Im Rahmen unserer Website-Modernisierung arbeiten wir kontinuierlich daran, Ihnen noch bessere und aktuellere Informationen zu bieten. Diese Seite wird in Kürze mit frischen Inhalten und einem zeitgemäßen Design überarbeitet.

Ovarialkarzinom

Definition

Das Ovarialkarzinom ist ein maligner Tumor des Ovars (Eierstocks). Neben dem Gebärmutter- bzw. Gebärmutterhalskrebs ist er der zweithäufigste bösartige Genitaltumor der Frau. Das Ovarialkarzinom ist nach wie vor in vielen Fällen mit einer hohen Sterblichkeitsrate verbunden. Wegen fehlender Frühsymptome wird der Tumor häufig erst im Spätstadium entdeckt. 

ICD10-Code: C56

Anzeige
Symptomatik

Folgende Symptome sollten insbesondere bei Frauen ab 50 den Verdacht auf ein Ovarialkarzinom wecken und vor allem bei wiederholtem Auftreten abgeklärt werden: 

  • Völlegefühl
  • Blähungen
  • Unklare abdominelle Schmerzen oder Beschwerden
  • Zunahme der Miktionsfrequenz
Mehr zum Thema

Bei entzündeten schmerzenden Gelenken denkt man nicht an erster Stelle an ein Tumorleiden. In seltenen Fällen präsentieren sich jedoch Malignome unter…

mehr
Anzeige
Untersuchung

Bei Patientinnen mit Verdacht auf Ovarialkarzinom ist eine gynäkologische Untersuchung einschließlich transvaginaler Sonographie indiziert. 

Ausbreitungsdiagnostik: Apparative Untersuchungen können das operative Staging beim Ovarialkarzinom nicht ersetzen.

Mehr zum Thema

Mit einer neuen Screeningmethode lassen sich Ovarialtumoren hoch spezifisch schon in frühen Stadien aufspüren. Dabei wird der altbekannte Tumormarker…

mehr

Frauen mit einer BRCA1/2-Mutation haben ein besonders hohes Risiko, an einem Mamma- oder Ovarialkarzinom zu erkranken. Die Frage ist, welche Frauen…

mehr
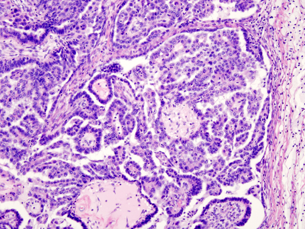
Bildgebung
© wikipedia.org/Ed Uthman, MD, CC BY 2.0
© wikipedia.org/Ed Uthman, MD, CC BY 2.0
© wikipedia.org/Ed Uthman, MD, CC BY 2.0
© wikipedia.org/KGH, CC BY 3.0
© wikipedia.org/Ed Uthman, MD, CC BY 2.0
Labor

In der Früherkennung vermochte ein Screening mit dem Tumormarker CA-125 und transvaginaIer Sonographie die Mortalität nicht zu reduzieren. Es sollte deshalb auch in Risikogruppen nicht durchgeführt werden. Für besonders gefährdete Patientinnen wird eine multidisziplinäre Beratung und genetische Testung empfohlen.

Mehr zum Thema

Ein negatives CEA als Persilschein? Nein, aber richtig eingesetzt können Krebssignale im Serum in vielen Fällen nützlich sein.

mehr

Tumormarker schlägt Alarm, Krebs erkannt, durch Therapie geheilt – so sieht der Traum aus. Doch was leisten die Biomarker tatsächlich in der…

mehr
Anzeige
Differenzialdiagnostik

Benigne Ovarialtumoren, Ovarialzysten, Ovarialabszesse, Appendizitis, Extrauteringravidität 

Pharmakotherapie und nichtinvasive Therapie

Die meisten Patientinnen profitieren von einer postoperativen Chemotherapie, vorzugsweise mit platinhaltigen Regimes, denn das Ovarialkarzinom ist chemosensibel. Die Strahlentherapie spielt dagegen nur eine untergeordnete Rolle. Bei einem Rezidiv bietet sich eine erneute Chemotherapie an, die dann zum Beispiel mit dem Angiogenese-Hemmer Bevacizumab kombiniert werden kann, um die Tumorlast zu verringern. 

