Im Rahmen unserer Website-Modernisierung arbeiten wir kontinuierlich daran, Ihnen noch bessere und aktuellere Informationen zu bieten. Diese Seite wird in Kürze mit frischen Inhalten und einem zeitgemäßen Design überarbeitet.

Lungenembolie

Definition

Als Lungenembolie bezeichnet man die partielle oder vollständige Verlegung einer Lungenarterie durch einen eingeschwemmten Embolus aus der peripheren Strombahn.

Lungenembolien sind die mit am stärksten gefürchteten Komplikationen nach Operationen und bei tiefen Beinvenenthrombosen (TVT) – die Mortalität liegt bei etwa 10%. Die meisten Todesfälle treten in der Akutphase innerhalb der ersten Stunden nach Symptombeginn auf. Die Frühletalität wird durch den Schweregrad der akuten rechtsventrikulären Dysfunktion, die kardiopulmonale Komorbidität und das Auftreten von Rezidivembolien bestimmt.

Wichtige Risikofaktoren sind:

  • Immobilisation
  • operative Eingriffe
  • höheres Lebensalter
  • maligne Erkrankungen
  • hormonelle Faktoren (z.B. Kontrazeptivaeinnahme, Schwangerschaft, Hormonersatztherapie)
  • angeborene und erworbene Koagulopathien

ICD10-Code: I26

Anzeige
Symptomatik
  • Dyspnoe
  • Pleuritischer und/ oder retrosternaler Thoraxschmerz
  • Husten
  • Fieber
  • Hämoptysen
  • Synkope
  • Einseitiger Beinschmerz
  • Zeichen einer tiefen Venenthrombose
Mehr zum Thema

Die Lungenembolie konnte ausgeschlossen werden, also alles halb so schlimm? Leider nein, denn die Symptome deuten so oder so auf etwas Ernstes hin.

mehr
Anzeige
Untersuchung
  • Pleurareiben bei der Auskultation
  • Tachykardie
  • Hypertonie oder Blutdruckabfall
  • Zeichen der Rechtsherzbelastung (Verschmelzung 3.. und 4. Herzton)
  • Zeichen der Rechtsherzinsuffizienz (Halsvenenstauung, Pulsus paradoxus, periphere Zyanose)

Bei hämodynamisch stabilen Patienten sollte zuerst die Wahrscheinlichkeit für eine Lungenembolie anhand einer entsprechenden Risikostratifizierung erfolgen. Dafür kann z.B. der validierte Wells-Score herangezogen werden.

Wells-Score (vereinfachte Version)
Kriterien Punkte
frühere TVT oder LE 1
Frische Operation oder Immobilisation 1
Tumorerkrankung 1
Hämoptyse 1
Herzfrequenz ≥ 100 Schläge/min 1
Klinische Zeichen einer TVT 1
Alternative Diagnose unwahrscheinlicher als LE 1
Klinische Wahrscheinlichkeit:
LE unwahrscheinlich 0-1 LE
wahrscheinlich ≥ 2
Mehr zum Thema

Der Verdacht auf akute Lungenembolie fordert umgehendes Handeln. Das bedeutet aber nicht, dass alle Patienten zur CT oder auf die Intensivstation…

mehr

In der ambulanten Notfalldiagnostik dürfte die Thoraxsonographie bald zum Standardprozedere gehören. Doch auch in der Hausarztpraxis leistet das…

mehr

Nicht jeder Lungenembolieverdacht bestätigt sich. Anhand der Klinik sowie der Fibrinspaltprodukte lassen sich beizeiten diejenigen Patienten…

mehr

Hat ein Patient eine Lungenembolie entwickelt, stellt sich die Frage, ob für ihn eine verkürzte stationäre oder sogar eine ambulante Therapie möglich…

mehr

Nicht jeder Patient mit Lungenembolie muss stationär versorgt werden, soviel ist Konsens. Doch was hilft zuverlässiger bei der Entscheidung, ob der…

mehr

Bei Patienten mit Lungenembolie sollte man nicht automatisch per CT nach einem Malignom suchen.

mehr

Lungenembolie

Patienten mit COVID-19 haben ein hohes Risiko, venöse Thromboembolien (VTE) zu entwickeln. Einer Metaanalyse zufolge erwischt solch ein Ereignis fast…

mehr

Lungenembolie

Der konsequente Einsatz mobiler Ultraschallgeräte könnte die Diagnostik bei Verdacht auf Lungenembolie deutlich verbessern.

