Verdacht auf Sinusvenenthrombose – sofort ins MRT!

Autor: Dr. Dorothea Ranft

Das erste Symptom ist in mehr als 70 % der Fälle der Kopfschmerz, der nicht selten das einzige Zeichen bleibt. Das erste Symptom ist in mehr als 70 % der Fälle der Kopfschmerz, der nicht selten das einzige Zeichen bleibt. © iStock/Cecilie_Arcurs

Neu aufgetretene heftige Kopfschmerzen, dazu Übelkeit und Sehstörungen: Hinter diesen Zeichen kann sich eine Thrombose in den zerebralen Sinus oder kortikalen Venen verbergen und damit ein Notfall. Besonders gefährdet sind Frauen, die die Pille nehmen.

Bei der Pathophysiologie zerebraler Venen-/Sinusthrombosen (CVST) unterscheidet man zwei Mechanismen: Die gefährlichen Blutgerinnsel können sich entweder in den großen Sinus bilden, die für den venösen Transport des Liquors aus dem Subarachnoidalraum sorgen. Ein Thrombus in diesem Bereich erhöht den intrakraniellen Druck. Oder sie entstehen in kortikalen Venen, wo sie den Abstrom des Blutes aus dem Hirnparenchym verhindern, erläutert Professor Dr. ­Christian ­Weimar von der ­BDH-­Klinik ­Elzach. Dadurch steigt der venöse und kapilläre Druck, was zu Stauungsblutungen und einer Störung der Blut-Hirn-Schranke führt.

Sinusvenenverschlüsse verlaufen oft klinisch stumm

Die prädisponierenden Faktoren ähneln denen peripherer Thrombosen (s. Kasten). Frauen zwischen 30 und 50 Jahren tragen im Vergleich zur Allgemeinbevölkerung ein etwa dreifach erhöhtes ­CVST-Risiko, und vielfach ereignet sich die Thrombose in der Postpartalphase. Bei etwa 10 % der Patientinnen bleibt die hormonelle Kontrazeption der einzige erkennbare Auslöser.

Risikofaktoren für Sinusvenenthrombosen

  • Koagulopathien (z.B. Faktor-V-Leiden-Mutation)
  • hormonelle Veränderungen (z.B. Pille, Postpartalphase)
  • Malignome
  • hämatologische Erkrankungen
  • Kollagenosen (z.B. SLE, Sjögren)
  • Vaskulitiden (z.B. M. Behçet)
  • Diabetes
  • Leberzirrhose
  • M. Crohn, Colitis ulcerosa
  • Herzinsuffizienz, Kardiomyopathie
  • Gehirnerschütterung
  • Infekte (z.B. Mastoiditis, Sinusitis)
  • Medikamente (z.B. Chemotherapie)

Wegen der vielfältigen Drainage­wege verlaufen zerebrale Venen- und Sinusthrombosen oft klinisch stumm. Das erste Symptom ist in mehr als 70 % der Fälle der Kopfschmerz, der nicht selten das einzige Zeichen bleibt und sich als Donnerschlag-Cephalgie oder Migräne mit Aura manifestieren kann. Zusätzlich kommt es häufig zu Übelkeit und Erbrechen, Bewusstseinsstörungen wie Psychosen und fokal neurologischen Ausfällen. Etwa 30 bis 40 % der Patienten erleiden epileptische Anfälle. Ein Papillenödem – mit oder ohne Sehstörung – entwickelt sich vor allem bei verzögerter Diagnose und chronischem Verlauf. Jeder Patient mit klinischem Verdacht auf eine zerebrale Venen- oder Sinusthrombose muss unverzüglich mit bildgebenden Verfahren untersucht werden. In der Diagnostik der Sinusvenenthrombose haben sich CT und MRT, jeweils mit venöser Angiographie, als ebenbürtig erwiesen. Blutgerinnsel in kortikalen und tiefen Hirnvenen lassen sich besser mittels MRT aufspüren. Häufig besteht zusätzlich eine Koagulopathie, am häufigsten eine Faktor-V-Leiden-Mutation. Ein generelles Screening auf Gerinnungsstörungen wird mangels therapeutischer Konsequenzen nicht empfohlen, kann aber zur Detektion hereditärer Ursachen bei positiver Familienanamnese und fehlender Prädisposition sinnvoll sein.

