Frostige Vergiftung: Kälteschmerz nach Fischgenuss

Von Missempfindungen und Kälteschmerz bis hin zur Ohnmacht: Charakteristisch für die Ciguatera-Fischvergiftung sind ihre neurologischen Symptome.…

Neurologie , Psychiatrie

"Asthma heilt in zehn Hypnose-Sitzungen"

Asthma und Allergien mit Hypnose heilen? Das funktioniert, sagt der Präsident der Deutschen Gesellschaft für Autosystemhypnose, Götz Renartz.…

Psychiatrie , Neurologie

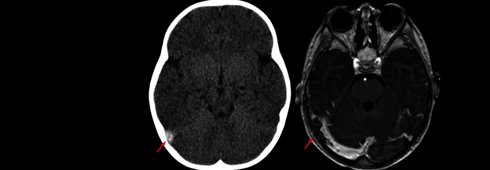
Großes Hirn = großer Verstand? Einmal Versuchskaninchen bei einer Kernspinstudie zur Intelligenz

Kann man von verschiedenen Parametern im MRT auf Eigenschaften wie Intelligenz oder Allgemeinwissen schließen? Das versuchen Bochumer Wissenschaftler…

Neurologie

Chronisch müde Patienten sind nur schwer von ihrem Schlafdefizit zu überzeugen

Lernen bis spät in die Nacht, ständige Schichtarbeit oder ein Säugling, der einen nicht schlafen lässt – all diese Umstände können zu chronischer…

Neurologie

Adipositas

Unterstützung bei der Gewichtsreduktion

Mit der Kombination Naltrexon/Bupropion wird nach Zulassung in den USA und der EU ab Anfang 2018 auch in Deutschland ein neues Medikament für die…

Neurologie , Diabetologie

Parkinson per Hautbiopsie frühzeitig erkennen?

Schon Jahre bevor erste motorische Symptome auftreten, lässt sich laut deutschen Neurologen eine drohende Parkinson-Erkrankung durch einen Hauttest…

Neurologie

Demenzdiagnostik und -therapie

Was ist wichtig in der Hausarztpraxis?

Ist eine frühe Diagnostik bei Demenz sinnvoll? Warum ist die Bildgebung hierbei so wichtig? Welche Diagnose-Tests stehen für die Hausarztpraxis zur…

Neurologie , Geriatrie