Geben Sie Ihre E-Mail-Adresse und Ihr Passwort ein, um sich an der Website anzumelden:
Passwort vergessen?
Ein Ginkgo-Spezialextrakt feiert 50. Geburtstag: Seit 1965 findet das Arzneimittel aus den Blättern von Ginkgo biloba erfolgreich Anwendung, allen…
Anhaltender Stress kann zu psychischen Erkrankungen führen und sich negativ auf das Immunsystem, den Schlaf und auf die kardiovaskuläre Gesundheit…
Akute Peroneus-Paresen können dramatische Folgen haben oder harmlos sein. Welche Differentialdiagnosen müssen Sie im Blick haben? Welche Diagnostik…
Die Multisystematrophie präsentiert sich mit einem bunten Bild von klinischen Auffälligkeiten. Wie Sie die Symptome richtig zuordnen, erläutert eine…
Vorhofflimmern und Herzinsuffizienz erhöhen das Risiko für einen ischämischen Schlaganfall – doch auch das Herz ist gefährdet, wenn Patienten bereits…
Häufig wird das Thema Alkoholabhängigkeit vor allem mit sozial und finanziell schlechter Gestellten assoziiert. Dabei müsse bei viel mehr Patienten an…
Patienten reagieren oft sehr unterschiedlich auf Medikamente. Ursächlich dafür kann die individuelle genetische Ausstattung sein. Seit einiger Zeit…
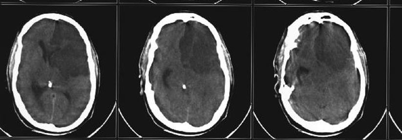
Schlaganfälle, besonders kleine lokale, zeichnen sich durch eine Vielzahl von Symptomen aus, die sich mit anderen Krankheitsbildern decken. Wie…
Periphere Nervenverletzungen treten am häufigsten in Zusammenhang mit Unfällen auf, aber auch iatrogen, insbesondere im Rahmen von Operationen. Die…
Zytostatika ziehen häufig chemotherapieinduzierte Neuropathien (CIN) nach sich. Leider sind die Präventions- und Therapiemöglichkeiten der CIN sehr…