Anabolika fördern die Hirnalterung

Anabolika lassen zwar den Körper kräftig erscheinen. Doch gleichzeitig sorgen sie wohl dafür, dass das Gehirn schneller altert.

Neurologie , Sportmedizin

Hirnmetastasen: Lokal intensives Vorgehen vorteilhaft

Mit einer hypofraktionierten stereotaktische Radiotherapie kann nach neurochirurgischer Resektion von Hirnmetastasen eine gute lokale Kontrolle…

Onkologie und Hämatologie , Neurologie

Bei Frauen sinkt die kognitive Leistung im Alter schneller

Einerseits scheinen Frauen eine größere kognitive Reserve zu besitzen als Männer. Andererseits bauen sie offenbart im Alter kognitiv schneller ab.…

Neurologie

Shisharauchen steigert das Schlaganfallrisiko

Patienten mit hohem Schlaganfallrisiko sollten lieber die Finger von Shishas lassen, denn sonst droht nicht nur ein tatsächlicher Hirninsult, sondern…

Angiologie , Neurologie

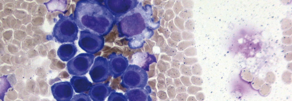
Meningeosis neoplastica: ohne Liquor keine Diagnose

Fällt ein Tumorpatient durch eine untypische Kombination fokal-neurologischer Symptome auf, liegt der Verdacht auf eine Meningeosis neoplastica…

Neurologie , Onkologie und Hämatologie

Fast jeder dritte Schlaganfall-Patient wird harninkontinent

Die Harninkontinenz gehört zu den häufigen Folgen eines Schlaganfalls. Doch trotz ihrer großen Bedeutung für die Betroffenen, scheint sie in der…

Neurologie , Urologie

Schlaf und Atmung

Therapiealternative: Zwerchfell-Schrittmacher

Schlafbezogene Atmungsstörungen (SBAS) erfahren zunehmend mehr Aufmerksamkeit in der Inneren Medizin, insbesondere bei Patienten mit kardiovaskulären,…

Neurologie