Im Rahmen unserer Website-Modernisierung arbeiten wir kontinuierlich daran, Ihnen noch bessere und aktuellere Informationen zu bieten. Diese Seite wird in Kürze mit frischen Inhalten und einem zeitgemäßen Design überarbeitet.

Multiples Myelom

Definition

Das Multiple Myelom (MM) ist durch eine monoklonale Plasmazellvermehrung im Knochenmark charakterisiert. Nach den WHO-Kriterien wird die maligne Erkrankung zu den B-Zell-Lymphomen gezählt, sie geht mit einer vermehrten Produktion kompletter oder inkompletter monoklonaler Immunglobuline ohne Antikörperfunktion einher.

ICD10-Code: C90.1

Mehr zum Thema

Bei der Revision der diagnostischen Kriterien für das multiple Myelom in 2014 wurde ein Smouldering-Myelom mit ultrahohem Progressionsrisiko als…

mehr
Anzeige
Symptomatik
  • Knochenschmerzen (Osteolysen, Frakturen)
  • Abgeschlagenheit (oft anämiebedingt)
  • Gewichtsverlust
  • Infektanfälligkeit (funktioneller Antikörpermangel)
  • schäumender Urin und verschlechterte Nierenfunktion
    Anzeige
    Untersuchung

    Einen hohen Stellenwert hat beim multiplen Myelom die Labordiagnostik (Differentialblutbild, Nierenwerte, Serumprotein-Elektrophorese etc.). Knochenschäden lassen sich mit der Projektionsradiographie, einem speziellen Röntgenverfahren, oder mit dem Low-dose-Gesamtkörper-CT ermitteln. Die Knochenmarkpunktion dient der zytologischen Sicherung der Diagnose. Genetische Untersuchungen helfen bei der Einschätzung der Prognose und bei der Wahl der geeigneten Therapie.   

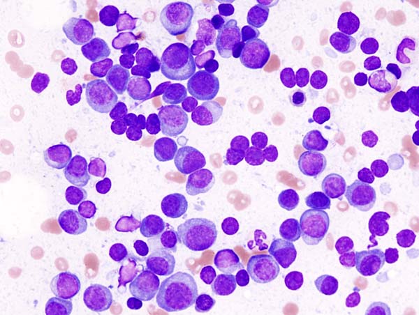
    Bildgebung
    Pathologische Fraktur der Elle © wikipedia.org/Hellerhoff, CC BY-SA 3.0
    © wikipedia.org/Grook Da Oger
    Färbung nach May-Grünwald-Giemsa. Vermehrung von Plasmazellen (Große ovale Zellen mit breitem Zytoplasma und exzentrisch gelegenem Zellkern) © wikipedia.org/KGH, CC BY-SA 3.0
    Labor

    Typisch für das multiple Myelom sind beschleunigte BSG, Anämie und der Nachweis von Paraproteinen. Am häufigsten werden IgG (ca. 50 %) und IgA (ca. 25 %) ausgeschüttet (selten IgD und IgE). Ausschließlich Leichtketten (Bence-Jones-Protein) finden sich bei 20-25 % der Patienten. Auch Komplikationen des multiplen Myeloms wie Panzytopenie, Niereninsuffizienz, Hyperkalzämie, Hyperuriekämie und Gerinnungsstörungen lassen sich labordiagnostisch nachweisen.

    Mehr zum Thema

    Paraprotein: Patienten nicht immer gleich zum Hämatologen schicken! Wie Sie gut von böse unterscheiden können.

    mehr

    Eine monoklonale Gammopathie unklarer Signifikanz kann sich zu einem multiplen Myelom entwickeln. Risikofaktoren sind dabei unter anderem ein…

    mehr
    Anzeige
    Differenzialdiagnostik

    Monoklonale Gammopathie unklarer Signifikanz (MGUS), solitäres Plasmozytom, Plasmazellleukämie, M. Waldenström, Leichtketten-Amyloidose

