Skalpell ja oder nein?

Auch bei Jüngeren mit Meniskusriss abwarten

Auch jüngere Menschen mit einem Meniskusriss kann man erst mit einer konservativen Strategie behandeln, statt sie direkt zu operieren, Das ergab eine…

Orthopädie

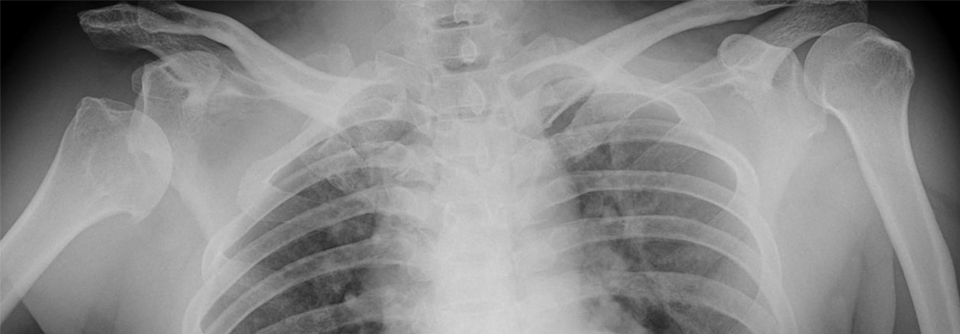
Ausgekugelte Schulter

Keine langwierige Physiotherapie erforderlich

Eine ausgekugelte Schulter wird zunächst meist konservativ behandelt – sofern es sich um die erste Verletzung dieser Art handelt. Ob dabei eine…

Orthopädie

Notfallmedizin

Schulung kann die Gefahr von Rückenverletzungen und Kontaminationen erheblich senken

Notärzte und Rettungssanitäter leben gefährlich. Zu Berufsrisiken wie Ansteckungs- und Verletzungsgefahr kommen solche durch verbale und physische…

Orthopädie

Schwächelnder Bodybuilder

Verdacht auf Anabolikamissbrauch bestätigte sich nicht

Ein junger Bodybuilder suchte am Tag nach einem Wettkampf die Uniklinik auf. Der Grund: eine plötzlich aufgetretene Muskelschwäche in den Beinen und…

Neurologie , Orthopädie

Cauda-equina-Syndrom

Bleibt der spinale Notfall unerkannt, drohen Lähmung und Inkontinenz

Das Cauda-equina-Syndrom ist ein spinaler Notfall­. Es kann schwere Behinderungen wie Beinlähmungen oder eingeschränkte Blasen- bzw. Darmkontrolle…

Orthopädie

MRT bei Hüftschmerzen

Bildgebung bleibt bei jungen Sportlern mitunter ohne Konsequenz

Bei jungen Leistungssportlern mit Schmerzen in der Hüfte gibt ein MRT nicht unbedingt Auskunft darüber, ob sich womöglich eine Arthrose anbahnt. Denn…

Orthopädie

Schulter-TEP

Die Endoprothetik hat große Fortschritte gemacht

Bei bis zu 90 % aller Patienten befällt die rheumatoide Arthritis auch das Schultergelenk. Dank moderner Therapeutika nimmt die Zerstörung kaum noch…

Orthopädie , Rheumatologie