Im Rahmen unserer Website-Modernisierung arbeiten wir kontinuierlich daran, Ihnen noch bessere und aktuellere Informationen zu bieten. Diese Seite wird in Kürze mit frischen Inhalten und einem zeitgemäßen Design überarbeitet.

Non-Hodgkin-Lymphom

Definition

Non-Hodgkin-Lymphome (NHL) sind maligne Erkrankungen des lymphatischen Systems mit der Tendenz zur Ausbreitung in das Knochenmark und das Zentralnervensystem. Die Prognose der Patienten ist je nach Tumortyp sehr unterschiedlich, teilweise bestehen gute Heilungschancen, bei anderen Patienten ist aufgrund der eingeschränkten Prognose nur eine palliative Therapie möglich.

ICD10-Code: C82-C85

Anzeige
Symptomatik
  • Lymphadenopathie
  • Leistungsminderung & Müdigkeit
  • Fieber, Nachtschweiß, Gewichtsverlust
  • Infektanfälligkeit
  • Spleno- und Hepatomegalie
  • Hautveränderungen (plaque- oder tumorähnlich)

Allgemeinbeschwerden wie Fieber, Nachtschweiß und Gewichtsverlust werden
B-Symptome genannt (prognostisch ungünstig).

Anzeige
Untersuchung
  • An erster Stelle steht die körperliche Untersuchung (Lymphknotenschwellungen, Hautveränderungen) einschließlich Palpation des Abdomens (Hepato- und Splenomegalie).
  • Wichtige Hinweise liefern Blututuntersuchung (Differenzialblutbild, BSG, Immunglobuline etc.), und Knochmarkpunktion.
  • Dem Nachweis des Lymphoms dient die histologische Analyse von Lymphknoten und anderen befallenen Geweben. Immunzytochemie und Molekulargenetik erlauben eine genauere Differenzierung des Lymphomtyps.
  • Ausbreitungsdiagnostik: Röntgenthorax, Abdomen-Sonographie, CT bzw. MRT,  Liquoranalyse bei Bedarf
Mehr zum Thema

Empfänger von Organtransplantaten sollte man in puncto Malignome besonders genau im Auge behalten. Denn sie tragen ein besonders hohes Krebsrisiko.

mehr

Die aktuellen Erkenntnisse zur Behandlung des follikulären Lymphoms lauten: Bei der Diagnostik geht ohne PET nichts, bei der Lokaltherapie kann…

mehr
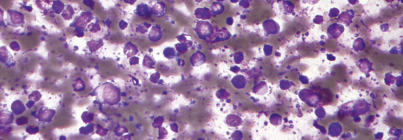
Bildgebung
Computertomographie des Halses bei hochmalignem Non-Hodgkin-Lymphom der Halslymphknoten (rekonstruierter Sagittalschnitt) © wikipedia.de/Christaras A, CC BY 2.5
Computertomographie des Halses bei hochmalignem Non-Hodgkin-Lymphom der Halslymphknoten (Transversalschnitt mit Kontrastmittel). © wikipedia.de/Christaras A, CC BY 2.5
© CDC/Robert S. Craig
Photograph by Ed Uthman, MD. Public domain
Sonographie des Halses bei hochmalignem Non-Hodgkin-Lymphom der Halslymphknoten (Transversalschnitt mit farbkodierter Duplexsonographie) © wikipedia.de/Christaras A, CC BY 2.5
Labor

Typische Laborbefunde bei Patienten mit Non-Hodgkin-Lymphom:  

  • Anämie
  • Leukopenie oder Leukozytose
  • Thrombopenie
  • Entzündungszeichen
  • Serumeisen erniedrigt, Ferritin erhöht
  • LDH erhöht
  • ggf. monoklonale Gammopathie
  • Beta-2-Mikroglobulin (oft erhöht)

 

Anzeige
Differenzialdiagnostik

Andere Malignome mit lymphatischer Beteiligung (einschließlich Morbus Hodgkin) sowie infektiöse und reaktive Lymphadenopathien. 

Mehr zum Thema

Der unstillbare Juckreiz macht Patienten mit chronischen Nieren- oder Lebererkrankungen oft das Leben zur Hölle. Für den Arzt ist die Therapie häufig…

mehr

Das aktinische Retikuloid weist große Ähnlichkeit mit dem kutanen T-Zell-Lymphom auf. Doch die Prognose ersterer Erkrankung ist ungleich besser.

mehr

Echt oder Pseudo? Diese Frage lässt sich bei kutanen Lymphomen nicht leicht beantworten.

mehr
Pharmakotherapie und nichtinvasive Therapie

Die Therapie hängt vom Typ des Non-Hodgkin-Lymphoms und vom Stadium der Erkrankung ab. Aggressive Lymphome sprechen oft gut auf eine Chemotherapie an, die durch eine Antikörpertherapie ergänzt werden kann. Bei bestimmten Lymphomen ist auch eine Behandlung mit Signalinhibitoren möglich.

