Im Rahmen unserer Website-Modernisierung arbeiten wir kontinuierlich daran, Ihnen noch bessere und aktuellere Informationen zu bieten. Diese Seite wird in Kürze mit frischen Inhalten und einem zeitgemäßen Design überarbeitet.

Hodgkin-Lymphom

Definition

Das Hodgkin-Lymphom ist eine maligne Erkrankung des Immunsystems. Es wurde benannt nach dem englischen Pathologen Thomas Hodgkin (1798 – 1866). Charakteristisch für das Hodgkin-Lymphom sind die sogenannten Hodgkin- und Reed-Sternberg-Riesenzellen bei der mikroskopischen Untersuchung von Infiltraten. Heute können über 80 % aller Patienten langfristig geheilt werden. Damit ist das Hodgkin-Lymphom eine der am besten behandelbaren malignen Erkrankungen des Erwachsenen.

ICD10-Code: C81

Anzeige
Symptomatik
  • zunehmende, meist schmerzlose Vergrößerung von Lymphknoten
  • Fieber > 38 °C ohne erkennbare Ursache; evtl. wellenförmig (Pel-Ebstein-Fieber), bei diesen Patienten steigt das Fieber über 1 – 2 Wochen an, nimmt dann wieder ab, steigt erneut an usw.
  • nächtliches Schwitzen ohne erkennbare Ursache, meist  in den frühen Morgenstunden
  • ungewollte Gewichtabnahme von mehr als 10 % des Körpergewichtes innerhalb von sechs Monaten
  • generalisierter Juckreiz
  • selten: Alkoholschmerz
  • Splenomegalie und Hepatomegalie

Unspezifische Allgemeinbeschwerden (z.B. Fieber, Nachtschweiß, Gewichtsverlust) sind als sogenannte B-Symptome mit einer ungünstigeren Prognose verbunden.

Anzeige
Untersuchung
  • Anamnese mit expliziter Erfragung von B-Symptomen,
  • gründliche körperliche Untersuchung mit Inspektion des Waldeyer-Rachenrings, Abtasten der Lymphknotenstationen und Palpation des Abdomens (Leber, Milz). 
  • Entnahme von Lymphknoten-Biopsien
  • Ausbreitungs-Diagnostik: Sonographie, CT, MRT, Knochenmarkpunktion etc.
Mehr zum Thema

Nach Schätzungen leben in Deutschland etwa vier Millionen Menschen, die eine Krebserkrankung überlebt haben. Viele von ihnen sind weiterhin…

mehr

Besonders intensives Brustkrebs-Screening schon im jüngeren Alter ist bei einer speziellen Patientinnengruppe angesagt: Frauen, die wegen eines Morbus…

mehr

Trotz fortgeschrittenem Hodgkin-Lymphom ein möglichst langes progressionsfreien Überleben – so lautet das Therapieziel. Doch in diesem Stadium eignet…

mehr
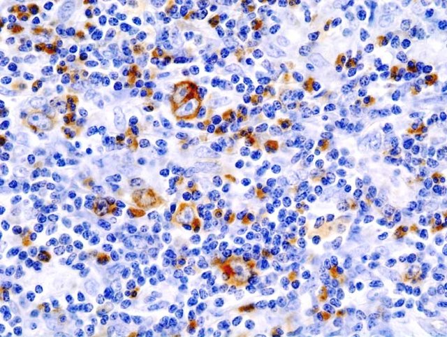
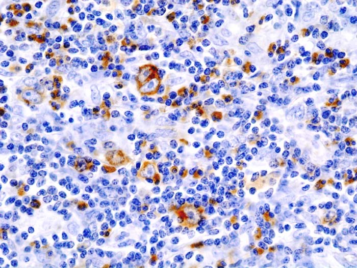
Bildgebung
Probe aus einer Lymphknotenbiospie, Hämatoxylin/Eosin-Färbung. Wahrscheinlich die gemischtzellige Form des Hodgkin-Lymphoms. © wikipedia.org/KGH, CC BY-SA 3.0
© CDC/ Robert E. Sumpter
Probe aus einer Lymphknotenbiospie, CD30 (Ki-1)-immunhistochemische Färbung. Hodgkin-Lymphom© wikipedia.org/KGH, CC BY-SA 3.0
Labor
  • Blutsenkung: beschleunigt
  • Anämie, Leukozytose
  • Differenzialblutbild: Lymphopenie, evtl. Eosinophilie
  • LDH erhöht
  • Serumelektrophorese evtl. pathologisch
Anzeige
Differenzialdiagnostik
  • Andere Malignome oder Metastasen regionaler Tumoren, 
  • Infektiöse Lymphadenopathien (z.B. Tbc, EBV, HIV, Toxoplasmose, Coccidioidomykose), 
  • Reaktive Lymphadenopathien (z.B. Sarkoidose)
Pharmakotherapie und nichtinvasive Therapie

Die Therapie richtet sich nach der Zahl der befallenen Lymphknoten-Regionen und etwaigen B-Symptomen (prognostisch ungünstig).

Sie erfolgt auch in frühen Stadien (Lymphknotenbefall nur auf einer Zwerchfell) meist mit einer Kombination von Strahlen- und Chemotherapie. 

In fortgeschrittenen Stadien (Lymphknoten beidseits des Zwerchfells, Befall anderer Organe, B-Symptome) setzt man eine intensive Chemotherapie ein, ggf. ergänzt durch eine Bestrahlung (Tumorreste).

