Im Rahmen unserer Website-Modernisierung arbeiten wir kontinuierlich daran, Ihnen noch bessere und aktuellere Informationen zu bieten. Diese Seite wird in Kürze mit frischen Inhalten und einem zeitgemäßen Design überarbeitet.

Pneumothorax

Definition

Als Pneumothorax bezeichnet man ein Eindringen von Luft in den Pleuraspalt, in dem normalerweise ein Unterdruck herrscht. Dadurch kommt es durch die elastischen Zugkräfte zu einem Kollaps der Lungenflügel.

Eine Sonderform ist der Spannungspneumothorax (etwa 3% der Fälle), bei dem mit jedem Atemzug Luft in den Pleuraspalt gerät, die bei Ausatmung nicht entweichen kann. Dadurch kommt es zu einem zunehmenden Druckanstieg mit Kompression der gesunden Lunge und Behinderung des venösen Rückstroms.

Je nach Ätiologie unterscheidet man folgende Formen:

Spontanpneumothorax

  • Primär (Idiopathisch, PSP): häufigste Form, bevorzugt jüngere asthenische Männer, Rauchen gilt als Risikofaktor, wahrscheinlich durch Platzen subpleural gelegener Emphysemblasen, hohes Rezidivrisiko
  • sekundär (bei Lungenerkrankungen)

Traumatischer Pneumothorax

  • z.B. bei penetrierenden Thoraxverletzungen, Rippenfrakturen u.ä.

Iatrogener Pneumothorax

  • z.B. nach Pleurapunktion, Subklaviakatheter, Überdruckbeatmung etc.

Die Häufigkeit des primären Spontanpneumothorax liegt bei Männern bei etwa 18-28/100.000, bei Frauen in 1,2-6/100.000. Der sekundäre Spontanpneumothorax ist deutlich seltener (Männer 6 /100.000, Frauen 2/100.000).

ICD10-Code: J93, S27.0

Anzeige
Symptomatik
  • stechende Schmerzen auf der betroffenen Thoraxseite
  • Dyspnoe (evtl. Tachypneu, Hustenreiz)
  • asymmetrische Thoraxbewegungen („Nachhinken“)
  • bei traumatischem oder iatrogenem Pneumothorax evtl. Hautemphysem an der Verletzungsstelle
  • Bei Spannungspneumothorax zunehmende Dyspnoe, Zyanose, Tachykardie, Einflussstauung, respiratorische Insuffizienz, Schock
Anzeige
Untersuchung

Bei der Anamnese sollte nach früherem Pneumothorax, Thoraxtrauma und entsprechenden ärztlichen Eingriffen gefragt werden.

Perkussion/Auskultation: hypersonorer Klopfschall und abgeschwächtes Atemgeräusch auf der betroffenen Seite

Die alleinige Auskultation erlaubt keinen Ausschluss eines Pneumothorax, hierzu ist immer ein Röntgenbild erforderlich.

Mehr zum Thema

Vorsicht bei der transbronchialen Lungenbiopsie. Noch Tage später kann sich ein Pneumothorax entwickeln. Statt einer Kontrollaufnahme direkt nach dem…

mehr
Bildgebung
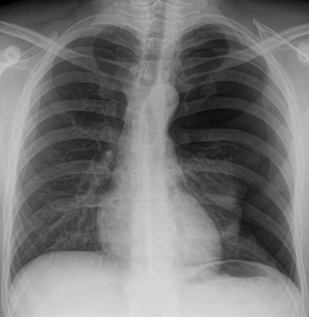
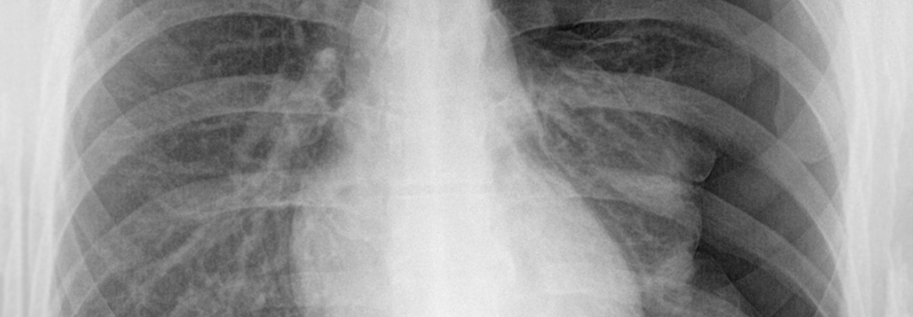
Ein linksseitiger Spannungspneumothorax vor (oben) und nach (unten) Anlage einer Thoraxdrainage. Gut zu sehen ist die Verlagerung des Mediastinums hin zur gesunden Seite. © wikipedia.org/Cupr78up, CC BY-SA 3.0
© wikipedia.org/Hellerhoff, CC BY-SA 3.0
Labor

