Im Rahmen unserer Website-Modernisierung arbeiten wir kontinuierlich daran, Ihnen noch bessere und aktuellere Informationen zu bieten. Diese Seite wird in Kürze mit frischen Inhalten und einem zeitgemäßen Design überarbeitet.

Nierenzellkarzinom

Definition

Das Nierenzellkarzinom (früher: Hypernephrom) macht etwa 85% der malignen Nierentumore aus. Weitere Formen renaler Malignome sind das vom Nierenbecken ausgehende Urothelkarzinom (10%), Non-Hodgkin Lymphome, Sarkome sowie im Kindesalter die Nephroblastome (Wilms-Tumor).

ICD10-Code: C64-C65

Anzeige
Symptomatik

Lokale Symptome

  • schmerzlose Makrohämaturie
  • Flankenschmerz
  • tastbare Raumforderung
  • neu aufgetretene Varikozele

Allgemeine Symptome

  • Gewichtabnahme
  • Müdigkeit
  • Anämie und paraneoplastische Syndrome wie Polyzythämie, Fieber unklarer Genese, Neuropathie oder Hyperkalzämie

Metastasenbedingte Symptome

  • Knochenschmerzen bei Skelettbefall
  • Husten und Dyspnoe bei pulmonaler Manifestation
  • neurologische Ausfälle bei zerebraler Manifestation
Anzeige
Untersuchung
Mehr zum Thema

Je mehr bildgebende Verfahren, umso größer die Wahrscheinlichkeit vor allem bei Älteren, zufällig auf Nebennierentumoren zu stoßen. Meist sind sie…

mehr
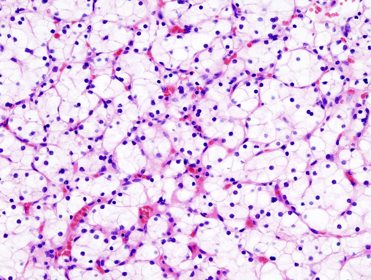
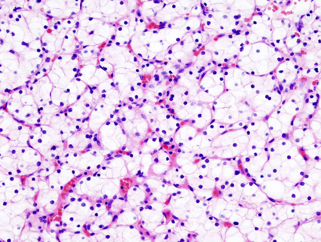
Bildgebung
© CDC/ Dr. Edwin P. Ewing, Jr.
© wikipedia.org/KGH, CC BY-SA 3.0
© CDC/Dr. Edwin P. Ewing, Jr.
Labor
  • Anämie
  • Polyzythämie
  • BSG-Erhöhung
  • Nierenwerte
  • Vimentin als Marker für Weichteiltumoren
  • Urinstatus
Anzeige
Pharmakotherapie und nichtinvasive Therapie
Mehr zum Thema

Der HIF-2α-Inhibitor MK-6482 hat ein neuartiges Wirkungsprinzip, er wurde erst kürzlich zum ersten Mal beim Menschen erprobt. ccRCC-Patienten…

mehr

Sunitinib galt lange als Standard in der Therapie des Nierenzellkarzinoms. Doch Kombinationen wie Pembrolizumab/Axitinib können das Überleben…

mehr

Die Erstlinie aus Pembrolizumab und Lenvatinib verbesserte in der CLEAR-Studie die Prognose von Patienten mit fortgeschrittenem Nierenzellkarzinom. Im…

mehr

Nicht alle metastasierten klarzelligen Nierenzelltumoren sprechen gleichermaßen gut auf die Behandlung mit PD(-L)1-Inhibitoren an. Doch woran liegt…

mehr

In der Erstlinie des fortgeschrittenen Nierenzellkarzinoms hat sich Pembrolizumab in Kombination mit Axitinib bzw. mit Lenvatinib etabliert. In…

mehr

Fortgeschrittenes Nierenzellkarzinom

Die Behandlungsoptionen des fortgeschrittenen Nierenzellkarzinoms haben sich in den vergangenen Jahren deutlich erweitert. Eine Datenauswertung der…

mehr
Invasive und Interventionelle Therapie
Mehr zum Thema

Bei Kindern mit Wilms-Tumor und guter Heilungschance reicht eine weniger intensive Chemotherapie aus: Auf das kardiotoxische Doxorubicin kann…

mehr

Kleine Nierenzellkarzinome sind eine Domäne der organerhaltenden Chirurgie. Kommt eine OP aber nicht mehr infrage, stehen inzwischen…

mehr
Leitlinien

Deutsche Gesellschaft für Hämatologie und Medizinische Onkologie (DGHO), Schweizerische Gesellschaft für Medizinische Onkologie (SGMO), Schweizerische Gesellschaft für Hämatologie (SGH), Österreichische Gesellschaft für Hämatologie & Medizinische Onkologie (OeGHO):
Nierenzellkarzinom

