Im Rahmen unserer Website-Modernisierung arbeiten wir kontinuierlich daran, Ihnen noch bessere und aktuellere Informationen zu bieten. Diese Seite wird in Kürze mit frischen Inhalten und einem zeitgemäßen Design überarbeitet.

Tuberkulose

Definition

Die Tuberkulose (TBC) ist eine weltweit verbreitete Infektionskrankheit, die durch Mykobakterien verursacht wird. Der mit Abstand häufigste Erreger ist Mycobacterium tuberculosis.

Man schätzt, dass weltweit ein Drittel der Menschen mit Tuberkulosebakterien (TB) infiziert ist, wovon etwa 5-10% im Laufe ihres Lebens an manifester Tbc erkranken. 95% der Erkrankungen treten in armen Ländern auf, was der schlechten Gesundheitsversorgung und der HIV-Epidemie geschuldet ist.

In den Industrienationen ist die Inzidenz der TBC in den letzten Jahrzehnten kontinuierlich gesunken. Seit 2015 ist in Deutschland aber erstmals wieder ein Anstieg zu verzeichnen, was vor allem auf die vermehrte Migration aus Epidemiegebieten zurückzuführen ist.

In der Regel erfolgt die Übertragung von Mensch zu Mensch über Aerosole. Die Infektion führt zur manifesten Erkrankung, wenn Zahl und Virulenz der TB hoch sind und/oder die Abwehrlage der Infizierten eingeschränkt ist. Bei Personen mit intaktem Immunsystem erkranken circa 5-10% der Infizierten an TBC. Kinder unter 5 Jahren haben mit einer Erkrankungsrate von bis zu 40% ein deutlich höheres Risiko.

Begünstigt wird die Erkrankung durch folgende Faktoren:

  • Mangelernährung
  • Stress
  • sehr hohes oder sehr junges Lebensalter
  • Langzeittherapie mit Kortikosteroiden -Immunsuppressiva (z.B. anti TNFα, Zytostatika)
  • Diabetes mellitus
  • Alkoholkrankheit und Drogenabhängigkeit
  • HIV-Infektion/AIDS und andere Immundefekte
  • Silikose
  • Hodgkin/Non-Hodgkin-Lymphome, Leukämien und andere Tumorerkrankungen

Man unterscheidet folgende Stadien:

Latente tuberkulöse Infektion

  • Erstinfektion mit erfolgreicher Eindämmung der Erreger ohne Entstehung einer Primärinfektion
  • Nach 8 Wochen positiver Tuberkulin-Hauttest oder Interferon γ-Test

Primärtuberkulose

  • Aller Krankheitserscheinungen infolge einer ersten Organmanifestation
  • Meist intrapulmonale spezifische Herde mit lokaler Lymphknotenreaktion
  • Häufig asymptomatisch oder B-Symptomatik
  • Komplikationen und andere Organmanifestationen sind: Hiluslymphknoten-Tbc, Pleuritis tuberkulosa, Meningitis tuberkulosa, Miliartuberkulose (hämatogene Generalisation), Käsige Pneumonie mit oder ohne Einschmelzungen Sepsis (selten)

Postprimäre Tuberkulose

  • Organtuberkulose nach durchgemachter Tuberkulose mit zeitlicher Latenz (bis zu Jahrzehnten)
  • Circa 80% Lungen-TBC, 20% extrapulmonal
  • Mehrzahl der Tuberkulosefälle entstehen bei uns durch endogene Reaktivierung

Von einer „offenen“ TBC spricht man, wenn ein Herd Anschluss an einen Bronchus hat und Erreger im Sputum nachgewiesen werden.

ICD10-Code: A15-A19

Mehr zum Thema

Bei kranken Flüchtlingen kommen auch exotische, in Deutschland nicht verbreitete Infekte infrage. Das RKI hat wichtige Informationen zu Diagnose und…

mehr
Anzeige
Symptomatik

In circa 15% der Fälle treten keine Symptome auf und die Tbc wird nur zufällig entdeckt.

