Im Rahmen unserer Website-Modernisierung arbeiten wir kontinuierlich daran, Ihnen noch bessere und aktuellere Informationen zu bieten. Diese Seite wird in Kürze mit frischen Inhalten und einem zeitgemäßen Design überarbeitet.

Lungenkarzinom, kleinzellig (SCLC)

Definition

Kleinzellige Lungenkarzinome (SCLC - Small Cell Lung Cancer) machen etwa 12-15 % der Lungenkarzinome aus. Die Erkrankung ist charakterisiert durch eine hohe Zellteilungsrate und rasche Wachstumsprogredienz. Diese biologischen Attribute begründen die hohe Chemo- und Strahlentherapie-Sensibilität des Tumors in der Primärbehandlung. Andererseits bedingen die frühzeitige Disseminierung und die hohe Rezidivrate die sehr ungünstige Prognose der Erkrankung mit einer hohen Todesrate innerhalb des ersten Jahres nach Diagnosestellung.

ICD10-Code: C34

Anzeige
Symptomatik

Die Symptome von Patienten mit SCLC unterscheiden sich grundsätzlich nicht von denen der Patienten mit nicht-kleinzelligem Lungenkarzinom (NSCLC).

Als typisch für beide Karzinome gelten z.B. Dyspnoe, Husten und obere Einflussstauung. 

Eine Besonderheit des kleinzelligen Lungenkarzinoms ist das häufige Auftreten paraneoplastischer Syndrome, wie Schwartz-Bartter-Syndrom, Morbus Cushing, Lambert-Eaton-Syndrom und andere Neuropathien.

Mehr zum Thema

Eine aktuelle Studie deutet darauf hin, dass bei jedem zweiten Lungenkrebspatienten neuronale Autoantikörper zu einem kognitiven Defizit beitragen…

mehr
Anzeige
Untersuchung
  • Röntgen-Thorax bzw. CT-Thorax zum Nachweis der Raumforderung, 
  • Bronchoskopie mit Biopsie zu histologischen oder zytologischen Sicherung der
    Diagnose (alternativ bei negativem Ergebnis: transthorakale Punktion,
    Mediastinoskopie, Thorakotomie)
  • CT bzw. MRT Abdomen, MRT Schädel und Knochenszintigraphie (alternativ PET-CT besonders bei kurativem Ansatz) zum Ausschluss einer Organmetastasierung
Mehr zum Thema

Die Zeichen einer zentralen Atemwegsobstruktion werden bei Lungenkrebspatienten oft zu spät wahrgenommen oder fehlgedeutet. Dabei gibts nur eines,…

mehr

Ein mögliches Lungenkarzinom-Screening in Deutschland kommt ins Rollen. Derzeit läuft eine Bewertung durch das Bundesamt für Strahlenschutz. Fällt…

mehr

LDCT-Früherkennung

Kosteneffizient und ohne negative Auswirkungen: So beurteilen Experten die Lungenkrebsvorsorge für Risikopatienten. Zum Einsatz sollte dabei eine…

mehr
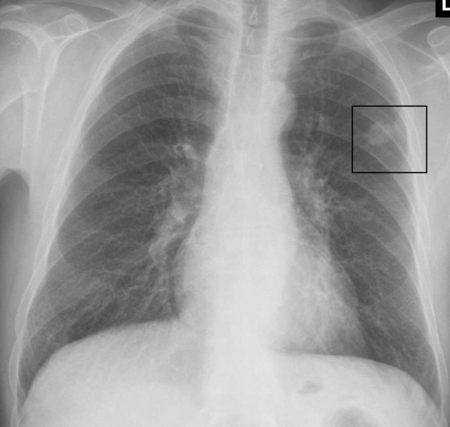
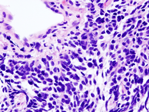
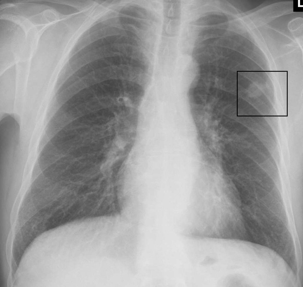
Bildgebung
© wikipedia.org/KGH, CC BY-SA 3.0
© wikipedia.org/Lange123, CC BY-SA 3.0
Labor

Basislabor: Blutbild, Elektrolyte, Harnsäure, Nierenwerte, Leberwerte, LDH, Gerinnung. Zusätzlich ggf. neuronenspezifische Enolase (Tumormarker, bei SCLC oft erhöht.