    Pharmakotherapie und nichtinvasive Therapie

    Patienten mit multiplem Myelom sollen behandelt werden, wenn sie Symptome aufweisen und mindestens eines der folgenden sog. CRAB-Kriterien aufweisen: Hyperkalzämie (C), Niereninsuffizienz (R, renal insufficiency), Anämie (A, anemia) und Knochenbeteiligung (B, bone lesions). Therapieziel ist das Erreichen der bestmöglichen Remission mit rascher Symptomkontrolle. Dafür stehen z.B. verschiedene Chemotherapie-Regime zur Verfügung. Auch immunmodulierende Wirkstoffe und Substanzen, die den Zellstoffwechsel beeinflussen, sog. Proteasom-Inhibitoren, werden erfolgreich eingesetzt. Hinzu kommen zielgerichtete Medikamente. Zum Knochenschutz ist ab der ersten nachweisbaren Osteolyse eine Bisphosphonat-Therapie indiziert.      

    Mehr zum Thema

    Das Tripelregime Carfilzomib, Lenalidomid und Dexamethason (KRd) gefolgt von einer Erhalungstherapie mit Lenalidomid hat sich in einer Phase-2-Studie…

    mehr

    In der Phase-3-Studie APOLLO hat sich erstmals ein Kombinationsregime mit subkutan verabreichtem Daratumumb beim rezidivierten oder refraktären…

    mehr

    Für Menschen mit Multiplem Myelom und hohem Risiko erzielt das gängige Vorgehen meist keine tiefen Remissionen. Bei diesen stark vorbehandelten…

    mehr

    Eine der Standardtherapien für Patienten mit Multiplem Myelom besteht aus Bortezomib und Dexamethason. Eine Applikation zweimal pro Woche führt…

    mehr

    Kann Daratumumab auch für eine Erhaltung bei Patienten mit Multiplem Myelom eingesetzt werden? Die Ergebnisse der CASSIOPEIA-Studie liefern dafür…

    mehr

    Multiples Myelom

    Die CAR-T-Zell-Therapie bewährt sich weiter. Vergleichende Analysen belegen, dass sich Ansprechen und Überleben beim rezidivierten und refraktären…

    mehr

    IKEMA-Studie

    Dank autologer Stammzelltransplantation, Proteasom-Inhibitoren und immunmodulatorischen Substanzen leben Patienten mit Multiplem Myelom länger als je…

    mehr
    Invasive und Interventionelle Therapie

    Jüngeren Patienten mit multiplem Myelom kann eine myeloablative Hochdosis-Chemotherapie mit nachfolgender autologer Stammzelltransplantation angeboten werden. Alternativ ist eine allogene Stammzelltransplantation aus einer histokompatiblen Knochenmarkspende möglich.

    Mehr zum Thema

    Hochdosis-Chemotherapie mit nachfolgender autologer Stammzelltransplantation ist etablierter Standard bei fitten Patienten mit multiplem Myelom. Die…

    mehr

    Die Erhaltungstherapie mit Lenalidomid nach einer autologen Stammzelltransplantation (autoHCT) hat zusammen mit Thalidomid-Analoga,…

    mehr
    Prävention
    Mehr zum Thema

    Der CD38-Antikörper Daratumumab verzögert die Progression eines Smouldering in ein manifestes Myelom. Für Patienten mit mittel bis hohem Risiko…

    mehr

    Die International Myeloma Working Group hat ihre Empfehlungen für die Prävention und Therapie von Multi­plen Myelom-assoziierten Knochenerkrankungen…

    mehr
    Prognose
    Mehr zum Thema

    Multiples Myelom

    Rezidiviert das Multiple Myelom nach einer Erstlinie, stehen verschiedene Optionen zur Wahl. Innovative Wirkstoffe wie Selinexor und…

    mehr
    Folgeerkrankung
    Mehr zum Thema

    Dass Patienten mit rheumatoider Arthritis ein erhöhtes Risiko für lymphoproliferative Erkrankungen wie ein Multiples Myelom haben, ist weitgehend…

    mehr
    Leitlinien

    Deutsche Gesellschaft für Hämatologie und Medizinische Onkologie (DGHO), Schweizerische Gesellschaft für Medizinische Onkologie (SGMO), Schweizerische Gesellschaft für Hämatologie (SGH), Österreichische Gesellschaft für Hämatologie & Medizinische Onkologie (OeGHO):
    Multiples Myelom