B-Symptomatik:

  • subfebrile Temperaturen
  • Nachtschweiß
  • Appetitverlust und Gewichtsabnahme
  • Schwäche

Bronchopulmonale Symptome:

  • Husten, Auswurf, Dyspnoe, Brustschmerz, Hämoptysen (im fortgeschrittenem Stadium)
Anzeige
Untersuchung

Bei der Anamnese sollte nach Tuberkulosefällen in der Familie oder näheren Umgebung, selbst durchgemachter Tuberkulose und resistenzmindernden Faktoren gefragt werden. Auch das Herkunftsland und enger Kontakt mit TBC-Risikogruppen sind von Bedeutung.

Der körperliche Untersuchungsbefund ist oft unauffällig.

Mehr zum Thema

Viele Tuberkulose-Patienten sprechen nicht mehr auf die gängigen Antibiotika an. Eine Testung sämtlicher Tuberkulostatika mit Kulturen ist jedoch…

mehr

Der Erfolg der Tuberkulosetherapie lässt sich mit der minimalen Hemmkonzen­tration gängiger Antituberkulostatika vorhersagen. Patienten mit hohen…

mehr

Es braucht schon einen guten Grund, um bei einem klinisch gesunden Menschen nach einer latenten Infektion mit M. tuberculosis zu suchen. Die…

mehr

Nur ein harmloser Harnwegsinfekt? Viele Ärzte haben bei urogenitalen Infektionen Tuberkulose und Parasiten als Differenzial­diagnosen nicht auf dem…

mehr

Tuberkulose

Eine Online-Befragung unter Verantwortlichen in den Gesundheitsämtern bringt es an den Tag: Zu Zeiten der Pandemie lässt die Tuberkuloseversorgung…

mehr

Extrapulmonale Tuberkulose

Tuberkulose bedeutet nicht automatisch Befall der Lunge. Etwa jede vierte spielt sich ausschließlich extrapulmonal ab – Tendenz steigend. Oft dauert…

mehr
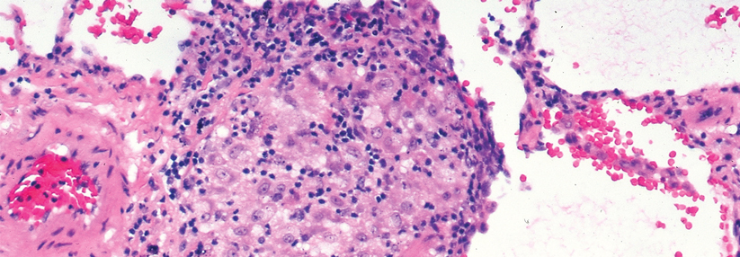
Bildgebung
© CDC/Dr. George P. Kubica
Labor

Im Labor können unspezifische Entzündungszeichen (z.B. eine erhöhte BSG) auf eine Tbc hinweisen.

Für den Nachweis einer Sensibilisierung können folgende Tests verwandt werden:

Interferon-γ-Test (IGRA)

  • Wird nicht durch BCG-Impfung und die meisten Umwelt-Makobakterien beeinflusst
  • Sensitivität > 80%, Spezifität > 90%
  • Kann primär (oder als Ergänzung zum Tuberkulin-Hauttest) zur Diagnose einer Tbc-Infektion eingesetzt werden
  • Keine Unterscheidung zwischen latenter und aktiver TBC möglich

Tuberkulin-Hauttest (Intrakutantest nach Mendel-Mantoux)

  • In Deutschland meist nur noch bei Kindern angewendet
  • Falsch positive Resultate durch BCG-Impfung oder Umwelt-Mykobakterien
  • Falsch negative Resultate u.a. durch hochakute TBC, erworbene Immunschwäche, Zustand nach Virusinfektionen
  • Sensitivität 70% (negativer Test schließt TBC nicht aus)

Wichtiges Ziel der Diagnostik ist der direkte Erregernachweis. Für die bakteriologische Untersuchung kann folgendes Material verwendet werden:

