Prostatakrebs

Zweit-Generations-Antiandrogene begünstigen kognitive Defizite, Fatigue und Stürze

Die Androgenentzugstherapie: Eine wichtige Behandlungssäule für Männer mit fortgeschrittenem Prostatakarzinom. Die Wirkstoffe der zweiten Generation…

Onkologie und Hämatologie , Urologie

CAR-T-Zell-Therapie

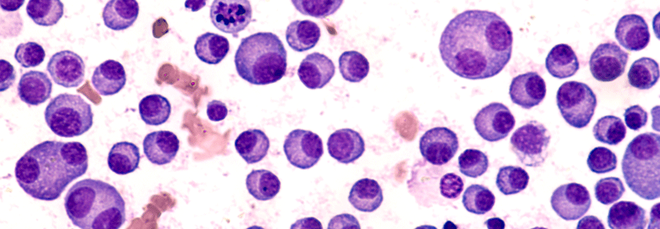
Erste Daten der KarMMa-3-Studie verfügbar

Kürzlich wurden erstmals Ergebnisse der Phase-3-Studie KarMMa-3 präsentiert. Darin verlängerte die Behandlung mit dem CAR-T-Zell-Präparat…

Medizin und Markt Onkologie und Hämatologie

Oligometastasiertes Prostatakarzinom

Bestrahlung plus Hormontherapie verbessern Prognose

Die Kombination aus Hormontherapie und Bestrahlung scheint für Patienten mit oligometastasiertem Prostatakarzinom Vorteile zu bringen: Im Vergleich…

Onkologie und Hämatologie , Urologie

Gestörter Stuhltest

NSAR und vermutlich NOAK senken Vorhersagewert für fortgeschrittene Kolonkarzinome

Der Stuhltest auf okkultes Blut (FOBT) verliert durch die Einnahme mancher Schmerzmittel an Aussagekraft.

Gastroenterologie , Onkologie und Hämatologie

Interview mit Prof. Dr. Tanja Zimmermann

Was Onkolog:innen und Angehörige tun können, damit die Kleinen nicht vergessen werden

Eine Krebsdiagnose verändert das Leben der gesamten Familie schlagartig. Nicht nur die Patient:innen brauchen Unterstützung, sondern auch ihre Kinder.…

Onkologie und Hämatologie

Krebskranke Kinder

Erfahrungen mit der Medikamentenwahl 

Am Ende ihres Lebens benötigen viele Krebspatient:innen eine palliative Sedierung. Im Gegensatz zur Erwachsenenpalliativmedizin existieren für Kinder…

Onkologie und Hämatologie , Neurologie , Palliativmedizin und Schmerzmedizin

HR+/HER2- Mammakarzinom

Dalpiciclib in der Erstlinie wirksam

Brustkrebs Patientinnen, die trotz endokriner Therapie einen Tumorprogress erlitten haben, profitieren von einer Behandlung mit Dalpiciclib zusätzlich…

Onkologie und Hämatologie , Gynäkologie