Im Rahmen unserer Website-Modernisierung arbeiten wir kontinuierlich daran, Ihnen noch bessere und aktuellere Informationen zu bieten. Diese Seite wird in Kürze mit frischen Inhalten und einem zeitgemäßen Design überarbeitet.

Diabetische Nephropathie

Definition

Unter dem Begriff der mit Diabetes mellitus assoziierten Nierenerkrankung werden verschiedene Krankheitsbilder zusammengefasst. Sie unterscheiden sich zwar hinsichtlich der Ätiologie und Pathogenese, können aber alle bei unzureichender Behandlung in eine Niereninsuffizienz münden. Die bei der terminalen Nierenschwäche erforderliche Dialyse-Behandlung ist mit erheblichen Nebenwirkungen verbunden und mindert die Lebensqualität der Betroffenen enorm.

ICD10-Code: E10.2, N08.3

Anzeige
Symptomatik

Die diabetische Nephropathie geht mit bzw. Kardinalsymptomen einher:

  • Proteinurie,
  • Hypertonie,
  • Hyperlipidämie und
  • Ödeme (nephrotisches Syndrom).

 

Anzeige
Untersuchung

Diagnostisch steht ein regelmäßiges Screening auf renale Proteinausscheidung (Mikroalbuminurie bzw. große Proteinurie) an erster Stelle. Als Maß für die Nierenfunktion werden GFR und Kreatinin bestimmt. Im Stadium der Mikroalbuminurie sind Nierenschäden eventuell noch rückbildungsfähig.

Mehr zum Thema

Die Früherkennung der diabetischen Neuropathie wird zunehmend zu Ihrer Sache. Der Aufwand fürs Screening ist überschaubar: ein paar Fragen, zwei…

mehr

Etwa 20–40 % der Diabetiker leiden an einer diabetischen Nephropathie – der weltweit häufigsten Ursache für ein dialysepflichtiges Nierenversagen. Es…

mehr
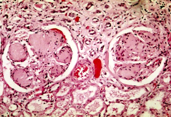
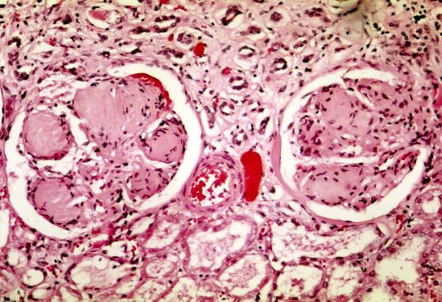
Bildgebung
© CDC/Public Domain.
Blausen.com staff. Blausen gallery 2014. Wikiversity Journal of Medicine.
Labor

Von einer Mikroalbuminurie spricht man bei Ausscheidungswerten zwischen 30 und 300 mg/l im Spontanurin, bei Werten >300 mg/l besteht eine Makroalbuminurie.   

Anzeige
Differenzialdiagnostik

Verwechslungsgefahr besteht ggf. mit anderen Auslösern einer Proteinurie, z.B. hypertensive Nephropathie und verschiedene Formen der Glomerulonephritis.

Mehr zum Thema

Etwa 20 bis 40 % aller Diabetiker entwickeln im Verlauf eine Nierenerkrankung. Bei der Früherkennung der Nephropathie spielt das Albumin die…

mehr

Worauf es bei Diabetikern ankommt: Nephropathie frühestmöglich erkennen, um schwerere Schäden abzuwenden. Schweizer Experten erläutern die optimale…

mehr

Eine 31-jährige Patientin stellte sich aufgrund eines nephrotischen Syndroms bei Typ-1-Diabetes im Vivantes Klinikum am Friedrichshain vor. Die…

mehr

Die chronische Nieren­insuffizienz ist eine häufige Komplikation bei Menschen mit Diabetes. Trotzdem sollte man nicht blind für andere mögliche…

mehr
Pharmakotherapie und nichtinvasive Therapie

Therapeutisch stehen die Optimierung der Blutzucker-Kontrolle (HbA1c-Ziel) und eine effektive Blutdrucksenkung (ACE-Hemmer, AT1-Rezeptorantagonisten) an erster Stelle. Außerdem sollte der Patient die alimentäre Proteinzufuhr reduzieren (60-80 g/Tag) und auf nierenschädigenden Substanzen verzichten.  

Mehr zum Thema

Worauf es bei Diabetikern ankommt: Nephropathie frühestmöglich erkennen, um schwerere Schäden abzuwenden. Schweizer Experten erläutern die optimale…

mehr

Die Nieren eines Diabetes-Patienten funktionstüchtig halten - das geht unter Anderem mit Lebensstilberatung oder der Ausschaltung kardiovaskulärer…

mehr

Eine strenge Blutzuckerkontrolle wirkt sich bei Typ-1-Diabetikerrn positiv auf Augen, Niere und Gefäße aus - und das auch noch lange nach Beendigung…

mehr

Canagliflozin vermindert bei Patienten mit Typ-2-Diabetes und albuminurischer Nephropathie das Risiko für eine terminale Niereninsuffizienz. Auch…

