Im Rahmen unserer Website-Modernisierung arbeiten wir kontinuierlich daran, Ihnen noch bessere und aktuellere Informationen zu bieten. Diese Seite wird in Kürze mit frischen Inhalten und einem zeitgemäßen Design überarbeitet.

Endokarditis, infektiöse

Definition

Die infektiöse bzw. bakterielle Endokarditis ist eine Infektion der Herzklappen, die mit Nekrosen und thrombotischen Auflagerungen einhergeht und zu einer Zerstörung der Herzklappen und zu septischen Embolien führen kann. Am häufigsten befallen sind die Mitralklappe oder/und Aortenklappe.

Staphylokokken und Streptokokken sind in vielen Fällen Auslöser der infektiösen Endokarditis. Bleibt die Erkrankung unbehandelt, hat sie in der Regel eine schlechte Prognose und endet nicht selten tödlich.

ICD10-Code: I01.1, I09.1, I33, I38, I39

Anzeige
Symptomatik

Je nach auslösendem Erreger variiert die Symptomatik von schleichendem, über mehrere Monate dauerndem Verlauf bis hin zu fulminantem, innerhalb von Tagen tödlich endendem Verlauf.

Als Leitsymptome gelten:

  • Fieber (90 %), evtl. Schüttelfrost 
  • Herzgeräusche: Meist liegt bereits ein rheumatischer Klappenfehler mit entsprechendem Herzgeräusch vor, das seinen Charakter jedoch ändern kann. Daher täglich auskultieren! 
  • Bakteriämie 
  • Splenomegalie 
  • Bakterielle Mikroembolien: Embolische Herdenzephalitis evtl. mit passageren Hemiparesen; evtl. Mikroembolien an der Netzhaut

Weitere Symptome können hinzukommen, z.B. zunehmende Zeichen einer Herzinsuffizienz, Nierenbeteiligung mit akuter diffuser Glomerulonephritis und Hautsymptome (Petechien, Osler-Knötchen). 

Anzeige
Untersuchung

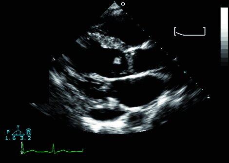
Echokardiographie und Mikrobiologie (siehe „Labor") sind die Eckpfeiler der Endokarditis-Diagnostik.

Drei echokardiographische Befunde gelten als Hauptkriterien der infektiösen Endokarditis:

  • Vegetationen 
  • (Herz-)Abszess 
  • Neue Dehiszenz einer Klappenprothese

Außer der Echokardiographie kommen weitere bildgebende Verfahren wie Herz-CT und 18F-FDG-PET/CT zum Einsatz. In der Sonographie kann eine Splenomegalie auffallen (in ca. 30%) und evtl. Organinfarkte oder Abszesse.

Wichtig ist auch, die Bakteriämiequelle zu suchen: Wurde vor kurzem ein (zahn-)ärztlicher Eingriff vorgenommen? Wurde Fremdmaterial (Stents, Spirale, Prothesen) implantiert? Untersucht werden sollten der Zahnstatus, Nasennebenhöhlen, Urogenitaltrakt, Haut (Zehenzwischenräume) und Augenhintergrund.

Mehr zum Thema

Bis zu einem Drittel der Endokarditis-Fälle ist durch ärztliche Maßnahmen bedingt – Tendenz steigend, Prognose ungüns­tig. Wie lässt sich dieses…

mehr

Wenn Sie keine trans­thorakale Echokardiographie durchführen können, tut es bei Hinweisen auf eine Endokarditis erst mal auch ein Abdomenschallkopf.…

mehr

Herzfehler und implantiertes Material prädisponieren stark für eine Endokarditis. Ist die Entzündung erst einmal überstanden, wird es langfristig…

mehr
Bildgebung
© CDC/ Dr. Sellers
© CDC/Dr. Thomas F. Sellers/Emory University
© CDC/Dr. Edwin P. Ewing
Labor

Unspezifische Entzündungszeichen: 

  • Erhöhte BSG (eine normale BSG spricht gegen eine Endokarditis)
  • Erhöhter CRP-Wert 
  • Anämie (80 %) 
  • Evtl. Leukozytose (v.a. bei Infektion durch S. aureus ausgeprägt), Thrombozytopenie

