Im Rahmen unserer Website-Modernisierung arbeiten wir kontinuierlich daran, Ihnen noch bessere und aktuellere Informationen zu bieten. Diese Seite wird in Kürze mit frischen Inhalten und einem zeitgemäßen Design überarbeitet.

Subarachnoidalblutung

Definition

Bei der Subarachnoidalblutung (SAB) handelt es sich um eine Einblutung in den liquorgefüllten Subarachnoidalraum, was zum Anstieg des intrakraniellen Drucks führt.

Die Blutung kann als Folge eines Schädel-Hirn-Traumas (traumatisch) auftreten oder atraumatische Ursachen haben.

Nicht-traumatische SAB:

Etwa 5 % aller Schlaganfälle beruhen auf einer nicht traumatischen („spontanen“) SAB. In Mitteleuropa und den USA beträgt die jährliche Inzidenz etwa 6–9 auf 100.000 Personen. Patienten mit einer spontanen SAB mit einem mittleren Lebensalter von 50 Jahren relativ jung und die Letalität und Morbidität ist hoch (30-Tage-Letalität ca. 35 %).

Blutung aus Aneurysma der Hirnarterien

  • häufigste Ursache der nicht-traumatischen SAB (circa 85 %)
  • Risikofaktoren: Rauchen, arterieller Hypertonus, Alkoholabusus
  • Prädisposition: kongenitale Wandschwäche der Tunica media, erworbene Gefäßveränderungen durch Arteriosklerose oder Entzündungen, genetsiche Erkrankungen wie autosomal-dominante polyzystische Nierenerkrankung, Marfan-Syndrom, Ehlers-Danlos-Syndrom
  • Auslösung ein Drittel durch körperliche Anstrengung, zwei Drittel unter Ruhebedingungen

Lokalisation:

  • A. cerebri anterior/A. communicans anterior (∼40 %)
  • A. carotis interna (∼30 %) 
  • A. cerebri media (∼20 %) 
  • A. basilaris/Aa. vertebrales (∼10 %)

Nicht-aneurysmatische SAB:
(ca. 15 % der nicht-traumatischen SAB)

Ursachen:

  • perimesenzephale SAB (wahrscheinlich venöse Blutungen unbekannter Ätiologie)
  • kortikale SAB (meist umschriebene kleine kortikale Subarachnoidalblutungen)
  • andere Ursachen wie z.B. zerebrale oder durale arteriovenöse Malformation, Dissektion intrazerebraler Gefäße, venöse Thrombose, Kokain

Traumatische SAB

  • Bei etwa 40 % aller schweren Schädel-Hirn-Traumata
Anzeige
Symptomatik

Akute Leitsymptome:

  • plötzlicher Vernichtungskopfschmerz, der sich über den gesamten Kopf ausbreitet und in den Nacken und Rücken ausstrahlt (binnen weniger Sekunden)
  • vegetative Symptome (Übelkeit, Erbrechen, Schweißausbruch, Störungen der Kreislauffunktion)
  • Bewusstseinsstörungen (somnolent bis komatös – bei 2/3 der Patienten bei Eintreffen im Krankenhaus)
  • Meningismus (Nackensteifigkeit)

Spezifische neurologische Symptome

  • Okulomotoriusparese mit Sehstörungen und Paresen anderer Hirnnerven
  • psychopathologische Auffälligkeiten (hirnorganisches Psychosyndrom)
  • Hemi- oder Tetraparese, Spastik, Aphasie, Neglect
  • selten fokale/generalisierte epileptische Anfälle bei ausgedehnten Blutungen und damit einhergehender Hirnparenchymschädigung

Prodromi:

  • Warnblutung („Warning Leak“) in ca. 25 % der Fälle
  • heftiges Kopfschmerzereignis Tage bis Wochen vor einer Subarachnoidalblutung (oft von Patienten und Ärzten nicht ernstgenommen)

Komplikationen:

  • in der Akutphase entwickeln ca. 25 % der Patienten einen symptomatischen Hydrocephalus
  • Blutabbauprodukte können zu Vasospasmen mit verzögerten ischämischen neurologischen Defiziten führen
  • Natriurese, Hyponatriämie und Hypovolämie (oft im Zusammenhang mit Vasospasmen)
  • epileptische Anfälle
  • evtl. neurogen-extrazerebrale Organfunktionsstörungen vor allem des kardiopulmonalen Systems (z.B. myokardiale Nekrosen, verminderte Herzauswurfleistung und neurogenes Lungenödem)
Anzeige
Untersuchung

Es muss eine vollständige neurologische Untersuchung erfolgen.

