Mammakarzinom

Ki67 als Marker für endokrine Sensitivität nutzen

Prognostische und prädiktive Faktoren gewinnen bei der Behandlung von Brustkrebspatientinnen zunehmend an Bedeutung. Wichtig ist, dass sie auf hohem…

Onkologie und Hämatologie , Gynäkologie AGO Mamma 2022

S3-Leitlinie zum Multiplen Myelom

„Molekulargenetische Untersuchungen unbedingt in der Routine durchführen“

Erstmals ist in Deutschland eine S3-Leitlinie zur Dia­gnostik, Therapie und Nachsorge des Multiplen Myeloms unter der Federführung der Deutschen…

Onkologie und Hämatologie

Endometriumkarzinom

Anhaltendes Ansprechen

Dostarlimab ist zugelassen für Frauen mit rezidiviertem/fortgeschrittenem Endometriumkarzinom und Mismatch-Reparatur-Defizienz /hoher…

Medizin und Markt Onkologie und Hämatologie , Gynäkologie

DLBCL

CAR-T-Zellen jetzt auch für die Zweitlinie?

Gibt es bald eine dritte CAR-T-Zell-Therapie für Patient:innen mit r/r DLBCL? Zumindest deuten die Daten der Phase-3-Studie Transform darauf hin:…

Medizin und Markt Onkologie und Hämatologie

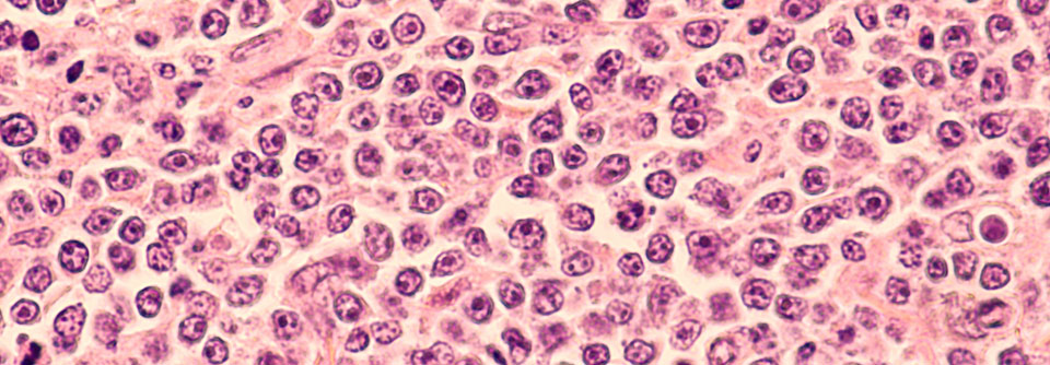
B-Zell-Lymphome

DNA im Verdacht

Die Einführung von Rituximab hat die Prognose von Patienten mit B-Zell-Lymphomen erheblich verbessert. Allerdings profitieren nicht alle Erkrankten…

Onkologie und Hämatologie

Plattenepithelkarzinom des Ösophagus

Patienten leben länger durch Erstlinien-Checkpoint-Inhibition

Die Erstlinientherapie mit Checkpoint-Hemmern kann das Überleben von Erkrankten mit fortgeschrittenem Speiseröhrenkrebs verlängern. In der…

Onkologie und Hämatologie , Gastroenterologie

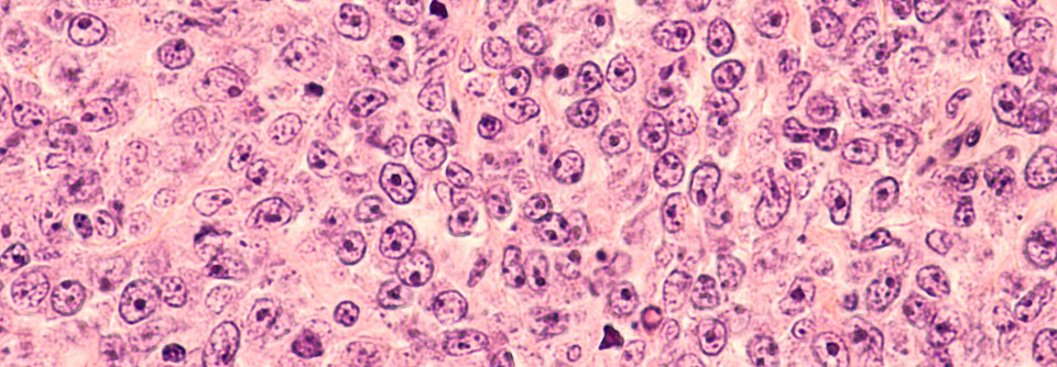
Großzelliges B-Zell-Lymphom

Fünf Jahre später ...

In der ZUMA-1-Studie wird Axicabtagen Ciloleucel bei Patienten mit rezidiviertem/refraktärem großzelligem B-Zell-Lymphom geprüft. Mittlerweile stehen…

Medizin und Markt Onkologie und Hämatologie