Moxifloxacin oder Levofloxacin)
  • bei schwerer COPD und/oder Bronchiektasen antipseudomanale Therapie (Amoxicillin plus Ciprofloxacin, alternativ Levofloxacin)

Mittelschwere Pneumonien

  • Aminopenicillin mit BLI oder Cephalosporine der Generation 2 und 3a ( initial in der Regel intravenös)
  • bei Penicillinallergie oder -unverträglichkeit Fluorochinolon (Moxifloxacin oder Levofloxacin, auch oral möglich)
  • evtl. ß-Laktam-Makrolid-Kombination (individuelle Entscheidung)
  • in der Regel Hospitalisierung

Schwere Pneumonie

  • Hospitalisierung (intensivierte Überwachung oder Intensivstation)
  • Antibiotikagabe immer intravenös
  • Piperacillin/Tazobactam oder Cephalosporine (Ceftriaxon oder Cefotaxim) plus drei Tage Makrolid
  • alternativ Moxifloxacin oder Levofloxacin (Monotherapie nicht bei septischem Schock)

Im Krankenhaus erworbene Pneumonien (HAP)

Auch bei HAP wird mit einer kalkulierten antimikrobiellen Therapie begonnen, bis die Ergebnisse der Erreger- und Resistenzbestimmung vorliegen.

Patienten ohne erhöhtes Risiko für multiresistente Erreger:

  • Aminopenicillin mit Betalactamaseinhibitor (z.B. Ampicillin/Sulbactam, Amocxicillin Clavulansäure)
  • Cephalosporin (Ceftriaxon, Cefotaxim)
  • Carbapenem (Ertapenem)
  • Fluorchinolon (Moxifloxacin, Levofloxacin)

Patienten mit erhöhtem Risiko für multiresistente Keime:

  • Pseudomonos-wirksames Betalactam (z.B. Piperacillin/Tazobactam, Cefepim, Ceflazidin, Imipenem/Cilsatin, Menopenem, Doripenem) plus Fluorchinolon (Ciprofloxacin, Levofloxacin)
  •  Aminoglycosid (Gentamycin, Tobramycin, Amicain)
  • bei Verdacht auf MRSA plus Vancomycin oder Linezolid

Nicht-medikamentöse Therapie

  • Körperliche Schonung (bei Fieber evtl. Bettruhe)
  • bei Bettruhe Thromboseprophylaxe
  • bei klinischer Besserung möglichst frühe Mobilisierung
  • ausreichende Flüssigkeitszufuhr (erhöhte Verluste bei Fieber berücksichtigen)
  • Atemgymnastik, Inhalationstherapie (NaCl)
  • Bei Hypoxie Sauerstoff per Nasensonde, bei unzureichender Oxygenierung nicht-invasive Beatmung mit positivem expiratorischem Druck

 

 

 

Mehr zum Thema

Was kann man einem Patienten mit schwerer Pneumonie noch Gutes tun, außer Antibiotika zu verordnen? Kortison bringt wohl nichts, doch Immunglobuline…

mehr

Fieber, Husten, Schmerzen, dazu erhöhte Procalcitonin- und CRP-Werte: Das spricht für eine Lungenentzündung. Doch auf die beiden Laborparameter ist…

mehr

Die primäre Behandlung einer pädiatrischen ambulant erworbenen Pneumonie startet in der Regel, bevor der Erreger bekannt ist. Wie lange aber sollte…

mehr

Ambulant erworbene Pneumonien sind nicht zu unterschätzen. Schwere Verläufe mit substanzieller Mortalität kommen vor. Anhand von Kasuistiken…

mehr

Patienten mit schwerem Verlauf einer pulmonalen Infektion adjuvant Kortikosteroide zu geben, kann durchaus sinnvoll sein. Dies wird aktuell bei den…

mehr

Pneumoniepatienten dürfen Sie nicht aus den Augen lassen, auch wenn die Lunge ausgeheilt ist. Denn das kardiovaskuläre Risiko bleibt über Jahre…

mehr

Antibiotikatherapie

Die Therapie der ambulant erworbenen Pneumonie könnte besser laufen. Probleme machen die Heerscharen angeblicher Penicillinallergiker und die Anhänger…

mehr

Ambulant erworbene Pneumonie

Ambulant erworbene Pneumonien radieren binnen zwölf Monaten quasi eine ganze Kleinstadt von der Landkarte. Bei hierzulande mehr als 30.000 Todesopfern…

mehr
Prävention

Durch eine Impfung gegen Pneumokokken lässt sich das Risiko für invasive Pneumokokkeninfektionen reduzieren. Empfohlen wird die Impfung für:

  • Alle Personen ab 60 Jahre
  • Patienten mit angeborenen oder erworbenen Immundefekten
  • Bei chronischen Erkrankungen wie Asthma, COPD, Diabetes

Auch durch eine regelmäßige Influenza-Impfung lässt sich das Risiko für eine Grippe-assoziierte Pneumonie reduzieren.

Eine weitere wichtige präventive Maßnahme (insbesondere zur Vermeidung von Infektionen im Krankenhaus) ist die strikte Einhaltung von Hygienevorschriften.