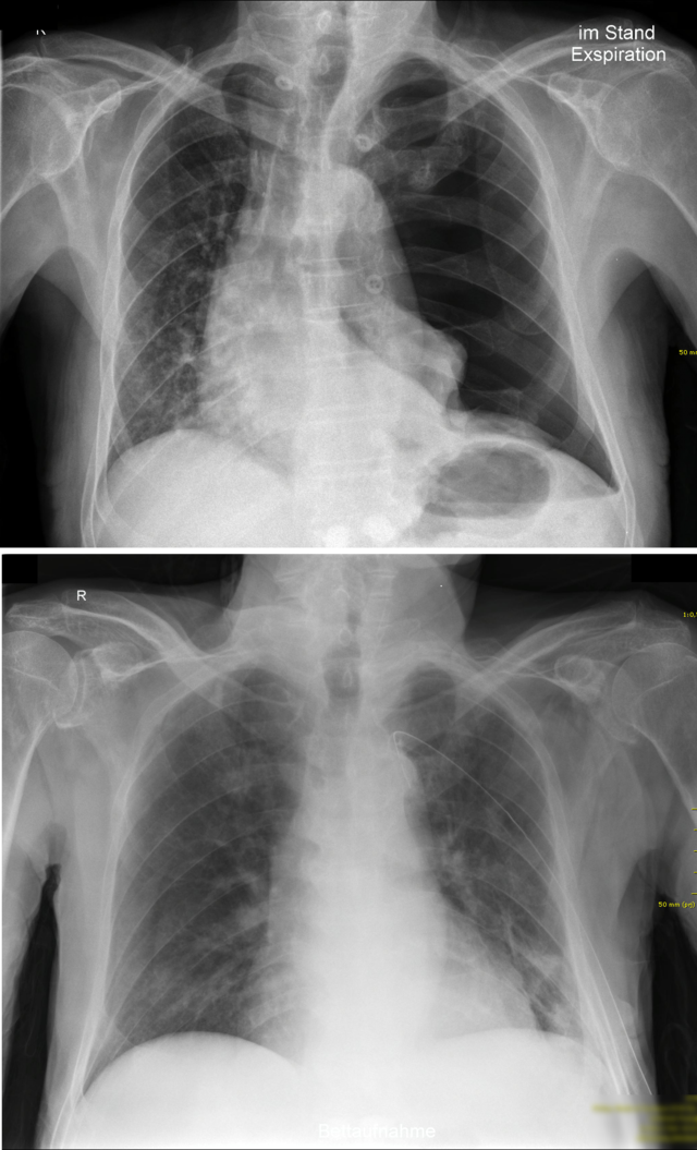
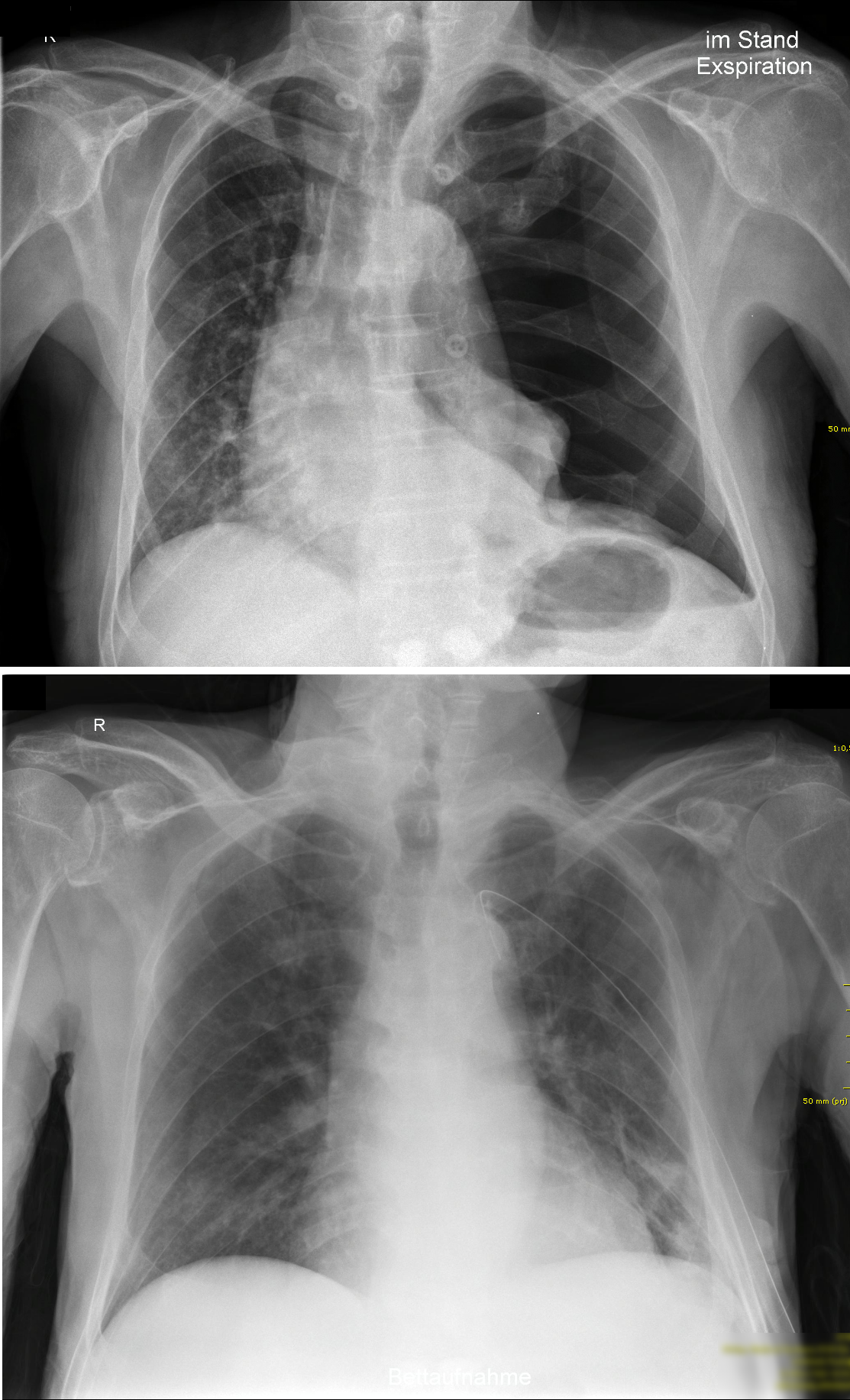
Am besten lässt sich ein Pneumothorax im Röntgenthorax (in Expiration und Inspiration) oder im CT darstellen.