 

 

 

 

 

 

 

 

 

 

Anzeige
Differenzialdiagnostik

Nicht-kleinzelliges Lungenkarzinom, benigne Lungenerkrankungen z.B. Bronchiektasen, COPD, Pneumonie, Sarkoidose 

Mehr zum Thema

Rund 20 bis 30 % der neuroendokrinen Tumoren (NET) wachsen in der Lunge, damit ist sie nach dem Magen-Darm-Trakt die zweithäufigste NET-Lokalisation.…

mehr

Die Tularämie präsentiert sich in Europa vor allem mit Ulzera an Haut und Schleimhäuten. Möglicherweise gibt es aber auch viel häufiger pulmonale…

mehr
Pharmakotherapie und nichtinvasive Therapie

Die Therapieempfehlungen richten sich bei Patienten mit kleinzelligem Lungenkarzinom nach dem Schweregrad der Erkrankung (very limited, limited und extensive disease). Am wirksamsten ist beim kleinzelligen Lungenkarzinom die Chemotherapie.

  • In Kombination mit Operation oder Bestrahlung ist im Stadium der Limited Disease eine kurative Therapie möglich.
  • Im Stadium der Extensive Disease lässt sich mit einer palliativen Tumortherapie neben der Symptomkontrolle eine Verbesserung der Lebensqualität und Verlängerung der Lebenszeit erreichen (Mediane Überlebenszeit ca. 9-12 Monate). 

 

Mehr zum Thema

Für die Behandlung des fortgeschrittenen kleinzelligen Lungenkarzinoms gab es über Jahrzehnte keinen wesentlichen Fortschritt. Dies hat sich mit der…

mehr

Das kleinzellige Bronchialkarzinom wird standardmäßig mit einer Strahlenchemotherapie behandelt. Kumuliert kommen 45 Gy zum Einsatz. Offenbar könnte…

mehr

Die stereotaktische Radio­therapie ist für die meisten Tumor­arten mit einzelnen Hirnmetastasen das Mittel der Wahl. Doch beim kleinzelligen…

mehr

Mittlerweile haben Checkpoint-Inhibitoren auch die Prognose von Patienten mit fortgeschrittenem klein­zelligen Lungenkarzinom deutlich verbessert.…

mehr

Präklinisch gab es bereits Hinweise, dass Lurbinectedin zusammen mit Irinotecan eine deutliche Aktivität beim rezidivierten kleinzelligen…

mehr

Kleinzelliges Lungenkarzinom

Auch nach drei Jahren bringt die Gabe von Durvalumab zusätzlich zu einer Chemotherapie Patienten mit kleinzelligem Lungenkarzinom in fortgeschrittenen…

mehr

SCLC

Die Immuntherapie verbessert zwar die Prognose von Patienten mit kleinzelligem Lungenkarzinom (SCLC). Doch Kombinationspartner wie Olaparib oder…

mehr

Kleinzelliges Lungenkarzinom

Mittlerweile haben Immuntherapien auch beim kleinzelligen Lungenkarzinom einen festen Platz. Doch nur ein Teil der Tumoren ist wohl sensibel für…

mehr

Kleinzelliges Lungenkarzinom

Patienten mit kleinzelligem Lungen­karzinom sprechen auf medikamentöse Therapien meist nur kurzzeitig an. Neuartige Substanzen adressieren bei diesen…

mehr
Invasive und Interventionelle Therapie

Mit der Kombination von Operation, Chemotherapie und Bestrahlung ist im Stadium der Limited Disease eine Heilung möglich.  

Mehr zum Thema

Rund ein Drittel aller Patienten mit soliden Tumoren entwickelt im Krankheitsverlauf Lungenmetastasen. Vor allem solitäre Absiedelungen von…

mehr

Auch wenn so mancher Kollege es immer noch nicht wahrhaben will: Für viele Patienten mit kleinzelligem Lungenkarzinom ist die Operation eine…

mehr
Prävention

Der entscheidende präventive Faktor heißt Nichtrauchen, außerdem sollten berufliche Kanzerogene wie Asbest und Arsen gemieden werden.