Entscheidend ist der kulturelle Erregernachweis im Blut. Bei der Abnahme von aeroben und anaeroben Blutkulturen ist Folgendes zu beachten:

  • Blutkulturdiagnostik vor Beginn der antibiotischen Therapie 
  • 3 bis 5 separat entnommene Blutkulturen, bei akut septischem Verlauf möglichst innerhalb von 1 bis 2 Stunden 
  • Entnahme aus der Kubitalvene, nicht aus Venenverweilkathetern 
  • Labor informieren, dass Verdacht auf infektiöse Endokarditis besteht 
  • Blutkulturflaschen innerhalb von 2 Stunden ins Labor bringen
Anzeige
Differenzialdiagnostik

Bei schleichendem oder oligosymptomatischem Verlauf kann eine infektiöse Endokarditis leicht übersehen und z.B. als Infektion anderer Genese (Pneumonie, Harnwegsinfekt, Tuberkulose) fehlinterpretiert werden.

Differenzialdiagnostisch müssen auch Malignome bzw. Autoimmunerkrankungen ausgeschlossen werden.

Pharmakotherapie und nichtinvasive Therapie

Die Behandlung sollte im Team aus Kardiologen, Herzchirurgen und Mikrobiologen abgestimmt werden.

Antibiotika sind immer erforderlich. Nach der Abnahme wiederholter Blutkulturen wird eine kalkulierte Initialtherapie mit Breitband-Antibiotika eingeleitet:

  • Bei Nativklappen und Klappenprothesen (> Monate postoperativ): Ampicillin i.v. + (Flu)Cloxacillin oder Oxacillin i.v. + Gentamicin i.v. oder i.m.
  • Bei Klappenprothesen (< 12 Monate postoperativ): Vancomycin i.v. + Gentamicin i.v. oder i.m. + Rifampicin i.v. oder oral

Ggf. muss die Therapie angepasst werden, wenn das Antibiogramm vorliegt. Der Erfolg der Therapie wird anhand des klinischen Befundes, der Laborwerte (BSG, CRP, Blutkulturen) und mithilfe der Echokardiographie beurteilt.

Der Herzchirurg sollte frühzeitig hinzugezogen werden, damit ein eventuell notwendiger Klappenersatz zur Infektsanierung nicht verzögert wird.

Mehr zum Thema

Cardio-Refresher 2016 - Im Ernstfall müssen Sie bei seltenen, aber gefürchteten Komplikationen einer bakteriellen Endokarditis schnell schalten und…

mehr

Sollen Patienten mit Endokarditis-Risiko vor Zahneingriffen Antibiotika erhalten oder nicht? Lange Zeit hat man wohl zu viel des Guten getan, dann…

mehr

Fachgesellschaften halten die Endokarditis-Prophylaxe mit Antibiotika für Patienten mit moderatem Risiko für überflüssig. Aktuelle Zahlen stützen…

mehr

Hautkrebs

Die CT spielt in der Diagnostik und Therapiekontrolle bei Krebserkrankungen eine wichtige Rolle. Summieren sich die Untersuchungen, muss man aber die…

mehr
Invasive und Interventionelle Therapie

Nicht alle Endokarditisfälle heilen unter antibiotischer Therapie. Auch bei noch nicht zerstörter Klappe kann eine Klappenersatz-OP evtl. sinnvoll sein. Die entfernte Klappe soll mikrobiologisch untersucht werden. Operationsindikationen sind u.a.:

  • Schwere Sepsis und septischer Schock 
  • Herzinsuffizienz 
  • Pilzendokarditis, MRSA-Endokarditis 
  • Kardialer Abszess, Aneurysma, paravalvuläre Ausbreitung 
  • Persistierende Infektzeichen und Klappendysfunktion oder persistierende Bakteriämie trotz angemessener antibiotischer Therapie 
  • Rezidivierende Embolien unter Therapie 
  • Akute zerebrale Embolie nach Ausschluss einer zerebralen Blutung
Mehr zum Thema