mehr
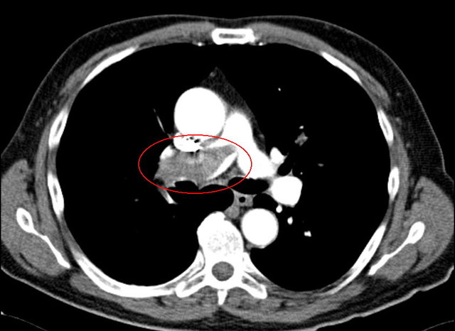
Bildgebung
Nachweis einer Lungenembolie mit Verlegung der rechten Pulmonalarterie. Gut sichtbar ist die Kontrastmittelaussparung im markierten Gefäß. © wikipedia.org/Bernd Brägelmann, mit freundlicher Genehmigung von Dr. Martin Steinoff, CC BY-SA 3.0
Labor

Zur Basisdiagnostik zählen die Vitalparameter, Röntgen-Thoraxübersicht in 2 Ebenen, EKG und Blutgasanalyse.

Ist die Wahrscheinlichkeit für eine Lungenembolie bei einem hämodynamisch stabilen Patienten nicht sehr hoch, sollte ein D-Dimer-Test durchgeführt werden. Ist dieser negativ, ist in diesem Fall keine weitere Lungenembolie-Diagnostik mehr erforderlich.

Bei hoher klinischer Wahrscheinlichkeit würde ein negativer D-Dimer-Test nicht ausreichen, um eine Lungenembolie sicher auszuschließen. In diesem Fall muss immer eine bildgebende Diagnostik erfolgen.

Bildgebende Diagnostik

Ist eine Bildgebung erforderlich, sollte eine CT-Pulmonalisangiographie (CTPA) erfolgen. Die kombinierte Ventilations-/Perfusionsszintigraphie ist bei hämodynamisch stabilen Patienten eine Alternative, wenn die CTPA als zu risikoreich eingeschätzt wird.

Die Sonographie der Beinvenen kann bei hämodynamisch stabilen Patienten ebenfalls zur Abklärung einer Lungenembolie beitragen. Findet man hier bei Patienten mit hoher klinischer Wahrscheinlichkeit oder bei geringerer Wahrscheinlichkeit plus positivem D-Dimer-Test eine TVT, gilt der Verdacht auf eine Lungenembolie als bestätigt.

Auch mittels Lungen-Sonographie kann eine Lungenembolie nachgewiesen werden – ein negativer Befund kann sie aber nicht ausschließen. In diesem Fall sind dann immer weitere Verfahren wie CTPA oder Szintigraphie erforderlich. Auch bei hämodynamisch instabilen Patienten gilt die CTPA als Goldstandard. Ist dieser nicht sofort verfügbar oder aufgrund der klnsichen Situation nicht durchführbar, sollte eine transthorakale Echokardiographie zum Nachweis der Rechtsherzbelastung erfolgen.

 

Anzeige
Differenzialdiagnostik

 Wichtige Differenzialdiagnosen sind:

Dyspnoe:

  • Lungenödem
  • Asthmaanfall
  • Spontanpneumothorax
  • Anaphylaxie
  • psychogene Hyperventilation
  • Pneumonie u.v.m

Thorakale Schmerzen:

  • Herzinfarkt/Angina pectoris
  • Perikarditis
  • Pleuritis
  • Aortendissektion

Hämoptysen:

  • Blutung aus Nasen-Rachen-Raum, Ösophagus, Magen oder Bronchialbaum 
Mehr zum Thema

Kommt ein Patient mit akutem Brustschmerz zu Fuß in die Praxis, steckt laut Ärzten eher keine lebensbedrohliche Erkrankung dahinter. Dennoch ist der…

mehr

Häufig entwickeln Patienten mit Lungenembolie Vorhofflimmern. Auf die Risiko­stratifizierung bei der stationären Aufnahme hat das jedoch keine…

mehr

Pulmonale Hypertonie und Lungenembolie

Experten für Lungenembolie und pulmonale Hypertonie schienen lange auf zwei verschiedenen Planeten zu leben. Mittlerweile nähern sie sich an, denn die…

mehr
Pharmakotherapie und nichtinvasive Therapie

Vor Einleitung der Therapie sollte eine erneute Risikostratefizierung erfolgen. Dazu kann der Simplified Pulmonary Embolism Severity Index (sPESI) herangezogen werden.