Trotz intrakranieller Blutung antikoagulieren

Um eine klinische Verschlechterung und Komplikationen rechtzeitig zu erkennen, sollten Patienten mit CVST auf einer Stroke Unit behandelt werden. In der Akutphase wird die Gabe von vorzugsweise niedermolekularem Heparin in therapeutischer Dosierung empfohlen, auch wenn bereits eine intrakranielle Blutung vorliegt. Die Antikoagulation kann ein Fortschreiten der Thrombosierung verhindern und dafür sorgen, dass sich bereits durch die körpereigene Fibrinolyse geöffnete Gefäßabschnitte nicht wieder verschließen. Rund die Hälfte der Patienten mit zerebraler Venen- oder Sinusthrombose entwickelt ein Hirnödem. Die Therapie besteht auch in dieser Situation in einer effektiven Gerinnungshemmung, die den venösen Abstrom verbessert und damit den intrakraniellen Druck senkt. Die operative Dekompression wird für Patienten mit Parenchymläsionen (Stauungsödem, Hämorrhagie) und drohender Einklemmung empfohlen. Ersten Ergebnissen zufolge vermag diese Maßnahme die Mortalität zu senken, ohne die Zahl schwerstbehinderter Patienten zu erhöhen.

Vorsicht bei Infekten

Bakteriell bedingte Sinusthrombosen sind heutzutage zwar selten, aber jederzeit möglich. Sie entstehen fast ausschließlich als Folge lokaler lnfektionen wie Sinusitis, Otitis media und Mastoiditis. Die Behandlung erfolgt erreger- und resistenzgerecht mit Antibiotika, ergänzt durch eine operative Sanierung des Infektfokus. Die Antikoagulation orientiert sich an den Regeln für nicht-erregerbedingte Thrombosen.

Zur Prävention von CVST-Rezidiven und extrazerebralen Thrombosen wird in der Postakutphase eine Antikoagulation mit Vitamin-K-Antagonisten für drei bis zwölf Monate empfohlen. Erste Daten deuten darauf hin, dass sich Thrombin- und Faktor-Xa-Inhibitoren als Alternative eignen könnten, auch wenn sie für diese Indikation nicht zugelassen sind. In einer kleinen Studie, die Dabigatran mit Warfarin verglich, zeigte sich für beide Substanzen eine nur geringe Inzidenz schwerer Blutungen und Rezidivthrombosen (1,7 % vs. 3,3 %) bei gleichzeitig hohen Rekanalisationsraten (60 % vs. 67 %). Die Evidenzlage reicht nach Einschätzung von Prof. ­Weimar aber noch nicht für eine Anwendung in der Akutphase aus.

Prophylaxe für schwangere Genesene empfohlen

Frauen mit durchgemachter zerebraler Venen-/Sinusthrombose sollten auf eine orale Kontrazeption verzichten. Das Rezidivrisiko in einer erneuten Schwangerschaft ist gering. Dennoch wird für Gravidität und Wochenbett eine Prophy­laxe mit niedermolekularem Heparin angeraten­.

Quelle: Weimar C. Fortschr Neurol Psychiatr 2021; 89: 182-194; DOI: 10.1055/a-1323-1563

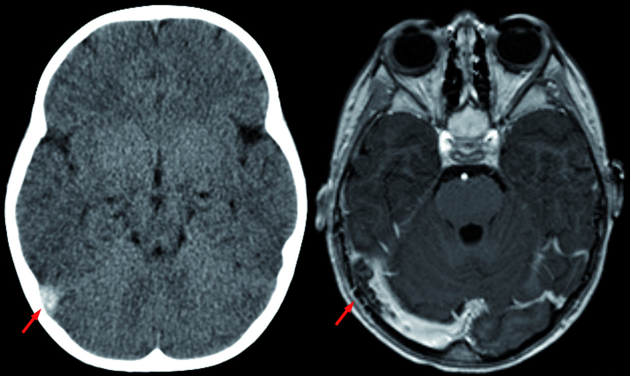
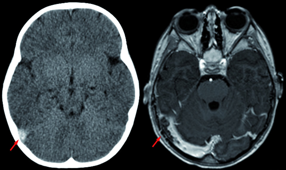
Im CT ohne Kontrastmittel (links) und im MRT mit Kontrastmittel (rechts) lässt sich eine Sinusvenenthrombose gut erkennen. Im CT ohne Kontrastmittel (links) und im MRT mit Kontrastmittel (rechts) lässt sich eine Sinusvenenthrombose gut erkennen. © wikimedia/Hellerhoff