Barret-Ösophagus

Trotz(t) Überwachung

Endoskopische Untersuchungen sollen bei Barret’s Ösophagus Tumorvorstufen frühzeitig entdecken. Mindestens ein Viertel der Malignome wird jedoch im…

Onkologie und Hämatologie , Gastroenterologie

Knochenmetastasen

Vor Osteoprotektion Zahnstatus prüfen

Krebspatient:innen mit Knochenmetastasen profitieren von einer osteoprotektiven Therapie, etwa mit Denosumab. Das Ziel der Behandlung besteht darin,…

Medizin und Markt Onkologie und Hämatologie

AML und CCA

IDH1-Mutation im Visier

Ivosidenib ist eine neue Option für Personen mit IDH1-mutierter AML und IDH1-mutiertem, lokal fortgeschrittenem oder metastasiertem Cholangiokarzinom.…

Medizin und Markt Onkologie und Hämatologie

Graft-versus-Host-Erkrankung

Zweitlinie mit Ruxolitinib früh einleiten

Ruxolitinib ist zur Behandlung von Patient:innen mit akuter und chronischen GvHD zugelassen, die auf Kortikosteroide und andere systemische Therapien…

Medizin und Markt Onkologie und Hämatologie

CAR-T-Zell-Therapien

Auf dem Weg in frühere Linien

CAR-T-Zellen scheinen nicht nur in Studien zu wirken. Wie Real-World-Daten andeuten, ist auch im Praxisalltag ein Benefit in der Behandlung des LBCL…

Medizin und Markt Onkologie und Hämatologie

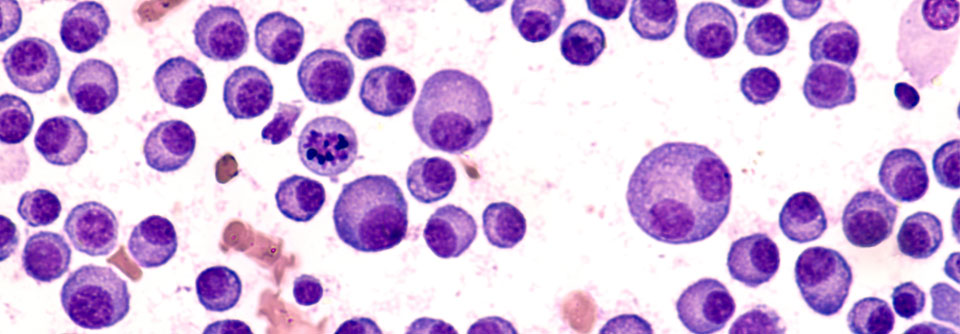
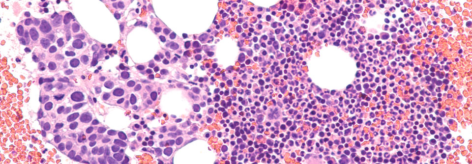
Multiples Myelom

Vier sind besser als drei

Transplantationsfähige Erkrankte mit neu diagnostiziertem Multiplem Myelom profitieren von einer Vierfachkombination mit einem CD38-Antikörper. Die…

Medizin und Markt Onkologie und Hämatologie

Kutanes Plattenepithelkarzinom

Systemtherapie gewinnt an Bedeutung

Eine Systemtherapie sollte in bestimmten Fällen des lokal fortgeschrittenen Plattenepithelkarzinoms geprüft werden. Mit dem PD1-Antikörper Cemiplimab…

Medizin und Markt Onkologie und Hämatologie