Mehr zum Thema

Als Erhaltungstherapie des rezidivierten Ovarialkarzinoms ist der PARP-Inhibitor Niraparib bereits zugelassen. Aktuelle Studienergebnisse…

mehr

US-amerikanische Wissenschaftler testeten ein neues Therapieprinzip für Patientinnen mit platinresistentem Ovarialkarzinom: Sie erhöhten den…

mehr

Entwickeln Patientinnen mit Ovarialkarzinom ein Rezidiv, so profitieren sie scheinbar von einer erneuten Therapie mit Bevacizumab – auch, wenn sie…

mehr

Für die Therapie fortgeschrittener Ovarialkarzinome wird unter anderem auf die Angiogenesehemmung zurückgegriffen. Wie lange diese erfolgen sollte,…

mehr

Frauen mit rezidiviertem Ovarialkarzinom lebten in der SOLO2/ENGOT-­Ov21-Studie im Schnitt unter einer Erhaltung mit Olaparib ein Jahr länger als…

mehr

Ovarialkarzinome

Im September wurde das fünfte Update der S3-Leitlinie „Diagnostik, Therapie und Nachsorge maligner Ovarial­tumoren“ veröffentlicht. Dabei wurde das…

mehr

Eierstockkrebs

Bisher liegen kaum Daten vor, die den Vorteil eines PARP-Inhibitors gegenüber einer Chemotherapie bei Frauen mit rezidiviertem Ovarialkarzinom…

mehr
Invasive und Interventionelle Therapie

Das Ovarialkarzinom sollte - wenn möglich - operativ behandelt werden, in der Regel mittels beidseitiger Adnexektomie und Hysterektomie sowie infrakolischer Omentektomie und Lymphadenektomie. Ziel ist die möglichst vollständige Entfernung des Tumors einschließlich  befallener Nachbarstrukturen. Denn die Prognose der Patientin hängt entscheidend von der Größe des Tumorrests ab.

Bei unilateralem, auf Ovar oder Tube beschränktem Tumor (FIGO I) ist eine fertilitätserhaltende Operation (einseitige Ovarektomie ohne Hysterektomie) möglich, wenn auch mit einem erhöhtem Risiko verbunden. 

Mehr zum Thema

Zu niedriges Testosteron mindert Lubrikation und Orgasmusfähigkeit. Viele Patientinnen empfinden Scham und Schmerzen. Welchen Ausweg gibt es?

mehr

Auch beim Ovarial­karzinom hat die zielgerichtete Therapie Einzug gehalten: Beim BRCA-mutierten rezidivierten Eierstockkrebs haben mittlerweile zwei…

mehr

Die AGO präsentierte gleich zwei wegweisende Phase-III-Studien zur Behandlung des fortgeschrittenen bzw. rezidivierten Ovarialkarzinoms: Laut der…

mehr

Der Standard beim fortgeschrittenen Ovarialkarzinom besteht in einer maximalen operativen Zytoreduktion in Verbindung mit sechs Zyklen einer…

mehr

Ziel der chirurgischen Therapie des fortgeschrittenen Ovarialkarzinoms ist die vollständige Entfernung aller sichtbaren Tumorherde. Dieses Vorgehen…

mehr

Unter gewissen Umständen bringt die Entfernung eines Rezidivs beim Ovarialkarzinom einen Überlebensvorteil. Bei erfolgreicher R0-Resektion um fast 16…

mehr
Prävention

Bei Patientinnen mit BRCA1/2-Mutation ist die prophylaktische Operation (bilaterale Salpingo-ovarektomie) die effektivste Methode, um das Erkrankungsrisiko und die Mortalität am hereditären Ovarialkarzinom zu senken. 

