Im Rahmen unserer Website-Modernisierung arbeiten wir kontinuierlich daran, Ihnen noch bessere und aktuellere Informationen zu bieten. Diese Seite wird in Kürze mit frischen Inhalten und einem zeitgemäßen Design überarbeitet.

Basalzellkarzinom

Definition

Das Basalzellkarzinom ist ein Hautkrebs, der von den basalen Schichten der Epidermis und der Haarfollikel ausgeht. Die Tumore können infiltrierend in das umgebende Gewebe hineinwachsen und dabei auch Knorpel und Knochen befallen. Sie bilden aber in der Regel keine Metastasen. Das Basalzellkarzinom tritt bevorzugt in Arealen auf, die einer verstärkten Sonneneinstrahlung ausgesetzt sind. Dementsprechend finden sich Basalzellkarzinome hauptsächlich an Kopf und Hals.

ICD10-Code: C44

Mehr zum Thema

Nur ein winziges Knötchen? Vorsicht, das Basalzellkarzinom dringt in der Tiefe mitunter weiter vor als von außen vermutet. Es kann Knochen…

mehr
Anzeige
Symptomatik

Typische Symptome des Basalioms:

  • kleine, glänzende Knötchen
  • Teleangiektasien
  • perlschnurartiger Randsaum
  • Geschwüre (fortgeschrittenes Stadium) 
  • rote schuppende Flecken (am Stamm)
Anzeige
Untersuchung

Die klinische Verdachtsdiagnose eines Basalzellkarzinoms sollte - wenn möglich - histologisch gesichert werden. Als bildgebende Diagnostik erleichtert der hochauflösende Ultraschall die Einschätzung der Tumor-Ausdehnung.

Mehr zum Thema

Die elektrische Impedanzspektroskopie erfasst über Spannungswiderstände die Zellgefüge der Haut und erlaubt die Unterscheidung von benignen und…

mehr

Lässt sich das Hautkrebsscreening durch Smartphone-Apps für Laien von der Hautarztpraxis ins Badezimmer der Patienten verschieben? Trotz Zulassung…

mehr
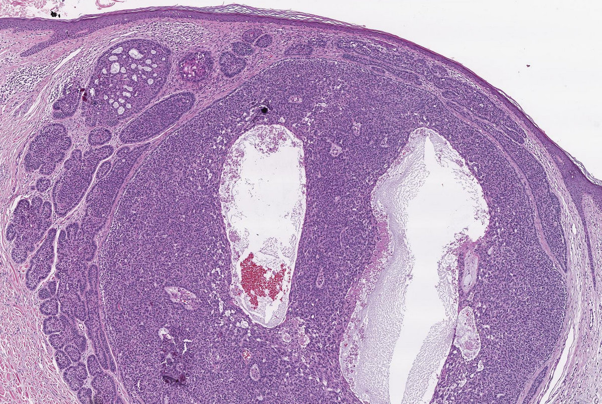
Bildgebung
© wikipedia.org/Josef Wienand, CC BY-SA 3.0
© wikipedia.org/Klaus D. Peter, CC BY-SA 3.0
© wikipedia.org M. Sand, D. Sand, C. Thrandorf, V. Paech, P. Altmeyer, F. G. Bechara: Cutaneous lesions of the nose. In: Head & face medicine Band 6, 2010, S. 7, ISSN 1746-160X. doi:10.1186/1746-160X-6-7. PMID 20525327. (Review). CC BY 2.0
© wikipedia.org/Patho82, CC-BY-SA 4.0,
© wikipedia.org M. Sand, D. Sand, C. Thrandorf, V. Paech, P. Altmeyer, F. G. Bechara: Cutaneous lesions of the nose. In: Head & face medicine Band 6, 2010, S. 7, ISSN 1746-160X. doi:10.1186/1746-160X-6-7. PMID 20525327. (Review). CC BY 2.0
© wikipedia.org M. Sand, D. Sand, C. Thrandorf, V. Paech, P. Altmeyer, F. G. Bechara: Cutaneous lesions of the nose. In: Head & face medicine Band 6, 2010, S. 7, ISSN 1746-160X. doi:10.1186/1746-160X-6-7. PMID 20525327. (Review). CC BY 2.0
Labor

Histologische Analyse des Basaliomgewebes und der Schnittränder (tumorfrei?).  

Anzeige
Differenzialdiagnostik

Als Differenzialdiagnosen kommen in Betracht:

  • Spinaliom
  • Keratoakanthom
  • Melanom (vor allem bei pigmentiertem Basaliom)
  • Ekzem, seborrhoische Warze, Psoriasisplaque
Mehr zum Thema

Im Alter gibt es nicht nur vermehrt Falten – auch das Risiko für UV-bedingte Hautveränderungen wie die aktinische Keratose steigt. Häufig entwickeln…

mehr

Bräunliche Plaques im Gesicht – hier kann es sich um ein Granuloma faciale handeln. Diese Dermatose erweist sich oft als sehr hartnäckig.

mehr

„Heller“ Hautkrebs wird häufiger diagnostiziert als alle anderen Karzinome zusammen­genommen. Umso wichtiger ist es für Sie, die nicht-melanozytären…

mehr
Pharmakotherapie und nichtinvasive Therapie

Alternativ zur Operation kommen je nach Lokalisation und Ausdehnung des Basalzellkarzinoms andere, eventuell schonendere Therapieverfahren infrage: 

  • Kryochirurgie
  • Lasertherapie
  • Photodynamische Behandlung
  • Kürettage (scharfer Löffel, Shaveexzision)
  • Lokalbehandlung mit Imiquimod oder 5-Fluorouracil

Nachteile: Keine vollständige Histologie möglich, erhöhte Rezidivrate.