Die prognostisch bedeutsame Klassifikation des klinischen Schweregrades erfolgt nach den Skalen von Hunt und Hess oder nach der World Federation of Neurosurgical Societies, (WFNS), die an die Glasgow Coma Scale angelehnt ist. 

Skala nach Hunt und Hess:

1: asymptomatisch oder leichter Kopfschmerz und/oder Meningismus

2: mäßige bis starke Kopfschmerzen, Meningismus, Hirnnervenausfälle möglich

3: Somnolenz und/oder Verwirrtheit und oder leichte fokal-neurologische Ausfälle

4: Sopor, mäßige bis schwere fokal-neurologische Ausfälle, vegetative Störungen

5: Koma, Zeichen der Einklemmung

Labor

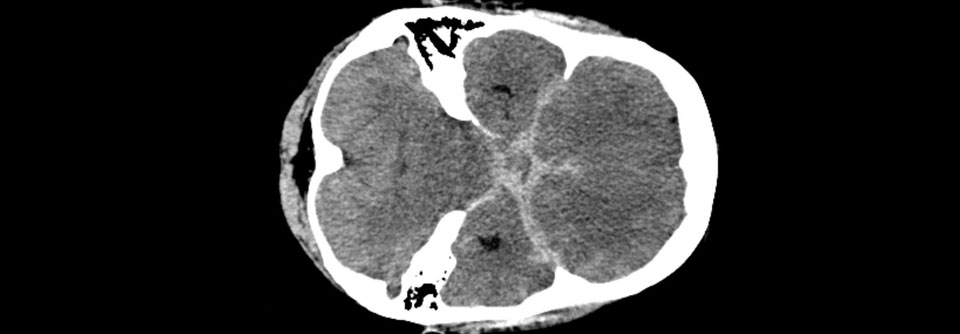
Methode der ersten Wahl bei Verdacht auf eine SAB ist aufgrund der Schnelligkeit und breiten Verfügbarkeit die native craniale Computertomographie (cCT):

  • Nachweis von subarachnoidalem Blut (hyperdens) – insbesondere in basalen Zisternen und Sulci
  • hohe Sensitivität von 95 % bei Akutereignis (bei subakuten Blutungen besser MRT)
  • Nachweis weiterer möglicher Befunde (z.B. andere Blutungen, beginnender Aufstau der Ventrikel, Hirnödem, ischämische Hirninfarkte)

Alternative ist ein MRT, das aber weniger verfügbar ist und einen höheren Zeitaufwand erfordert. Bei subakuten Blutungen ist es überlegen.

Bei unauffälligem CT (oder MRT) sollte eine Lumbalpunktion erfolgen.

  • nicht bei Hirndruckzeichen (Gefahr der Einklemmung)
  • nach einer Wartezeit von 8–12 Stunden ab Kopfschmerzbeginn um eine Xanthochromie (Folge des Hämoglobinabbaus) von einer iatrogenen Blutung (frisches Blut) abzugrenzen

Bei Nachweis einer SAB sollte möglichst früh (innerhalb von 72 Stunden nach Symptombeginn) eine vollständige digitale Substraktionsangiographie (DSA) der Hirnarterien erfolgen.

  • Darstellung der Blutungsquelle
  • Darstellung zusätzlicher inzidenteller Aneurysmen (in 25 % der Fälle)
  • Entscheidung zwischen Coiling und Clipping

Alternativen sind CT- und MRT-Angiographie.

Anzeige
Differenzialdiagnostik

Mögliche Differenzialdiagnosen sind u.a.:

  • andere intrazerebrale Blutung
  • zerebrale Sinus- und Venenthrombose
  • Meningitis
  • primärer Donnerschlagkopfschmerz
Mehr zum Thema

Spontanen Subarachnoidalblutungen liegt fast immer die Ruptur eines bis dahin unerkannten Aneurysmas zugrunde. Die Krux: Viele der betroffenen…

mehr
Pharmakotherapie und nichtinvasive Therapie

Bei allen Patienten mit SAB sollte eine intensivmedizinische Überwachung und Stabilisierung in geeigneten neurovaskulären Zentren erfolgen.