Mehr zum Thema

Bei einer Bruskrebs-Genmutation wird zur Entfernung von Eierstöcken und Eileitern geraten. Dies erhöht auch das Überleben der Patientinnen.

mehr

Angst vor Krebs und Thrombose schreckt Frauen vom Gebrauch der Pille ab. Dabei schützt das Hormon-Kontrazeptivum selbst familiär Belastete vor Krebs.

mehr

Stillen hilft das Risiko für Ovarialkarzinome zu senken. Auch wenn die Frauen am stärksten profitieren, die ihre Kinder mindestens ein Jahr stillen,…

mehr
Leben mit der Krankheit
Mehr zum Thema

Frauen, die ein Ovarialkarzinom langfristig überleben, leiden auch Jahre danach unter Beschwerden wie Fatigue, Schmerzen und Polyneuropathie. Ein…

mehr
Leitlinien

Deutsche Krebsgesellschaft (DKG), Deutsche Gesellschaft für Gynäkologie und Geburtshilfe (DGGG):
Diagnostik, Therapie und Nachsorge maligner Ovarialtumoren

Forschung
Mehr zum Thema

Die frühe (Rezidiv-)Diagnose von schwierig zu behandelnden Tumoren wie dem Ovarialkarzinom ist nach wie vor eine Herausforderung. Speziell…

mehr

Nicht jeder Tumor der Adnexe muss operativ entfernt werden. Im Ultraschall als gutartig eingestufte Ovar- oder Tubenprozesse haben bei konservativem…

mehr

Durch die vorzeitige und vor allem intraperitoneale Ausbreitung ist die Prognose des Ovarialkarzinoms nach wie vor schlecht. Kann die hypertherme…

mehr

Trotz der deutlich besseren Überlebenschance von Patientinnen mit rezidiviertem Ovialkarzinom haftet PARP-Inhibitoren ein Manko an: Tumoren…

mehr

Ovarialkarzinom

Mit verschiedenen Screeninguntersuchungen soll ein Ovarialkarzinom beizeiten erkannt werden. Was aber bringt das wirklich?

mehr

Glukokortikoidrezeptor-Signalweg

Beim platinresistenten Ovarialkarzinom-Rezidiv hat eine neue Kombination vielversprechende Aktivität gezeigt: Das Regime mit dem selektiven…

mehr

Ovarialkarzinom

Für Patientinnen mit fortgeschrittenem low grade serösem Ovarialkarzinom gibt es bislang nur wenig Therapieoptionen. Erste vielversprechende Daten…

mehr
Abrechnung

Verschenken Sie kein Honorar: Das „Gebühren-Handbuch digital“ ist die ideale Weiterentwicklung der Printausgabe des bekannten „Medical Tribune Gebühren-Handbuchs“ - statt 2000 Buchseiten der schnelle digitale Zugriff.

Was Ihnen die Abrechnung leichter macht:

  • die immer aktuelle Fassung von EBM und GOÄ (Einheitlicher Bewertungsmaßstab und Gebührenordnung für Ärzte)
  • Tipps und Experten-Kommentare zur Honorarabrechnung (EBM/GOÄ), graphisch aufbereitet und leicht verständlich
  • Kommentare von Kollegen lesen und selbst kommentieren
  • persönliche Notizen und Lesezeichen setzen

Zum Gebühren-Handbuch digital »

Fortbildungen

Keine Fortbildung für diesen Fachbereich gefunden

Alle Fortbildungen




Diese Informationen dienen ausschließlich der Aus- und Weiterbildung von Angehörigen und Studenten der medizinischen Fachkreise (z.B. Ärzte) und enthalten nur allgemeine Hinweise. Sie dürfen nicht zur Selbstdiagnose oder -behandlung verwendet werden und sind kein Ersatz für eine ärztliche Beratung oder Behandlung. Die jeweiligen Autoren haben die Inhalte nach bestem Wissen gepflegt. Dennoch sollten Sie die Informationen stets kritisch prüfen und mit zusätzlichen Quellen vergleichen. Die Autoren und die Betreiber von medical-tribune.de übernehmen keine Haftung für Schäden, die durch nicht-kontrollierte Anwendung von Empfehlungen und Inhalten entstehen. Beiträge, die Angaben zum Einsatz und zur Dosierung von Medikamenten machen, sind die persönliche Einschätzung der Autoren. Sie ersetzen nicht die Empfehlungen des Herstellers oder des behandelnden Arztes oder Apothekers.