  • Sputum (2-3x an aufeinanderfolgenden Tagen, auch provoziert)
  • Bronchialsekret (bronchoskopisch oder durch bronchioalveoläre Lavage gewonnen)
  • Magennüchternsaft (v.a. bei Kindern und wenn Bronchoskopie nicht möglich)
  • Urin- bzw. Stuhl (bei Verdacht auf Urogenital- oder Abdominaltuberkulose)
  • Liquor (bei Verdacht auf Meningitis)
  • evtl. Biopsien (z.B. Lymphknoten)

Folgende Untersuchungen können mit dem Material durchgeführt werden:

  • Mikroskopie (negativer Befund spricht nicht gegen aktive Tbc)
  • Mehrfache Kultur mit Resistogramm (dauert mehrere Wochen
  • Nukleinsäureamplifikationstechniken wie PCR (dauert 1-2 Tage)
  • PCR-basierte Schnellresistenzverfahren
  • molekularbiologische Methoden (DNA-finger-printing) zum Nachweis von Infektionsketten

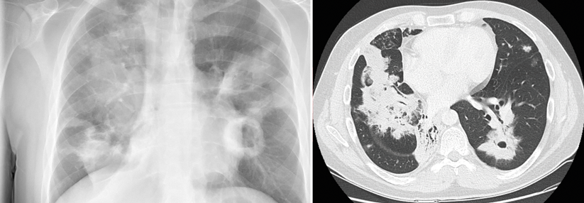
Thorax-Röntgen

  • Kleine retroklavikuläre Infiltrate oft nicht erkennbar (besser CT)
  • Bei Verdacht auf frische Infektion Kontrollaufnahme frühestens nach 3 Monaten
Mehr zum Thema

Um die Verdachts­diagnose einer Lungentuberkulose zu bestätigen, braucht es einen langen Atem. Die mikrobielle Diagnostik dauert schon mal mehrere…

mehr
Anzeige
Differenzialdiagnostik

Wichtigste Differentialdiagnose ist das Bronchialkarzinom.

Weitere Differenzialdiagnosen sind u.a.:

  • chronische Bronchitis
  • Pneumonie
  • Viruserkrankungen
  • Lungenmykose (Histoplastose)
  • Aktikomykose
  • Nocardiose
  • Silikose
  • Sarkoidose
Mehr zum Thema

Schon seit fünf Jahren hatte ein 60-Jähriger einen Abszess am Hals, der mehrfach erfolglos mit Antibiotika behandelt worden war. In den letzten Wochen…

mehr

Angesichts der Zuwanderung aus Afrika sollte man auch die Knochentuberkulose auf dem Schirm haben. Verwechslungsgefahr besteht z.B. mit der…

mehr

Als der Röntgenthorax eines 33-Jährigen Hohlraumbildungen in den oberen Lungenlappen zeigt, scheint die Diagnose eindeutig: Tuberkulose. Doch die…

mehr
Pharmakotherapie und nichtinvasive Therapie

Antituberkulöse Therapie

Zur Vermeidung von Resistenzen werden grundsätzlich mehrere Antituberkulose-Medikamente kombiniert.

Standardtherapie der unkomplizierten TBC beim Erwachsenen:

  • Viererkombination mit Isoniazid (INH), Rifampicin, Pyrazinamid, Ethambutol für zwei Monate
  • Danach INH und Rifampicin für weitere vier Monate

Voraussetzungen für diese Standardtherapie:

  • Keine Resistenz gegenüber einem der hier eingesetzten Medikamente
  • Falls noch keine Resistenzprüfung vorliegt, keine Risikofaktoren für eine Resistenz wie Vorbehandlung einer Tbc oder Herkunft aus einem Land mit hoher Resistenz-Prävalenz
  • Die Medikamente werden ausnahmslos vertragen (bzw. keine Kontraindikationen)
  • Bei Nichtansprechen müssen Resistenzkontrollen erfolgen.