Deutsche Gesellschaft für Urologie e. V. (DGU), Deutsche Gesellschaft für Hämatologie und Medizinische Onkologie (DGHO9):
Nierenzellkarzinom: Diagnostik, Therapie und Nachsorge

Mehr zum Thema

Im August dieses Jahres wurde eine aktualisierte Version der S3-Leitlinie zur Diagnostik, Therapie und Nachsorge des Nierenzellkarzinoms…

mehr
Forschung
Mehr zum Thema

Beim metastasierten Nierenzellkarzinom verbessern Checkpoint-Inhibitor-basierte Kombinationen in der Erstlinie Ansprechraten und Überleben gegenüber…

mehr

Dank der KEYNOTE-564-Studie ist eine adjuvante Therapie für das lokoregionäre Nierenzellkarzinom möglicherweise in greifbare Nähe gerückt. Darin…

mehr

Die Therapien beim Nieren- und Blasenkrebs machen zwar Fortschritte. In puncto Überleben treten sie aber eher auf der Stelle. Zwei Kollegen sprachen…

mehr

Metastasiertes Nierenzellkarzinom

Eine französische Expertin wagte einen Ausblick auf die systemische Behandlung des metastasierten Nierenzellkarzinoms in den kommenden fünf Jahren.…

mehr

Metastasiertes Nierenzellkarzinom

In den vergangenen Jahren haben sich Checkpoint-Inhibitoren als Kombinationspartner in der Erstlinientherapie des metastasierten Nierenzellkarzinoms…

mehr

Nierenzellkarzinom

Der Checkpoint-Inhibitor Nivolumab ist in Kombination sowohl mit dem Multikinaseinhibitor Cabozantinib als auch mit dem CTLA4-Inhibitor Ipilimumab zur…

mehr
Abrechnung

Verschenken Sie kein Honorar: Das „Gebühren-Handbuch digital“ ist die ideale Weiterentwicklung der Printausgabe des bekannten „Medical Tribune Gebühren-Handbuchs“ - statt 2000 Buchseiten der schnelle digitale Zugriff.

Was Ihnen die Abrechnung leichter macht:

  • die immer aktuelle Fassung von EBM und GOÄ (Einheitlicher Bewertungsmaßstab und Gebührenordnung für Ärzte)
  • Tipps und Experten-Kommentare zur Honorarabrechnung (EBM/GOÄ), graphisch aufbereitet und leicht verständlich
  • Kommentare von Kollegen lesen und selbst kommentieren
  • persönliche Notizen und Lesezeichen setzen

Zum Gebühren-Handbuch digital »

Fortbildungen

Keine Fortbildung für diesen Fachbereich gefunden

Alle Fortbildungen




Diese Informationen dienen ausschließlich der Aus- und Weiterbildung von Angehörigen und Studenten der medizinischen Fachkreise (z.B. Ärzte) und enthalten nur allgemeine Hinweise. Sie dürfen nicht zur Selbstdiagnose oder -behandlung verwendet werden und sind kein Ersatz für eine ärztliche Beratung oder Behandlung. Die jeweiligen Autoren haben die Inhalte nach bestem Wissen gepflegt. Dennoch sollten Sie die Informationen stets kritisch prüfen und mit zusätzlichen Quellen vergleichen. Die Autoren und die Betreiber von medical-tribune.de übernehmen keine Haftung für Schäden, die durch nicht-kontrollierte Anwendung von Empfehlungen und Inhalten entstehen. Beiträge, die Angaben zum Einsatz und zur Dosierung von Medikamenten machen, sind die persönliche Einschätzung der Autoren. Sie ersetzen nicht die Empfehlungen des Herstellers oder des behandelnden Arztes oder Apothekers.