Nach Eingriffen wie Pleurapunktion oder Legen eines Subklavia-Katheters sollte immer eine Röntgen-Throaxaufnahme erfolgen, um einen iatrogenen Pneumothorax auszuschließen.

In Notfallsituation lässt sich der Pneumothorax auch in der Sonographie erkennen.

Anzeige
Differenzialdiagnostik

Mögliche Differenzialdiagnosen beim Spontanpneumothorax sind:

  • Pleuritis
  • Lungenembolie
  • Herzinfarkt
  • Perikarditis
Mehr zum Thema

KI für Pneumothoraxerkennung

Die Entscheidung, ob es sich auf dem Röntgenbild um einen Pneumothorax handelt oder nicht, könnte schon bald eine Künstliche Intelligenz treffen.…

mehr
Pharmakotherapie und nichtinvasive Therapie

Bei sehr geringer Ausdehnung (bis zu einem Querfinger) und fehlenden Symptomen kann man unter Umständen zuwarten, bis die Luft resorbiert ist.

Mehr zum Thema

Die übliche Drainagebehandlung des Pneumothorax ist keineswegs frei von Risiken. Ein Forscherteam hat deshalb geprüft, ob Abwarten nicht ebenso…

mehr
Invasive und Interventionelle Therapie

Falls die Möglichkeit besteht, ist die thorakoskopische Behandlung Mittel der ersten Wahl.

Ansonsten kommt eine Pleurasaugdrainage in Frage:

  • Pleurapunktion im 2. ICR medioklavikular (oder im 4. ICR in der hinteren Axillarlinie) am Rippenunterrand
  • Nach initialem Ansaugen Dauersog mit circa 10 cm H2O
Mehr zum Thema

Ohne den Unterdruck im Pleuraspalt hat die Lunge kaum noch Chancen, den Atembewegungen zu folgen. Eine Thoraxdrainage entfernt die möglichen…

mehr

Welches ist das beste Verfahren, um einen primären Spontanpneumothorax zu behandeln? Im Hinblick auf die Rezidivrate fällt die Antwort eindeutig aus:…

mehr
Prävention

Um ein Rezidiv zu vermeiden, sollten Patienten mit Spontanpneumothorax Tauchsport vermeiden und nicht rauchen.

Gegen Flugreisen bestehen nur Bedenken bei größeren Emphysemblasen.

Notfallmanagement

Beim Spannungspneumothorax muss sofort eine notfallmäßige Entlastung erfolgen.

Dazu erfolgt mit einer großlumigen Kanüle eine Punktion im 2. ICR medioklavikular. Ein eingeschnittener Gummifingerlinge oder ein Notfallventil sorgen dafür, dass die Luft entweichen, aber nicht eingesaugt werden kann.

Mehr zum Thema

Wenn Patienten unter Luftnot leiden, gilt es abzuklären, ob ein Asthma, eine Fibrose, eine COPD oder das Herz dahinter stecken.

mehr
Leitlinien

Die Leitlinie für Erwachsene befindet sich im Moment in Überarbeitung.

Deutsche Gesellschaft für Pädiatrische Kardiologie (DGPK):
Thoraxschmerzen im Kindes- und Jugendalter

Herold G et al.: Innere Medizin 2017. Eigenverlag, Köln 2017.

Mehr zum Thema

Pro Jahr sehen Deutschlands Ärzte rund 10 000 Spontanpneumothoraces. Die Therapie richtet sich maßgeblich nach der Unterscheidung zwischen primärer…

mehr
Abrechnung

Verschenken Sie kein Honorar: Das „Gebühren-Handbuch digital“ ist die ideale Weiterentwicklung der Printausgabe des bekannten „Medical Tribune Gebühren-Handbuchs“ - statt 2000 Buchseiten der schnelle digitale Zugriff.

Was Ihnen die Abrechnung leichter macht:

  • die immer aktuelle Fassung von EBM und GOÄ (Einheitlicher Bewertungsmaßstab und Gebührenordnung für Ärzte)
  • Tipps und Experten-Kommentare zur Honorarabrechnung (EBM/GOÄ), graphisch aufbereitet und leicht verständlich
  • Kommentare von Kollegen lesen und selbst kommentieren
  • persönliche Notizen und Lesezeichen setzen

Zum Gebühren-Handbuch digital »

Fortbildungen

Keine Fortbildung für diesen Fachbereich gefunden

Alle Fortbildungen




Diese Informationen dienen ausschließlich der Aus- und Weiterbildung von Angehörigen und Studenten der medizinischen Fachkreise (z.B. Ärzte) und enthalten nur allgemeine Hinweise. Sie dürfen nicht zur Selbstdiagnose oder -behandlung verwendet werden und sind kein Ersatz für eine ärztliche Beratung oder Behandlung. Die jeweiligen Autoren haben die Inhalte nach bestem Wissen gepflegt. Dennoch sollten Sie die Informationen stets kritisch prüfen und mit zusätzlichen Quellen vergleichen. Die Autoren und die Betreiber von medical-tribune.de übernehmen keine Haftung für Schäden, die durch nicht-kontrollierte Anwendung von Empfehlungen und Inhalten entstehen. Beiträge, die Angaben zum Einsatz und zur Dosierung von Medikamenten machen, sind die persönliche Einschätzung der Autoren. Sie ersetzen nicht die Empfehlungen des Herstellers oder des behandelnden Arztes oder Apothekers.