Wenn eine Vollremission nicht möglich ist oder Rezidive auftreten, erfolgt ggf. eine Hochdosis-Chemotherapie mit Knochenmark- oder Blutstammzelltransplantation.

Mehr zum Thema

Der Typ-II-CD20-Antikörper Obinutuzumab hat sich bereits bei der chronischen lymphatischen Leukämie als si­gnifikant wirksamer erwiesen als der…

mehr

Das rezidivierende/re­fraktäre Hodgkin-Lymphom wird nach einer fehlgeschlagenen autologen Stammzelltransplantation bereits mit einer…

mehr

Den Therapieverlauf beim fortgeschrittenen Hodgkin-Lymphom mithilfe bildgebender Verfahren zu kontrollieren kann Patienten identifizieren, die von…

mehr

Statt erst beim rezidivierenden oder refraktären Hodgkin-Lymphom direkt in der Erstlinie – so erreicht Nivolumab zusammen mit Chemo und Radiotherapie…

mehr

Bis zu 20 % der Hodg­kin-Patienten werden mit der primären Behandlung nicht geheilt und bei einem Rezidiv spricht nur die Hälfte langfristig auf eine…

mehr

Eine konsolidierende Bestrahlung von Patienten mit frühem Hodgkin-Lymphom geht häufig mit einem erhöhten Risiko für späte Toxizitäten einher.…

mehr

Bei der Erstlinie des Hodgkin-Lymphoms geht es darum, Wirksamkeit und Toxizität gegeneinander abzuwägen. Der überwiegende Anteil der Patienten mit…

mehr

Erkrankte mit Hodgkin-Lymphom scheinen von einem 2+2-Regime, bestehend aus je zwei Zyklen BEACOPP und ABVD, zu profitieren: Das Risiko für einen…

mehr
Invasive und Interventionelle Therapie
Mehr zum Thema

Die Ergebnisse der H18-Studie der Deutschen Hodgkin-Studiengruppe (DHSG) belegen, dass Patienten mit fortgeschrittenem Hodgkin Lymphom (HL) von der…

mehr

Wenn Patienten mit Hodgkin-Lymphom nach einer autologen Stammzelltransplantation rezidivieren, kommt eine allogene Transplantation in Betracht. Für…

mehr
Prognose
Mehr zum Thema

Selten rezidiviert das Hodgkin-Lymphom oder ist sogar primär refraktär. Die Prognose Betroffener bessert sich, wenn sie vor einer Transplantation eine…

mehr
Leitlinien

Deutsche Gesellschaft für Hämatologie und Medizinische Onkologie (DGHO), Schweizerische Gesellschaft für Medizinische Onkologie (SGMO),Schweizerische Gesellschaft für Hämatologie (SGH), Österreichische Gesellschaft für Hämatologie & Medizinische Onkologie (OeGHO):
Hodgkin-Lymphom

Mehr zum Thema

Klarheit über den Stellenwert der PET/CT, Schwangere möglichst spät chemotherapeutisch behandeln und auf Hormonstörungen achten. Dies sind wichtige…

mehr
Forschung
Mehr zum Thema

Ein sekundärer ZNS-Befall durch B-Zell-Lymphome war bislang eine Komplikation mit sehr schlechter Prognose. Neue therapeutische Strategien machen nun…

mehr

Durchbruch bei Hodgkin-Lymphomen: Checkpoint-Inhibitoren zeigen erste beeindruckende Ergebnisse. Was versprechen die neuen Antikörper und wann ist mit…

mehr

Über 90 % der Patienten mit Hodgkin-Lymphom können bereits in der Erstlinie geheilt werden. Ein ungelöstes Problem ist jedoch nach wie vor, ein…

mehr
Abrechnung

Verschenken Sie kein Honorar: Das „Gebühren-Handbuch digital“ ist die ideale Weiterentwicklung der Printausgabe des bekannten „Medical Tribune Gebühren-Handbuchs“ - statt 2000 Buchseiten der schnelle digitale Zugriff.

Was Ihnen die Abrechnung leichter macht:

  • die immer aktuelle Fassung von EBM und GOÄ (Einheitlicher Bewertungsmaßstab und Gebührenordnung für Ärzte)
  • Tipps und Experten-Kommentare zur Honorarabrechnung (EBM/GOÄ), graphisch aufbereitet und leicht verständlich
  • Kommentare von Kollegen lesen und selbst kommentieren
  • persönliche Notizen und Lesezeichen setzen

Zum Gebühren-Handbuch digital »

Fortbildungen

Keine Fortbildung für diesen Fachbereich gefunden

Alle Fortbildungen




Diese Informationen dienen ausschließlich der Aus- und Weiterbildung von Angehörigen und Studenten der medizinischen Fachkreise (z.B. Ärzte) und enthalten nur allgemeine Hinweise. Sie dürfen nicht zur Selbstdiagnose oder -behandlung verwendet werden und sind kein Ersatz für eine ärztliche Beratung oder Behandlung. Die jeweiligen Autoren haben die Inhalte nach bestem Wissen gepflegt. Dennoch sollten Sie die Informationen stets kritisch prüfen und mit zusätzlichen Quellen vergleichen. Die Autoren und die Betreiber von medical-tribune.de übernehmen keine Haftung für Schäden, die durch nicht-kontrollierte Anwendung von Empfehlungen und Inhalten entstehen. Beiträge, die Angaben zum Einsatz und zur Dosierung von Medikamenten machen, sind die persönliche Einschätzung der Autoren. Sie ersetzen nicht die Empfehlungen des Herstellers oder des behandelnden Arztes oder Apothekers.