mehr

Mit den gängigen Therapien lässt sich die Nephropathie des Typ-2-Diabetikers nur schlecht aufhalten. Ein neuer selektiver…

mehr

Diabetische Nephropathie

Die Studie FIDELIO-DKD hatte den Benefit von Finerenon bei Patienten mit diabetischer Niereninsuffizienz (DKD) im Stadium 3 und 4 gezeigt. Nun ergänzt…

mehr

Moderne Wirkstoffe

Bei der Behandlung einer diabetischen Nierenerkrankung sind neben der RAS-Blockade SGLT2-Inhibitoren, Mineralokortikoid-Rezeptor-Antagonisten und…

mehr
Invasive und Interventionelle Therapie

Wenn sich die Nierenfunktion trotz konsequenter konservativer Therapie verschlechtert, ist im Stadium des terminalen Nierenversagens eine Dialyse-Behandlung indiziert, je nach Alter und Begleiterkrankungen kommt eventuell auch eine Transplantation infrage.

Prävention

Entscheidend für eine wirksame Nephropathie-Prophylaxe sind eine konsequente Reduktion von Blutdruck und HbA1c. Regelmäßige Nierenkontrollen sorgen dafür, dass renale Schäden bereits im Stadium der  Mikroalbuminurie auffallen. 

Mehr zum Thema

Bei der Niereninsuffizienz heißt es: Progression aufhalten! Behalten Sie dabei Lebensstil und Ernährung im Blick und behüten Sie das Organ vor…

mehr

Neben erhöhten oder stark schwankenden Glukosewerten können zahlreiche weitere Faktoren die Entstehung und das Fortschreiten der diabetischen…

mehr
Folgeerkrankung
Mehr zum Thema

Diabetische Nephropathie

Eine diabetische Nephropathie kann kardiovaskuläre Erkrankungen, Infektionen und Krebs fördern und ist mit einer erhöhten Sterblichkeit verbunden.…

mehr
Notfallmanagement

Im Stadium der Urämie, ob aufgrund einer terminalen Niereninsuffizienz oder eines akuten Organversagens, ist eine umgehende Dialysetherapie angezeigt. Je nach Begleitumständen (Alter, Komorbidität) kommt eventuell auch eine Organstransplantation infrage.

Leitlinien

Deutsche Diabetes Gesellschaft:
Nierenerkrankungen bei Diabetes im Erwachsenenalter

Mehr zum Thema

Diabetische Nephropathie

Wer beim evidenzbasierten Management der diabetischen Nephropathie auf dem Laufenden bleiben möchte, ist mit den Leitlinien von EASD und ADA gut…

mehr
Forschung
Mehr zum Thema

Der SGLT2-Inhibitor Canagliflozin hat nephroprotektives Potenzial. Der ausgeprägte präventive Effekt bei Typ-2-Dia­betespatienten mit Nephropathie…

mehr

Bei Menschen mit Typ-2-Diabetes und eingeschränkter Nierenfunktion wird oft von Metformin abgesehen. Grund ist ein erhöhtes Risiko für Laktatazidosen…

mehr

SGLT2-Hemmer

Durch den Einsatz von SGLT2-Inhibitoren verringert sich bei Menschen mit Typ-2-Diabetes und begleitender Nephropathie das Risiko für ein…

mehr
Abrechnung

Verschenken Sie kein Honorar: Das „Gebühren-Handbuch digital“ ist die ideale Weiterentwicklung der Printausgabe des bekannten „Medical Tribune Gebühren-Handbuchs“ - statt 2000 Buchseiten der schnelle digitale Zugriff.

Was Ihnen die Abrechnung leichter macht:

  • die immer aktuelle Fassung von EBM und GOÄ (Einheitlicher Bewertungsmaßstab und Gebührenordnung für Ärzte)
  • Tipps und Experten-Kommentare zur Honorarabrechnung (EBM/GOÄ), graphisch aufbereitet und leicht verständlich
  • Kommentare von Kollegen lesen und selbst kommentieren
  • persönliche Notizen und Lesezeichen setzen

Zum Gebühren-Handbuch digital »

Fortbildungen

Keine Fortbildung für diesen Fachbereich gefunden

Alle Fortbildungen




Diese Informationen dienen ausschließlich der Aus- und Weiterbildung von Angehörigen und Studenten der medizinischen Fachkreise (z.B. Ärzte) und enthalten nur allgemeine Hinweise. Sie dürfen nicht zur Selbstdiagnose oder -behandlung verwendet werden und sind kein Ersatz für eine ärztliche Beratung oder Behandlung. Die jeweiligen Autoren haben die Inhalte nach bestem Wissen gepflegt. Dennoch sollten Sie die Informationen stets kritisch prüfen und mit zusätzlichen Quellen vergleichen. Die Autoren und die Betreiber von medical-tribune.de übernehmen keine Haftung für Schäden, die durch nicht-kontrollierte Anwendung von Empfehlungen und Inhalten entstehen. Beiträge, die Angaben zum Einsatz und zur Dosierung von Medikamenten machen, sind die persönliche Einschätzung der Autoren. Sie ersetzen nicht die Empfehlungen des Herstellers oder des behandelnden Arztes oder Apothekers.