Herzchirurgen bekommen es zunehmend mit Endokarditiden zu tun. Immerhin gelingt es in vielen Fällen auch bei schweren Entzündungen, die Klappe zu…

mehr
Prävention

Wenn Operationen oder Interventionen mit hoher Bakteriämiegefahr geplant sind, sollten Patienten mit hohem Endokarditisrisiko eine antibiotische Prophylaxe erhalten. Indikationen sind u.a.: 

  • Z. n. Endokarditis 
  • Herzklappenprothesen 
  • Bestimmte angeborene Herzfehler 
  • Herztransplantierte, die einen Klappenfehler entwickelt haben

Ein hohes Bakteriämierisiko besteht z.B. bei folgenden Interventionen: Zahnärztliche Behandlung mit Zahnfleischverletzung, HNO-Operationen, Eingriffe an der Speiseröhre, Blasenspiegelung, starre Bronchoskopie, Darm- oder Prostata-OP, OP am offenen Herzen bei Klappenfehler.

Generell trägt eine gute Mund- und Hauthygiene zur Prävention der infektiösen Endokarditis bei.

Notfallmanagement

Bei großen Vegetationen (> 10 mm) steigt das Embolierisiko steil an (bis 60 %), daher muss eine rasche operative Sanierung erfolgen.

Weitere dringende OP-Indikationen sind:

  • Herzinsuffizienz 
  • AV-Blockierungen 
  • Paravalvulärer Abszess 
  • Hämodynamisch relevantes Klappenvitium 
  • Embolien 
  • Persistierende Infektion
Leitlinien

1. Herold G et al.: Innere Medizin 2017. Eigenverlag, Köln 2017

2. Stierle U (Hrsg.): Klinikleitfaden Kardiologie. 6. Aufl., Elsevier, München 2017

3. ESC Pocket Guidelines: Infektiöse Endokarditis, Version 2015. Herausgegeben von der Deutschen Gesellschaft für Kardiologie. https://www.dgk.org

 

Leitlinie "Infektiöse Endokarditis und Endokarditisprophylaxe im Kindes- und Jugendalter" (gültig bis 31.12.2018)

Forschung
Mehr zum Thema

Patienten mit bakterieller Linksherz-Endokarditis bleiben lange Krankenhausaufenthalte in Zukunft vielleicht erspart.

mehr

Infektionen des Endokards gewinnen wieder an Relevanz. Denn nicht zuletzt der technische Fortschritt in der Medizin schafft neue Risikopatienten.…

mehr
Abrechnung

Verschenken Sie kein Honorar: Das „Gebühren-Handbuch digital“ ist die ideale Weiterentwicklung der Printausgabe des bekannten „Medical Tribune Gebühren-Handbuchs“ - statt 2000 Buchseiten der schnelle digitale Zugriff.

Was Ihnen die Abrechnung leichter macht:

  • die immer aktuelle Fassung von EBM und GOÄ (Einheitlicher Bewertungsmaßstab und Gebührenordnung für Ärzte)
  • Tipps und Experten-Kommentare zur Honorarabrechnung (EBM/GOÄ), graphisch aufbereitet und leicht verständlich
  • Kommentare von Kollegen lesen und selbst kommentieren
  • persönliche Notizen und Lesezeichen setzen

Zum Gebühren-Handbuch digital »

Fortbildungen

Keine Fortbildung für diesen Fachbereich gefunden

Alle Fortbildungen




Diese Informationen dienen ausschließlich der Aus- und Weiterbildung von Angehörigen und Studenten der medizinischen Fachkreise (z.B. Ärzte) und enthalten nur allgemeine Hinweise. Sie dürfen nicht zur Selbstdiagnose oder -behandlung verwendet werden und sind kein Ersatz für eine ärztliche Beratung oder Behandlung. Die jeweiligen Autoren haben die Inhalte nach bestem Wissen gepflegt. Dennoch sollten Sie die Informationen stets kritisch prüfen und mit zusätzlichen Quellen vergleichen. Die Autoren und die Betreiber von medical-tribune.de übernehmen keine Haftung für Schäden, die durch nicht-kontrollierte Anwendung von Empfehlungen und Inhalten entstehen. Beiträge, die Angaben zum Einsatz und zur Dosierung von Medikamenten machen, sind die persönliche Einschätzung der Autoren. Sie ersetzen nicht die Empfehlungen des Herstellers oder des behandelnden Arztes oder Apothekers.