Mehr zum Thema

Seit Monaten kursieren Erkältungen und viele Patienten wollen sich mit den gehäuften Erkrankungen nicht einfach abfinden. Sie fragen deshalb nach…

mehr

Viele Patienten entwickeln nach einem Oberbaucheingriff pulmonale Komplikationen, die nicht selten einen tödlichen Verlauf nehmen. Ein präoperatives…

mehr

Ob nikotinhaltig oder nikotinfrei, E-Zigaretten scheinen ähnlich gefährlich zu sein wie konventionelle Kippen – zumindest bezüglich des…

mehr
Folgeerkrankung
Mehr zum Thema

Bei Pneumokokken-Infektionen kommt es wieder häufiger zu Bakteriämien. Ein Grund ist neben vermehrten Resistenzen die Zunahme immunsupprimierter…

mehr

Pneumonie

Behalten Sie Ihre Pneumoniepatienten im Auge: Noch zehn Jahre nach einer ambulant erworbenen Lungenentzündung ist das kardiovaskuläre Risiko…

mehr
Leitlinien

Deutsche Gesellschaft für Anästhesiologie und Intensivmedizin, Deutsche Gesellschaft für Infektiologie, Deutsche Gesellschaft für Hygiene und Mikrobiologie, Deutsche Gesellschaft für Pneumologie und Beatmungsmedizin, Paul-Ehrlich-Gesellschaft für Chemotherapie:
Epidemiologie, Diagnostik und Therapie erwachsener Patienten mit nosokomialer Pneumonie

Deutsche Gesellschaft für Pneumologie und Beatmungsmedizin (DGP), Deutsche Gesellschaft für Infektiologie (DGI), Paul-Ehrlich-Gesellschaft für Chemotherapie e.V. (PEG):
Pneumonie, ambulant erworben, Behandlung und Prävention von erwachsenen Patienten

Gesellschaft für Pädiatrische Radiologie (GPR):
Atemwegserkrankung - Bildgebende Diagnostik

Herold G et al.: Innere Medizin 2017. Eigenverlag, Köln 2017.

Mehr zum Thema

Kriterien zur Risikoeinschätzung, Wahrscheinlichkeit für Resistenzen und Nachsorgeempfehlungen - ein Überblick über die wichtigsten Änderungen in der…

mehr

Pneumonie

Obwohl in der Diagnostik und Therapie der ambulant erworbenen Pneumonien deutliche Fortschritte zu verzeichnen sind, bleibt die Letalität auf einem…

mehr
Kasuistik
Mehr zum Thema

Erst eine Pneumonie und dann das: hämorrhagische Exantheme mit Blutblasen. Der Patient zeigt also das typische Bild einer Vaskulitis. In der Klinik…

mehr

Eosinophile Pneumonie

Nicht schlecht staunten die Ärzte in der Kopenhagener Pneumologie, als sie die Lunge ihrer Patientin inspizierten: Fleischähnliche Schleimpfropfen…

mehr

Zoonosen

Zoonotische Erreger der Gattung Chlamydia können beim Menschen lebensgefährliche Pneumonien hervorrufen. Die Frage „Hatten Sie Kontakt mit Tieren?“…

mehr
Forschung
Mehr zum Thema

Ferndiagnose ohne Ansteckungsgefahr: Einfach ins Smartphone husten, ein paar Daten eingeben, und schon steht die Diagnose Pneumonie. Ein australischer…

mehr

Unnötige Antibiotika-Rezepte vermeiden

Angesichts weltweiter Resistenzprobleme sollten möglichst nur die Patienten mit Atemwegs­infekt Antibiotika erhalten, die sie auch wirklich benötigen.…

mehr
Abrechnung

Verschenken Sie kein Honorar: Das „Gebühren-Handbuch digital“ ist die ideale Weiterentwicklung der Printausgabe des bekannten „Medical Tribune Gebühren-Handbuchs“ - statt 2000 Buchseiten der schnelle digitale Zugriff.

Was Ihnen die Abrechnung leichter macht:

  • die immer aktuelle Fassung von EBM und GOÄ (Einheitlicher Bewertungsmaßstab und Gebührenordnung für Ärzte)
  • Tipps und Experten-Kommentare zur Honorarabrechnung (EBM/GOÄ), graphisch aufbereitet und leicht verständlich
  • Kommentare von Kollegen lesen und selbst kommentieren
  • persönliche Notizen und Lesezeichen setzen

Zum Gebühren-Handbuch digital »

Fortbildungen

Keine Fortbildung für diesen Fachbereich gefunden

Alle Fortbildungen




Diese Informationen dienen ausschließlich der Aus- und Weiterbildung von Angehörigen und Studenten der medizinischen Fachkreise (z.B. Ärzte) und enthalten nur allgemeine Hinweise. Sie dürfen nicht zur Selbstdiagnose oder -behandlung verwendet werden und sind kein Ersatz für eine ärztliche Beratung oder Behandlung. Die jeweiligen Autoren haben die Inhalte nach bestem Wissen gepflegt. Dennoch sollten Sie die Informationen stets kritisch prüfen und mit zusätzlichen Quellen vergleichen. Die Autoren und die Betreiber von medical-tribune.de übernehmen keine Haftung für Schäden, die durch nicht-kontrollierte Anwendung von Empfehlungen und Inhalten entstehen. Beiträge, die Angaben zum Einsatz und zur Dosierung von Medikamenten machen, sind die persönliche Einschätzung der Autoren. Sie ersetzen nicht die Empfehlungen des Herstellers oder des behandelnden Arztes oder Apothekers.