Basismaßnahmen:

  • Bettruhe und Vermeidung von Pressen
  • Vermeidung von Hyperglykämie, Hypoglykämie, Hyponatriämie und Fieber zur Neuroprotektion
  • bis zur Versorgung des Aneurysmas Einstellung eines Ziel-Blutdruck von 60–90 mmHg (mittlerer arterieller Blutdruck) zur Reduktion des Rupturrisikos
  • nach der Aneurysmaversorgung subkutane Thromboseprophylaxe mit niedermolekularen Heparinen

Vermeidung und Behandlung von Komplikationen:

  • Zur Erkennung von Vasospasmen und einer Hypovolämie wird ein Monitoring geeigneter Parameter empfohlen (z.B. tägliche transkranielle Dopplersonografie, Flüssigkeitsbilanz, Blutdruckmonitoring, ggf. Messungen des zentralvenösen Druckes)
  • Anstreben einer Normovolämie, vorzugsweise mittels isotoner Lösungen (Zielwerte: zentralvenöser Druck > 4 mmHg, arterieller Mitteldruck > 70 mmHg oderzerebraler Perfusionsdruck > 60 mmHg)
  • nach aneurysmatischer SAB Nimodipin zur Vermeidung von Vasospasmen
  • bei symptomatischem oder vermutlich symptomatischem Hydrozephalus temporäre oder dauerhafte Liquorableitung, bei chronischem symptomatischem Hydrozephalus ventrikuloperitonealer oder ventrikuloatrialer Shunt
  • ggf. Antiepileptika
Mehr zum Thema

Ausräumen oder nur vorhandene Symptome behandeln? Bei einer intakten arteriovenösen Malformation ist es nicht immer klug, interventionell vorzugehen.…

mehr
Invasive und Interventionelle Therapie

Ausschaltung des Aneurysmas

  • falls Ausschaltung indiziert und möglich, sollte sie innerhalb der ersten 72 Stunden erfolgen (vor Auftreten der Vasospasmen)
  • endovaskuläres Coiling oder chirurgisches Clipping (Entscheidung im interdisziplinären Team), bei Machbarkeit Coiling bevorzugen (wegen besserer Langzeitergebnisse)
Mehr zum Thema

Die Chance, eine akute Subarachnoidalblutung ohne dauerhafte neurologische Schäden zu überleben, ist immer noch relativ gering. Wichtig ist, den…

mehr
Prävention

Beinflussbare Risikofaktoren einer Aneuysmaruptur sind Hypertonie, Rauchen und Alkoholmissbrauch.

Notfallmanagement

Bei allen Patienten mit SAB sollte eine intensivmedizinische Überwachung und Stabilisierung in geeigneten neurovaskulären Zentren erfolgen.

Leitlinien

DGN S1-Leitlinie Subarachnoidalblutung (SAB) (abgelaufen, wird zurzeit bearbeitet)

Forschung
Mehr zum Thema

Subarachnoidalblutungen

Neben Rauchen und Bluthochdruck prädisponieren auch schlaflose Nächte für ein fatales intrakranielles Aneurysma.

mehr
Abrechnung

Verschenken Sie kein Honorar: Das „Gebühren-Handbuch digital“ ist die ideale Weiterentwicklung der Printausgabe des bekannten „Medical Tribune Gebühren-Handbuchs“ - statt 2000 Buchseiten der schnelle digitale Zugriff.

Was Ihnen die Abrechnung leichter macht:

  • die immer aktuelle Fassung von EBM und GOÄ (Einheitlicher Bewertungsmaßstab und Gebührenordnung für Ärzte)
  • Tipps und Experten-Kommentare zur Honorarabrechnung (EBM/GOÄ), graphisch aufbereitet und leicht verständlich
  • Kommentare von Kollegen lesen und selbst kommentieren
  • persönliche Notizen und Lesezeichen setzen

Zum Gebühren-Handbuch digital »

Fortbildungen

Keine Fortbildung für diesen Fachbereich gefunden

Alle Fortbildungen




Diese Informationen dienen ausschließlich der Aus- und Weiterbildung von Angehörigen und Studenten der medizinischen Fachkreise (z.B. Ärzte) und enthalten nur allgemeine Hinweise. Sie dürfen nicht zur Selbstdiagnose oder -behandlung verwendet werden und sind kein Ersatz für eine ärztliche Beratung oder Behandlung. Die jeweiligen Autoren haben die Inhalte nach bestem Wissen gepflegt. Dennoch sollten Sie die Informationen stets kritisch prüfen und mit zusätzlichen Quellen vergleichen. Die Autoren und die Betreiber von medical-tribune.de übernehmen keine Haftung für Schäden, die durch nicht-kontrollierte Anwendung von Empfehlungen und Inhalten entstehen. Beiträge, die Angaben zum Einsatz und zur Dosierung von Medikamenten machen, sind die persönliche Einschätzung der Autoren. Sie ersetzen nicht die Empfehlungen des Herstellers oder des behandelnden Arztes oder Apothekers.