Muskel-Skelett-System

Karpaltunnelsyndrom und Tennisellenbogen als kardiovaskuläre Risikomarker

Wer an einer muskuloskeletalen Erkrankung wie Karpaltunnelsyndrom, Tennisellenbogen, Golferarm oder Rotatorenmanschetten-Tendinitis leidet, hat…

Kardiologie , Orthopädie

Kompressionssyndrom

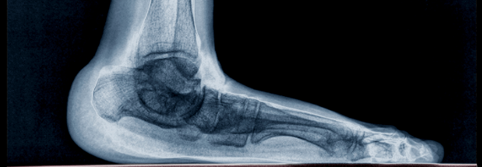
Wenn es eng wird im Tarsaltunnel

Das hintere Tarsaltunnelsyndrom äußert sich durch Schmerzen und Missempfindungen im Bereich des Innenknöchels, die in Ferse, Fußsohle und Zehen…

Orthopädie

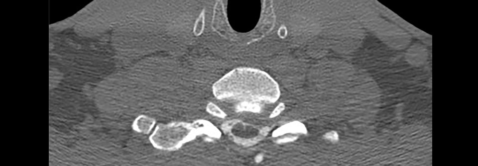
Zervikale Diskusläsion

Hinweise auf die Genese in der Bildgebung oft eindeutig zu erkennen

Meist stecken hinter einer zervikalen Diskusverletzung degenerative Prozesse. Wer rechtsmedizinisch beurteilen muss, ob es sich um eine unfallbedingte…

Orthopädie

Schulterschmerz schnell abklären

Was hinter Beschwerden rund um das Gelenk stecken kann

Schmerzen im Schulterbereich gehören zu den häufigen Klagen in der Hausarztpraxis. Die Ursachen reichen von Sehnenverletzungen über degenerative…

Orthopädie , Palliativmedizin und Schmerzmedizin

Pes planus

Gesunde Plattfüße in Ruhe lassen

Jahrzehntelang wurden Plattfüße überbewertet und übertherapiert. Denn für die Hypothese, dass ein Plattfuß die Verletzungsgefahr erhöht, gibt es…

Orthopädie

Patellofemorale Schmerzen

Krafttraining für Knie und Oberschenkel

Die bisherigen Daten sprechen dafür, dass ein Krafttraining patellofemorale Schmerzen lindert. Unklar war jedoch, ob eher die Muskulatur von Knie oder…

Palliativmedizin und Schmerzmedizin , Orthopädie

Nervus peroneus

Prominenter Kopf macht Druck

Vom Knie bis in den Fußrücken ausstrahlende Schmerzen und später ein Steppergang: Damit macht sich ein komprimierter N. peroneus communis bemerkbar.…

Orthopädie , Neurologie