Bei Verdacht oder bestätigten Resistenzen, Kontraindikationen oder Unverträglichkeiten der Erstrang-Medikamente müssen Reserve- oder Zweitrang-Medikamenten eingesetzt werden. Dieser sind häufig weniger gut wirksam oder schlechter verträglich, was oft eine längere Therapiezeit erforderlich macht. Bei multiresistenten Tuberkulosen muss die Gesamttherapiezeit oft auf 18 bis 24 Monate ausgedehnt werden.

Nicht-Medikamentöse Maßnahmen

Resistenz-mindernde Begleiterkrankungen sollten adäquat behandelt werden. Außerdem sollte den Patienten ein Alkohol- und Tabakverzicht empfohlen werden.

Bei fragwürdiger Compliance sollte die Medikamenteneinnahme überwacht werden.

Mehr zum Thema

Multiresistente und extensiv resistente (M/XDR) Tuberkulosestämme breiten sich immer mehr aus. Die meisten Infizierten können geheilt werden, aber mit…

mehr

Das Risiko der Reaktivierung einer Tuberkulose macht bei TNF-α-Inhibitoren entsprechende Maßnahmen erforderlich. Aber auch bei Antikörpern gegen…

mehr

Tuberkulose

Die Behandlung einer Tuberkulose ist normalerweise ein langwieriger Prozess über sechs Monate hinweg. Doch eine neue Option mit Rifapentin in…

mehr

Latente Tuberkulose

In 5–15 % der Fälle geht eine latente Tuberkulose irgendwann in ein aktives Stadium über. Dies zu verhindern, ist sowohl für den Einzelnen als auch…

mehr

Tuberkulosetherapie

Wenn die Tuberkulosetherapie nicht wirkt wie vorhergesehen, hilft das therapeutische Drug Monitoring bei der Ursachenfahndung. Um das Ergebnis…

mehr

Medikamentös bedingte Leberschädigung

Frühe Zeichen einer Leberschädigung durch Tuberkulosemedikamente werden oftmals übersehen. Doch ist ein rechtzeitiger Stopp der Therapie essenziell,…

mehr
Invasive und Interventionelle Therapie

Operative Maßnahmen:

Bei erfolgloser antituberkulotischer Therapie können ergänzend möglicherweise auch chirurgische Resektionsverfahren zum Einsatz kommen (z.B. bei großen Kavernen).

Prävention

Die BCG-Impfung gegen Tuberkulose wird von der Ständigen Impfkommission (STIKO) seit 1998 nicht mehr empfohlen (Gründe: günstige epidemiologische Situation in Deutschland, eine nicht sicher belegbare Wirksamkeit der Impfung und die nicht seltenen unerwünschten Nebenwirkungen des BCG-Impfstoffes).

Eine wichtige Maßnahme zur Prävention ist die Isolierung von Patienten mit offener Lungentuberkulose. Bei unkomplizierter Tuberkulose reichen in der Regel drei negative Sputumproben nach Einleitung der Therapie aus, um die Isolierung aufzuheben.

Weitere präventive Maßnahmen sind:

  • Hygiene-, Desinfektions- und Sterilisationsmaßnahmen
  • Umgebungsuntersuchungen durch die Gesundheitsämter
  • Chemoprophylaxe bei Personen ohne Organmanifestation, aber positivem IGRA- und/oder Tuberkulinhauttest und zusätzlichen Risikofaktoren wie HIV-Infektion oder Immunsuppression (in der Regel neun Monate INH)
  • Chemoprophylaxe bei Kontaktpersonen mit negativem Test und sehr hohem Risiko wie kleine Kinder oder HIV-Infizierte (in der Regel drei Monate INH, wenn der Test negativ bleibt)
Mehr zum Thema