Simplified Pulmonary Embolism Severity Index (sPESI)
Klinische Parameter Punkte
Lebensalter > 80 Jahre 1
Tumorerkrankung 1
Chronische Herzinsuffizienz oder Lungenerkrankung 1
Pulsfrequenz ≥ 110 Schläge/min 1
Systolischer Blutdruck < 100 mmHg 1
Arterielle Hämoglobinsättigung < 90% 1
Risikokategorie:
0 Punkte 30-Tages-Todesrisiko: 1,0%
≥ 1 Punkt 30-Tages-Todesrisiko: 10,9%

Direkt nach der Diagnosestellung sollte bei hämodynamisch stabilen Patienten mit einer therapeutischen Antikoagulation begonnen werden. Eingesetzt werden können dazu:

Niedermolukulare Heparine (NMH)

  • Certoparin
  • Dalteparin
  • Enoxaparin
  • Nadroparin
  • Reviparin
  • Tinzaparin

NMH sind in der Erhaltungstherapie für Tumorpatienten zugelassen.

Pentasaccharid

  • Fontaparinux (FDX)

Unfraktionierte (UF) Heparine

Direkte orale Antikoagulanzien

  • Dabigatran (zuerst mindestens 5 Tage NMH, UF oder FDX)
  • Rivaroxaban
  • Apixaban
  • Edoxaban (zuerst mindestens 5 Tage NMH, UF oder FDX)

Vitamin-K-Antagonisten

  • Phenprocoumon (NMH, UF oder FDX parallel bis INH ≥ 2,0)
  • Warfarin (NMH, UF oder FDX parallel bis INH ≥ 2,0)

Dazu beginnt man mit einer Initialdosierung (je nach Produkt und Zulassungsstatus). Danach erfolgt eine therapeutische Erhaltungstherapie über 3-6 Monate. Bei Vorliegen bestimmter Risikofaktoren kann auch eine verlängerte Therapie sinnvoll sein. Bei Patienten mit niedrigem Risiko kann die Therapie der Lungenembolie ambulant erfolgen.

Bei hämodynamisch instabilen Patienten sollte immer eine Reperfusion durch medikamentöse Thrombolyse mit Alteplase, Streptokinase oder Urokinase angestrebt werden. Das gilt auch für Patienten mit intermediär hohem Risiko, die im Verlauf Zeichen einer hämodynamischen Dekompensation entwickeln.

Mehr zum Thema

Es gibt gute Argumente, Patienten nach einer ersten unprovozierten Lungenembolie lebenslang zu antikoagulieren. Dagegen steht allerdings das…

mehr

Bei Patienten mit einer akuten Lungenembolie bieten rekanalisierende Maßnahmen keinen wesentlichen Vorteil gegenüber einer Antikoagulation. Die…

mehr

Bei Patienten mit Lungen­embolie empfehlen die Leitlinien im kardiogenen Schock oder nach Reanimation eine sofortige systemische Thrombolyse.…

mehr

Tumorpatienten sind besonders gefährdet für Lungenembolien und Thrombosen. Dennoch sollten nicht alle prophylaktisch einen Gerinnungshemmer erhalten.…

mehr

Kaum etwas haben Internisten in letzter Zeit so viel diskutiert wie die Prophylaxe und Therapie von Thrombose und Lungenembolie. Zwei…

mehr

Für alle Patienten nach Lungenembolie ist die Gerinnungshemmung obligat. Bei hohem Rezidivrisiko läuft sie am besten auf unbestimmte Zeit weiter. Die…

mehr

Nach einer Lungenembolie stehen viele Fragen im Raum: Soll der Patient ein NOAK, VKA oder ein anderes Antikoagulanz bekommen? Für drei Monate oder…

mehr
Invasive und Interventionelle Therapie
Mehr zum Thema

Patienten mit submassiver Lungenembolie profitieren von einer perkutanen Aspiration des Gefäßpropfes: Die Rechtsherzbelastung nimmt neuen Studien…

mehr
Prävention

In vielen klinischen Situationen mit erhöhtem Risiko für eine venöse Thromboembolie ist eine Thromboseprophylaxe sinnvoll, die vor Lungenembolien schützen soll. Dazu gehören z.B. größere operative Eingriffe oder auch krankheitsbedingte Immobilisation bei Akuterkrankungen und Verletzungen.