Mehr zum Thema

Diffus-großzellige B-Zell-Lymphome werden mit einer Kombination aus Immun- und Chemotherapie behandelt. Aber nicht alle Subtypen sprechen gut darauf…

mehr

Die Einführung von Antikörpern hat die Therapie von B-Zell-Lymphomen zwar kontinuierlich verbessert. Eine Heilung sämtlicher Patienten ist aber nach…

mehr

Beim rezidivierten oder refraktären diffus-großzelligen B-Zell-Lymphom haben sich gegen das CD19-Antigen gerichtete CAR-T-Zellen als Salvagetherapie…

mehr

Die Kombination aus Azacitidin und CHOP scheint auch in der Erstlinientherapie von peripheren T-Zell-Lymphomen wirksam zu sein. So wurden in einer…

mehr

Das Therapiespektrum bei Leukämien und B-Zell-Lymphomen hat sich in den letzten Jahren deutlich erweitert. Noch fehlen zu den Neuerungen offizielle…

mehr

DLBCL

Statt sechs Zyklen R-CHOP nur vier: So lassen sich auch beim diffus-großzelligen B-Zell-Lymphom mit niedrigem Risiko Toxizitäten reduzieren, ohne…

mehr

Indolente Non-Hodgkin-Lymphome

Die Therapie mit PI3K-Inhibitoren ist bei indolenten Non-Hodgkin-Lymphomen zwar effektiv, allerdings stellte die Sicherheit bisher ein Problem dar.…

mehr

Kutanes T-Zell-Lymphom

In letzter Zeit ließen sich einige neue Zielstrukturen für die Therapie des kutanen T-Zell-Lymphoms identifizieren. Entsprechend befinden sich neue…

mehr
Invasive und Interventionelle Therapie

Niedrig maligne Non-Hodgkin-Lymphome können im Frühstadium eventuell durch eine Strahlentherapie geheilt werden.

Bei aggressiven Lymphom kann eine adjuvante Radiatio nach der Chemotherapie verbliebene Tumorreste beseitigen und so das Rezidivrisiko verringern.

Bei Rezidiven von Non-Hodgkin-Lymphomen ist eine Hochdosis-Chemotherapie mit nachfolgender Blutstammzell- oder Knochenmarktransplantation möglich.

 

Mehr zum Thema

Das diffus-großzellige B-Zell-Lymphom (DLBCL) ist mit einem guten Drittel der Fälle das häufigste Non-Hodgkin-Lymphom. Und es ist auch das am besten…

mehr

Bisher werden nur in der Hämatologie T-Zellen mit chimären Antigenen (CAR-T-Zellen) erprobt: nach der ALL nun auch bei aggressiven…

mehr

Genetisch veränderte autologe T-Zellen sollen das eigene Immunsystem auf Tumorzellen scharf stellen. Dazu werden sie mit chimären Antigenrezeptoren…

mehr

Aggressive periphere T-Zell-Lymphome gehen meist mit einer schlechten Prognose einer. Die Idee, Mutationen in Genen für epigenetisch aktive Proteine…

mehr
Forschung
Mehr zum Thema

Bei rituximabrefraktären Patienten mit indolenten Non-Hodgkin-Lymphomen (NHL) scheint die Kombination Bendamustin plus Obinutuzumab eine effektive…

mehr

Die Behandlung der Chemotherapie-induzierten Anämie mit ESAs wurde in den letzten Jahren wegen Hinweisen auf eine erhöhte Mortalitätsrate…

mehr

Die Rolle von Pestiziden bei der Krebsentstehung ist ein hochbrisantes Thema. Vor allem in den USA laufen zahlreiche gerichtliche Prozesse. In einer…

mehr

B-Zell-Lymphom

Wird der bispezifische Antikörper Epcoritamab in Zukunft die Behandlungsoptionen für Patienten mit rezidivierten oder refraktären…

mehr
Abrechnung

Verschenken Sie kein Honorar: Das „Gebühren-Handbuch digital“ ist die ideale Weiterentwicklung der Printausgabe des bekannten „Medical Tribune Gebühren-Handbuchs“ - statt 2000 Buchseiten der schnelle digitale Zugriff.

Was Ihnen die Abrechnung leichter macht:

  • die immer aktuelle Fassung von EBM und GOÄ (Einheitlicher Bewertungsmaßstab und Gebührenordnung für Ärzte)
  • Tipps und Experten-Kommentare zur Honorarabrechnung (EBM/GOÄ), graphisch aufbereitet und leicht verständlich
  • Kommentare von Kollegen lesen und selbst kommentieren
  • persönliche Notizen und Lesezeichen setzen

Zum Gebühren-Handbuch digital »

Fortbildungen

Keine Fortbildung für diesen Fachbereich gefunden

Alle Fortbildungen




Diese Informationen dienen ausschließlich der Aus- und Weiterbildung von Angehörigen und Studenten der medizinischen Fachkreise (z.B. Ärzte) und enthalten nur allgemeine Hinweise. Sie dürfen nicht zur Selbstdiagnose oder -behandlung verwendet werden und sind kein Ersatz für eine ärztliche Beratung oder Behandlung. Die jeweiligen Autoren haben die Inhalte nach bestem Wissen gepflegt. Dennoch sollten Sie die Informationen stets kritisch prüfen und mit zusätzlichen Quellen vergleichen. Die Autoren und die Betreiber von medical-tribune.de übernehmen keine Haftung für Schäden, die durch nicht-kontrollierte Anwendung von Empfehlungen und Inhalten entstehen. Beiträge, die Angaben zum Einsatz und zur Dosierung von Medikamenten machen, sind die persönliche Einschätzung der Autoren. Sie ersetzen nicht die Empfehlungen des Herstellers oder des behandelnden Arztes oder Apothekers.