Menschen mit Tuberkulose-Grundimmunisierung profitieren von einer zweiten Spritze. Und dabei schneidet die gute alte BCG-Vakzine besser ab als ein…

mehr

Der BCG-Impfstoff gilt als einer der schwächsten, die je im Einsatz waren. Zu Unrecht? Zwar schützt die Vakzine nur mäßig vor Tuberkulose, dafür aber…

mehr

Um die Corona-Pandemie wirkungsvoll aufhalten zu können, sind weltweit zahlreiche Impfstoffprojekte angelaufen. Ein Impfstoffkandidat – ursprünglich…

mehr

Durch die Coronapandemie rücken die Prävention und die Therapie anderer Erkrankungen in den Hintergrund. Das kann fatal sein – wie das Beispiel der…

mehr

Infektionsschutz

Nur Mundschutz oder doch volles Programm? Ausschlaggebend im Umgang mit Tbc ist, ob es sich um eine offene oder geschlossene Erkrankung handelt. Mit…

mehr
Leitlinien

Deutsches Zentralkomitee zur Bekämpfung der Tuberkulose (DZK), Deutsche Gesellschaft für Pneumologie und Beatmungsmedizin (DGP):
Empfehlungen zur Therapie, Chemoprävention und Chemoprophylaxe der Tuberkulose im Erwachsenen- und Kindesalter

Deutsches Zentralkomitee zur Bekämpfung der Tuberkulose (DZK), Deutsche Gesellschaft für Pneumologie und Beatmungsmedizin (DGP):
Infektionsprävention bei Tuberkulose – Empfehlungen des DZK

Herold G et al.: Innere Medizin 2017. Eigenverlag, Köln 2017.

Kasuistik
Mehr zum Thema

Zwischen einer primären Tuberkulose und dem Rezidiv können in seltenen Fällen Jahrzehnte liegen. Bei unklaren Entzündungen im höheren Alter sollte…

mehr
Forschung
Mehr zum Thema

Trotz rückläufiger Fallzahlen ist die Tuberkulose in Deutschland nach wie vor ein Problem. Das zeigt ein aktueller Bericht des Robert Koch-Instituts…

mehr

Die Einnahme von Vitamin D lässt Tuberkulose-Bakterien schneller verschwinden. Allerdings funktioniert das nur bei multiresistenten Keimen.

mehr

Ein neuer Kandidat für einen Tuberkulose-Impfstoff ist über drei Jahre zu 50 % effektiv. Damit erfüllt er die Minimalanforderung der WHO.

mehr
Abrechnung

Verschenken Sie kein Honorar: Das „Gebühren-Handbuch digital“ ist die ideale Weiterentwicklung der Printausgabe des bekannten „Medical Tribune Gebühren-Handbuchs“ - statt 2000 Buchseiten der schnelle digitale Zugriff.

Was Ihnen die Abrechnung leichter macht:

  • die immer aktuelle Fassung von EBM und GOÄ (Einheitlicher Bewertungsmaßstab und Gebührenordnung für Ärzte)
  • Tipps und Experten-Kommentare zur Honorarabrechnung (EBM/GOÄ), graphisch aufbereitet und leicht verständlich
  • Kommentare von Kollegen lesen und selbst kommentieren
  • persönliche Notizen und Lesezeichen setzen

Zum Gebühren-Handbuch digital »

Fortbildungen

Keine Fortbildung für diesen Fachbereich gefunden

Alle Fortbildungen




Diese Informationen dienen ausschließlich der Aus- und Weiterbildung von Angehörigen und Studenten der medizinischen Fachkreise (z.B. Ärzte) und enthalten nur allgemeine Hinweise. Sie dürfen nicht zur Selbstdiagnose oder -behandlung verwendet werden und sind kein Ersatz für eine ärztliche Beratung oder Behandlung. Die jeweiligen Autoren haben die Inhalte nach bestem Wissen gepflegt. Dennoch sollten Sie die Informationen stets kritisch prüfen und mit zusätzlichen Quellen vergleichen. Die Autoren und die Betreiber von medical-tribune.de übernehmen keine Haftung für Schäden, die durch nicht-kontrollierte Anwendung von Empfehlungen und Inhalten entstehen. Beiträge, die Angaben zum Einsatz und zur Dosierung von Medikamenten machen, sind die persönliche Einschätzung der Autoren. Sie ersetzen nicht die Empfehlungen des Herstellers oder des behandelnden Arztes oder Apothekers.