Zur Behandlung von Patienten mit nicht operablen Basalzellkarzinomen oder besonders zahlreichen Tumoren (z.B. genetische Syndrome) steht mit einem Hedghog-Inhibitor inzwischen eine medikamentöse Therapie zur Verfügung.

Mehr zum Thema

Basaliom-Patienten müssen sich nicht gleich einer Operation unterziehen. Superfizielle Tumoren mit niedrigem Risiko lassen sich auch mit einer…

mehr

Aktinische Keratosen, Basaliome, M. Bowen – bei diesen Indikationen hat sich die photodynamische Therapie längst etabliert. Inzwischen kommen immer…

mehr

Vielleicht arbeiten Dermatologen in Zukunft häufiger mit ihren Kollegen aus der Radioonkologie zusammen. Experten sehen nämlich in der Bestrahlung…

mehr
Invasive und Interventionelle Therapie

Die Therapie des Basalzellkarzinoms erfolgt meist operativ, wobei eine vollständige Exzision angestrebt wird. Wenn der Schnittrand nicht tumorfrei ist, muss ggf. nachreseziert werden. Vor allem in kritischen Regionen (z.B. in Augennähe) ist der Tumor oft größer als äußerlich erkennbar.  

Mehr zum Thema

Mit einem metastasierten Melanom – früher eine infauste Diagnose – können immer mehr Patienten immer länger überleben. Ein ähnlicher Erfolg wird auch…

mehr

Basalzellkarzinom

Bei superfiziellen Basalzellkazinomen (sBCC) handelt es sich oft um Niedrigrisiko-Tumoren. Vor allem an kosmetisch unproblematischen Stellen sind…

mehr
Prävention

Nach der Therapie eines Basalioms werden regelmäßig dermatologische Kontrolluntersuchungen empfohlen, damit Rezidive bzw. neu aufgetretene Basalzellkarzinome in anderen Körperregionen frühzeitig erkannt werden. 

Mehr zum Thema

Indem US-Forscher zwei ältere Patienten mit einer langen Hautkrebs-Vorgeschichte kurzerhand gegen HPV impften, konnten sie die Anzahl neu entstehender…

mehr

Sich einzucremen ist lästig. Ist es vielleicht auch gar nicht immer nötig? Das wurde nun durch den Einsatz verschiedener Kopfbedeckungen überprüft.

mehr

Patienten nach Organtransplantation haben ein bis zu 250-fach erhöhtes Risiko für weißen Hautkrebs und kutane Präkanzerosen. Das Problem ist, dass…

mehr
Leitlinien

Deutsche Krebs Gesellschaft (DKG), Deutsche Dermatologische Gesellschaft (DDG):
Basalzellkarzinom der Haut

Kasuistik
Mehr zum Thema

Ein 46-Jähriger stellte sich mit einem Riesengeschwür auf der rechten Schulter vor. Jahrelang hatte der Patient Watte und Mull auf das schmerzende,…

mehr

Imiquimod gilt als gängige Therapie bei aktinischer Keratose. Manchmal fällt die ausgelöste Hautreaktion jedoch stärker aus als erwünscht.

mehr

Schwach und abgeschlagen kam eine 52-Jährige in die Notaufnahme. Ihr Hb-Wert lag bei 3,2 g/dl. Der Grund: Sie lief jahrelang mit zwei ausgeprägten…

mehr
Forschung
Mehr zum Thema

Basalzellkarzinom

Nicht jedes Basalzellkarzinom muss therapiert werden. Insbesondere bei nodulären oder superfiziellen Tumoren sowie einer eingeschränkten…

mehr
Abrechnung

Verschenken Sie kein Honorar: Das „Gebühren-Handbuch digital“ ist die ideale Weiterentwicklung der Printausgabe des bekannten „Medical Tribune Gebühren-Handbuchs“ - statt 2000 Buchseiten der schnelle digitale Zugriff.

Was Ihnen die Abrechnung leichter macht:

  • die immer aktuelle Fassung von EBM und GOÄ (Einheitlicher Bewertungsmaßstab und Gebührenordnung für Ärzte)
  • Tipps und Experten-Kommentare zur Honorarabrechnung (EBM/GOÄ), graphisch aufbereitet und leicht verständlich
  • Kommentare von Kollegen lesen und selbst kommentieren
  • persönliche Notizen und Lesezeichen setzen

Zum Gebühren-Handbuch digital »

Fortbildungen

Keine Fortbildung für diesen Fachbereich gefunden

Alle Fortbildungen




Diese Informationen dienen ausschließlich der Aus- und Weiterbildung von Angehörigen und Studenten der medizinischen Fachkreise (z.B. Ärzte) und enthalten nur allgemeine Hinweise. Sie dürfen nicht zur Selbstdiagnose oder -behandlung verwendet werden und sind kein Ersatz für eine ärztliche Beratung oder Behandlung. Die jeweiligen Autoren haben die Inhalte nach bestem Wissen gepflegt. Dennoch sollten Sie die Informationen stets kritisch prüfen und mit zusätzlichen Quellen vergleichen. Die Autoren und die Betreiber von medical-tribune.de übernehmen keine Haftung für Schäden, die durch nicht-kontrollierte Anwendung von Empfehlungen und Inhalten entstehen. Beiträge, die Angaben zum Einsatz und zur Dosierung von Medikamenten machen, sind die persönliche Einschätzung der Autoren. Sie ersetzen nicht die Empfehlungen des Herstellers oder des behandelnden Arztes oder Apothekers.