Mehr zum Thema

Eine Warfarintherapie schützt vor Krebs. Dafür spricht zumindest die Auswertung norwegischer Registerdaten. Die hohen Patientenzahlen machen…

mehr

Das neue Strahlenschutzgesetz und die S3-Leitlinie haben den Boden für die Lungenkrebsreihenuntersuchung in Deutschland geebnet.

mehr

Pulmonale Karzinome und COPD haben neben dem betroffenen Organ noch etwas gemeinsam: Früh erkannt, lassen sich die Erkrankungen gut therapieren. Für…

mehr

Viele Länder erwägen derzeit die Einführung des Lungenkrebsscreenings per Low-dose-CT, auch Deutschland. Doch ein internationales Forscherteam warnt…

mehr
Folgeerkrankung
Mehr zum Thema

Lungenkarzinom

Paraneoplastische neurologische Syndrome treten insbesondere bei Lungenkarzinompatienten auf. Mehr als jeder Dritte weist Neuro-Autoantikörper auf,…

mehr
Leitlinien

Deutsche Gesellschaft für Hämatologie und Medizinische Onkologie (DGHO), Schweizerische Gesellschaft für Medizinische Onkologie (SGMO),Schweizerische Gesellschaft für Hämatologie (SGH), Österreichische Gesellschaft für Hämatologie & Medizinische Onkologie (OeGHO):
Lungenkarzinom, kleinzellig (SCLC)

Kasuistik
Mehr zum Thema

Immer mehr Tumorpatienten landen auf der Intensivstation. Doch klare Handlungsanweisungen, wann dies indiziert ist, sind Mangelware.

mehr
Forschung
Mehr zum Thema

Bioinformatiker haben antineoplastische Effekte bei Medikamenten gegen Depressionen festgestellt. Imipramin und Promethazin sollen nach Erfolgen im…

mehr

Das Edelgas Radon gilt nach dem Rauchen als Hauptrisikofaktor für Lungenkrebs. Wie groß der ungünstige Effekt einer Exposition ausfällt, ist…

mehr

Das kleinzellige Lungenkarzinom wird in frühen Stadien mit Chemotherapie behandelt und, wenn möglich, gleichzeitig thorakal bestrahlt. Dosierung und…

mehr

Kleinzelliges Lungenkarzinom

In den USA ist Lurbinectedin als Monotherapie in der Zweitlinie für rezidivierte kleinzellige Lungenkarzinome zugelassen. Die Kombination mit…

mehr

Lungenkarzinom

Experten warnen schon länger vor der Welle an Lungenkrebserkrankungen bei Frauen – jetzt ist sie da. Dennoch klaffen weiterhin große Wissenslücken…

mehr
Abrechnung

Verschenken Sie kein Honorar: Das „Gebühren-Handbuch digital“ ist die ideale Weiterentwicklung der Printausgabe des bekannten „Medical Tribune Gebühren-Handbuchs“ - statt 2000 Buchseiten der schnelle digitale Zugriff.

Was Ihnen die Abrechnung leichter macht:

  • die immer aktuelle Fassung von EBM und GOÄ (Einheitlicher Bewertungsmaßstab und Gebührenordnung für Ärzte)
  • Tipps und Experten-Kommentare zur Honorarabrechnung (EBM/GOÄ), graphisch aufbereitet und leicht verständlich
  • Kommentare von Kollegen lesen und selbst kommentieren
  • persönliche Notizen und Lesezeichen setzen

Zum Gebühren-Handbuch digital »

Fortbildungen

Keine Fortbildung für diesen Fachbereich gefunden

Alle Fortbildungen




Diese Informationen dienen ausschließlich der Aus- und Weiterbildung von Angehörigen und Studenten der medizinischen Fachkreise (z.B. Ärzte) und enthalten nur allgemeine Hinweise. Sie dürfen nicht zur Selbstdiagnose oder -behandlung verwendet werden und sind kein Ersatz für eine ärztliche Beratung oder Behandlung. Die jeweiligen Autoren haben die Inhalte nach bestem Wissen gepflegt. Dennoch sollten Sie die Informationen stets kritisch prüfen und mit zusätzlichen Quellen vergleichen. Die Autoren und die Betreiber von medical-tribune.de übernehmen keine Haftung für Schäden, die durch nicht-kontrollierte Anwendung von Empfehlungen und Inhalten entstehen. Beiträge, die Angaben zum Einsatz und zur Dosierung von Medikamenten machen, sind die persönliche Einschätzung der Autoren. Sie ersetzen nicht die Empfehlungen des Herstellers oder des behandelnden Arztes oder Apothekers.