Zur Thromboseprophylaxe gehören:

  • Frühmobilisation und Anleitung zu Bewegungsübungen
  • Physikalische Maßnahmen (z.B. medizinische Thromboseprophylaxestrümpfe, intermittierende pneumatische Kompression)
  • bei mittlerem und hohen Risiko medikamentöse Prophylaxe
Mehr zum Thema

Die jährliche Inzidenz von symptomatischen tiefen Beinvenenthrombosen (TVT) liegt im Mittel bei 0,1 %, Krankenhauspatienten trifft es aber deutlich…

mehr

Lungenembolie und tiefe Venenthrombose können erste Symptome eines Karzinoms sein. Das ist zwar kein Grund, routinemäßig per CT nach Malignomen zu…

mehr

Eigentlich eine gute Idee, sollte man denken: Ein Filter in der V. cava inferior verhindert, dass Thromben aus den tiefen Bein- und Beckenvenen in…

mehr

Die Sekundärprophylaxe nach Thromboembolie gleicht einer Gratwanderung. Schließlich soll der Patient seinen Rezidivschutz nicht mit einer gefährlichen…

mehr
Folgeerkrankung
Mehr zum Thema

Entwickelt ein Patient nach einer Lungenembolie einen pulmonalen Hochdruck, liegt womöglich eine chronische thromboembolische pulmonale Hypertonie…

mehr

Spätfolgen der Lungenembolie

Viele Lungenemboliepatienten haben auch drei bis sechs Monate nach dem akuten Ereignis noch Beschwerden. Oft, aber nicht immer sind sie auf…

mehr
Notfallmanagement
Mehr zum Thema

Obwohl sich das Outcome einer Lungenembolie im vergangenen Jahrzehnt deutlich verbessert hat, bleibt sie die häufigste vermeidbare Todesursache in…

mehr
Leitlinien

Deutsche Gesellschaft für Kardiologie, European Society of Cardiology:
Pocket-Leitlinie: Management der akuten Lungenembolie

Deutsche Gesellschaft für Angiologie - Gesellschaft für Gefäßmedizin:
Venenthrombose und Lungenembolie: Diagnostik und Therapie

Herold G et al.: Innere Medizin 2017. Eigenverlag, Köln 2017.

Mehr zum Thema

Konsensuspapier

Die Halbwertszeit von Leitlinien schrumpft stetig. So weist auch die zur Lungenembolie von 2019 Lücken auf. Sie sollen durch das demnächst…

mehr
Abrechnung

Verschenken Sie kein Honorar: Das „Gebühren-Handbuch digital“ ist die ideale Weiterentwicklung der Printausgabe des bekannten „Medical Tribune Gebühren-Handbuchs“ - statt 2000 Buchseiten der schnelle digitale Zugriff.

Was Ihnen die Abrechnung leichter macht:

  • die immer aktuelle Fassung von EBM und GOÄ (Einheitlicher Bewertungsmaßstab und Gebührenordnung für Ärzte)
  • Tipps und Experten-Kommentare zur Honorarabrechnung (EBM/GOÄ), graphisch aufbereitet und leicht verständlich
  • Kommentare von Kollegen lesen und selbst kommentieren
  • persönliche Notizen und Lesezeichen setzen

Zum Gebühren-Handbuch digital »

Fortbildungen

Keine Fortbildung für diesen Fachbereich gefunden

Alle Fortbildungen




Diese Informationen dienen ausschließlich der Aus- und Weiterbildung von Angehörigen und Studenten der medizinischen Fachkreise (z.B. Ärzte) und enthalten nur allgemeine Hinweise. Sie dürfen nicht zur Selbstdiagnose oder -behandlung verwendet werden und sind kein Ersatz für eine ärztliche Beratung oder Behandlung. Die jeweiligen Autoren haben die Inhalte nach bestem Wissen gepflegt. Dennoch sollten Sie die Informationen stets kritisch prüfen und mit zusätzlichen Quellen vergleichen. Die Autoren und die Betreiber von medical-tribune.de übernehmen keine Haftung für Schäden, die durch nicht-kontrollierte Anwendung von Empfehlungen und Inhalten entstehen. Beiträge, die Angaben zum Einsatz und zur Dosierung von Medikamenten machen, sind die persönliche Einschätzung der Autoren. Sie ersetzen nicht die Empfehlungen des Herstellers oder des behandelnden Arztes oder Apothekers.