Sinusvenenthrombose: Mindestens jeder Fünfte stirbt oder bleibt alltagsrelevant behindert

Autor: Dr. Anja Braunwarth

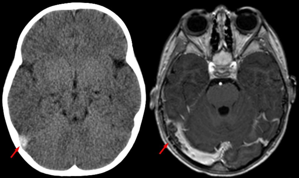
Sinusvenenthrombose in der Computertomographie ohne Kontrastmittel (links) und in der Kernspintomographie T1 mit Kontrastmittel (rechts) beim gleichen Fall. Sinusvenenthrombose in der Computertomographie ohne Kontrastmittel (links) und in der Kernspintomographie T1 mit Kontrastmittel (rechts) beim gleichen Fall. © wikimedia/Hellerhoff (CC BY-SA 3.0)

Zerebrales Gerinnsel und zugleich eine Hirnblutung: Das lässt vor der Antikoagulation zurückschrecken. Nicht so bei der Sinusvenenthrombose. Bei ihr besteht eine klare Indikation dafür.

Es heißt immer, die zerebrale Sinusvenenthrombose (SVT) sei eine Krankheit mit guter Prognose. Doch ganz so wollte Professor Dr. Christian Dohmen von der Neurologie an der LVR-Klinik Bonn das nicht stehen lassen. „Unter der Therapie in der Klinik versterben immerhin 8–15 % der Patienten, 12 % bleiben alltagsrelevant behindert“, berichtete der Neurologe.

Wichtige Fakten zum Krankheitsbild

Sinusvenenthrombosen sind 60-mal seltener als arterielle Verschlüsse, berichtete Professor Dr. Wolfgang Reith, Neuroradiologe vom Universitätsklinikum des Saarlandes, Homburg/Saar. Zu 70 % treffen sie Frauen. Die venöse Okklusion führt zum vasogenen Ödem, eine arterielle dagegen zum zytotoxischen. Die vasogene Flüssigkeitsansammlung löst später irreversible Schäden aus als die zytotoxische, das erklärt die recht gute Prognose der SVT. Klinisch beginnt die Erkrankung oft mit Schmerzen im Nasenaugenwinkel und Sehstörungen, danach setzen starke Schmerzen in Kopf und Nacken ein. Es kann zu Ödemen der Augenlider und Nasolabialfalten kommen. Mit zeitlicher Verzögerung treten dann neurologische Symptome wie epileptische Anfälle und Wesensveränderung auf. Das Vollbild ist gekennzeichnet durch Fieber, Lähmungen, Augenmotilitätsstörungen, Chemosis und Hirndruckzeichen.

Die meisten Todesfälle beruhen auf erhöhtem Hirndruck oder transtentorieller Herniation. Als Risikofaktoren für einen schlechten Verlauf gelten:
  • Koma/Sopor
  • intrazerebrale Blutung
  • neurologische Verschlechterung
  • Thrombose tiefer Hirnvenen
  • höheres Lebensalter
Eine deutsche Untersuchung an 114 schwer betroffenen, intensivpflichtigen Patienten ergab, dass initiale Symptome nicht auf die weitere Entwicklung schließen lassen. Vielmehr entpuppten sich bilaterale motorische Zeichen und eine neurologische Verschlechterung (bedingt durch die Raumforderung) im Verlauf als Prädiktoren für eine ungüns­tige Prognose. In der Bildgebung waren es Mittellinienverlagerung, jegliche Zeichen einer Herniation, verstrichene Sulci, Ventrikelkompressionen und Obliterationen der Basalzisternen.

Mit der Hemikranektomie nicht zu lange warten

Die SVT gehen oft mit relevanten intrazerebralen Stauungsblutungen einher. Diese stellen aber keine Kontraindikation für die therapeutische Antikoagulation dar, betonte der Neurologe. Ziel ist es, die ursächliche venöse Abflussstörung zu beheben. Die Leitlinie favorisiert in der Akut­phase niedermolekulare Heparine. Prof. Dohmen setzt bei kritischen Patienten lieber unfraktioniertes Heparin ein, das sich im Fall einer nötig werdenden Not-OP besser ant­agonisieren lässt. Mit der Hemikranektomie sollte bei Raumforderungszeichen nicht zu lange gezögert werden. Die Dekompression verspricht selbst bei beidseits weiten Pupillen noch Erfolg und hat bei der SVT eine vergleichsweise geringe Letalität von 20 %. Die Thrombolyse dagegen brachte in Studien keine überzeugenden Ergebnisse und wird in der Leitlinie nicht empfohlen. Auch für die mechanische Rekanalisation liegen bislang keine überzeugenden Daten vor.

Quelle: Arbeitstagung NeuroIntensivMedizin 2020

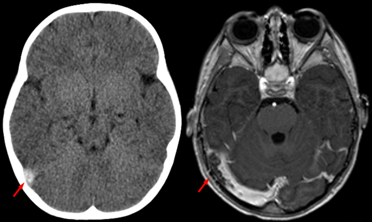
Sinusvenenthrombose. Sinusvenenthrombose. © wikimedia/Hellerhoff (CC BY-SA 3.0)