    Forschung
    Mehr zum Thema

    Etwa ein Fünftel der Myelompatienten stirbt an Infektionen. Ob eine antimikrobielle Prophylaxe mit Levofloxacin dies verhindern kann? Ja, sagen die…

    mehr

    Bisher sind CAR-T-Zellen zur Behandlung der ALL und einiger Lymphome zugelassen. Auch für die Myelomtherapie wird ihr Einsatz erprobt. Daten mehrerer…

    mehr

    Das B-Zell-Reifungsantigen BCMA kommt insbesondere auf malignen Plasmazellen und Myelomzellen vor. Es dient daher als Ziel für verschiedene…

    mehr

    CAR-T-Zellen sind bisher zur Therapie von Non-Hodgkin-Lymphomen und akuter lymphatischer Leuk­ämie zugelassen. Aber auch beim multiplen Myelom werden…

    mehr

    Bereits bevor Symptome beim Myelom auftreten, weisen einige Patienten die Vorläuferläsion namens Smoldering Multiple Myeloma auf. In einer Studie…

    mehr

    Haben Sie bei Ihrem Patienten gerade ein Multiples Myelom diagnostiziert? Und eignet er sich für eine Stammzelltransplantation? Dann könnte…

    mehr

    Bislang schien die autologe Stammzelltransplantation beim Multiplem Myelom der konservativen Therapie überlegen. Die Phase-3-Studie CARDAMON rückt…

    mehr

    Multiples Myelom

    Die Behandlungsoptionen für stark vorbehandelte Patient:innen mit rezidiviertem/refraktärem Multiplem Myelom sind begrenzt. Hoffnung macht der…

    mehr

    Multiples Myelom

    Welche Bevölkerungsgruppen haben ein besonders hohes Risiko, an einem Multiplen Myelom zu erkranken? Und wo sind Inzidenz und Mortalität am höchsten,…

    mehr
    Abrechnung

    Verschenken Sie kein Honorar: Das „Gebühren-Handbuch digital“ ist die ideale Weiterentwicklung der Printausgabe des bekannten „Medical Tribune Gebühren-Handbuchs“ - statt 2000 Buchseiten der schnelle digitale Zugriff.

    Was Ihnen die Abrechnung leichter macht:

    • die immer aktuelle Fassung von EBM und GOÄ (Einheitlicher Bewertungsmaßstab und Gebührenordnung für Ärzte)
    • Tipps und Experten-Kommentare zur Honorarabrechnung (EBM/GOÄ), graphisch aufbereitet und leicht verständlich
    • Kommentare von Kollegen lesen und selbst kommentieren
    • persönliche Notizen und Lesezeichen setzen

    Zum Gebühren-Handbuch digital »

    Fortbildungen

    Keine Fortbildung für diesen Fachbereich gefunden

    Alle Fortbildungen




    Diese Informationen dienen ausschließlich der Aus- und Weiterbildung von Angehörigen und Studenten der medizinischen Fachkreise (z.B. Ärzte) und enthalten nur allgemeine Hinweise. Sie dürfen nicht zur Selbstdiagnose oder -behandlung verwendet werden und sind kein Ersatz für eine ärztliche Beratung oder Behandlung. Die jeweiligen Autoren haben die Inhalte nach bestem Wissen gepflegt. Dennoch sollten Sie die Informationen stets kritisch prüfen und mit zusätzlichen Quellen vergleichen. Die Autoren und die Betreiber von medical-tribune.de übernehmen keine Haftung für Schäden, die durch nicht-kontrollierte Anwendung von Empfehlungen und Inhalten entstehen. Beiträge, die Angaben zum Einsatz und zur Dosierung von Medikamenten machen, sind die persönliche Einschätzung der Autoren. Sie ersetzen nicht die Empfehlungen des Herstellers oder des behandelnden Arztes oder Apothekers.