Sinusvenenthrombose Auch ohne Donnerschlag dran denken

Autor: Maria Weiß

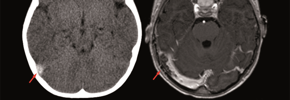
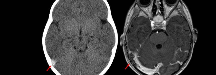
CT ohne und MRT mit Kontrastmittel zeigen beide den Befund einer SVT (Pfeil) beim selben Patienten.
CT ohne und MRT mit Kontrastmittel zeigen beide den Befund einer SVT (Pfeil) beim selben Patienten. © wikimedia/Hellerhoff

Es muss nicht immer ein Vernichtungskopfschmerz sein: Auch bei einer langsam zunehmenden Cephalgie, die mehr als drei Tage anhält und nicht auf die üblichen Analgetika anspricht, muss eine Sinusvenenthrombose ausgeschlossen werden.

Der klinische Verlauf einer Sinusvenenthrombose (SVT) kann sehr unterschiedlich sein – von nahezu asymptomatischen bis hin zu rasch letalen Verläufen. Grundsätzlich gilt: Je ausgeprägter die Symptome, umso schlechter die Prognose, berichtete PD Dr. Jörg Herold von der Klinik für Angiologie am Klinikum Darmstadt. Zu dem in Lehrbüchern genannten plötzlich auftretenden Vernichtungskopfschmerz kommt es nur bei ca. 10 % der Betroffenen. Typisch ist dagegen ein primär anhaltender, über Tage langsam zunehmender Kopfschmerz. Ein Valsalva-Manöver kann den Schmerz deutlich verstärken. Knapp die Hälfte der Patienten klagt auch über Übelkeit. Krampfanfälle entwickeln etwa 40 % und ein Papillenödem lässt…

Liebe Leserin, lieber Leser, aus rechtlichen Gründen ist der Beitrag, den Sie aufrufen möchten, nur für medizinische Fachkreise zugänglich. Wenn Sie diesen Fachkreisen angehören (Ärzte, Apotheker, Medizinstudenten, medizinisches Fachpersonal, Mitarbeiter der pharmazeutischen oder medizintechnischen Industrie, Fachjournalisten), loggen Sie sich bitte ein oder registrieren sich auf unserer Seite. Der Zugang ist kostenlos.

Bei Fragen zur Anmeldung senden Sie bitte eine Mail an online@medical-tribune.de.