Hämochromatose

Warnsignal erhöhtes Ferritin

Ein erhöhter Ferritinspiegel kann eine Reihe von Ursachen haben. Ein wichtiger, aber oft unerkannter Auslöser ist die hereditäre Hämochromatose. Der…

Onkologie und Hämatologie

Rektumkarzinom

FOLFOX oftmals gleichwertig

Der amerikanische Standard einer Chemoradiotherapie für lokal fortgeschrittene Rektumkarzinome wackelt. In einer aktuellen Studie erwies sich ein…

Onkologie und Hämatologie , Gastroenterologie

Kutanes Angiosarkom

Bringt Tumortherapeutika ins Zellinnere

Eine Elektrochemotherapie kann zur lokalen Kon­trolle kutaner Angiosarkome beitragen. Sie ging mittlerweile in die nationale S1-Leitlinie für diese…

Dermatologie , Onkologie und Hämatologie ADO 2023

Methämoglobinämie

Blut wie flüssige Schokolade

Ein 25-Jähriger wird mit zentraler Zyanose und Dyspnoe in die Notaufnahme gebracht. Dort fallen seine schiefergraublaue Hautfarbe und braunrotes Blut…

Onkologie und Hämatologie

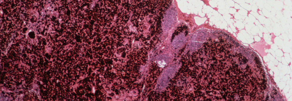
Sentinelbiopsie

Lymphknoten lieber belassen

Ein Lentigo maligna Melanom (LMM) entwickeln vor allem ältere Patienten typischerweise im Bereich von Kopf und Hals. Im Gegensatz zu anderen Melanomen…

Dermatologie , Onkologie und Hämatologie

Soziale Ungleichheit

Es braucht qualitativ hochwertige Studien mit Schilddrüsenkrebs-Patienten aus Ländern mit unterschiedlich hohen Einkommen

Ultraschallunter­suchung der Thyroidea, systemische Therapien beim fortgeschrittenen Karzinom – global betrachtet, gibt es einige positive…

Onkologie und Hämatologie , Endokrinologie

AML

Entscheidung für oder gegen eine alloHSCT hängt von vielen Faktoren ab

Die Abwägung zwischen zu erwartender Verbesserung des krankheitsfreien Überlebens und behandlungsbedingter Mortalität beeinflusst auch heute noch…

Onkologie und Hämatologie